Cuando hablamos de cáncer siempre tenemos un sentimiento de respeto y temor ya que es una enfermedad dura y severa. Y este se agrava, todavía más, cuando las personas afectadas son los niños. Se considera como la primera causa de muerte por enfermedad hasta los 14 años, de hecho, en España cada año se detectan 1.400 nuevos casos de niños con cáncer.
Sin embargo, el cáncer infantil es considerado como una enfermedad poco frecuente en comparación con el cáncer que afecta a la población adulta. Por ello, la mayor parte de las investigaciones se centran en las enfermedades que afecta a adultos.
La enfermedad no afecta del mismo modo a un niño que a un adulto, aún tratándose de un mismo tipo de cáncer. Los niños se enfrentan y sobrellevan la enfermedad, así como, sus consecuencias de una forma muy distinta. Esto, unido al hecho que el tratamiento, el diagnóstico, el pronóstico, la causa e incluso la mortalidad es diferente, parece que tratamos con enfermedades distintas.
Por tanto, el cáncer infantil es una enfermedad diferente al de los adultos, por lo que requiere investigación propia y específica para poder encontrar nuevos fármacos y tratamientos adaptados.
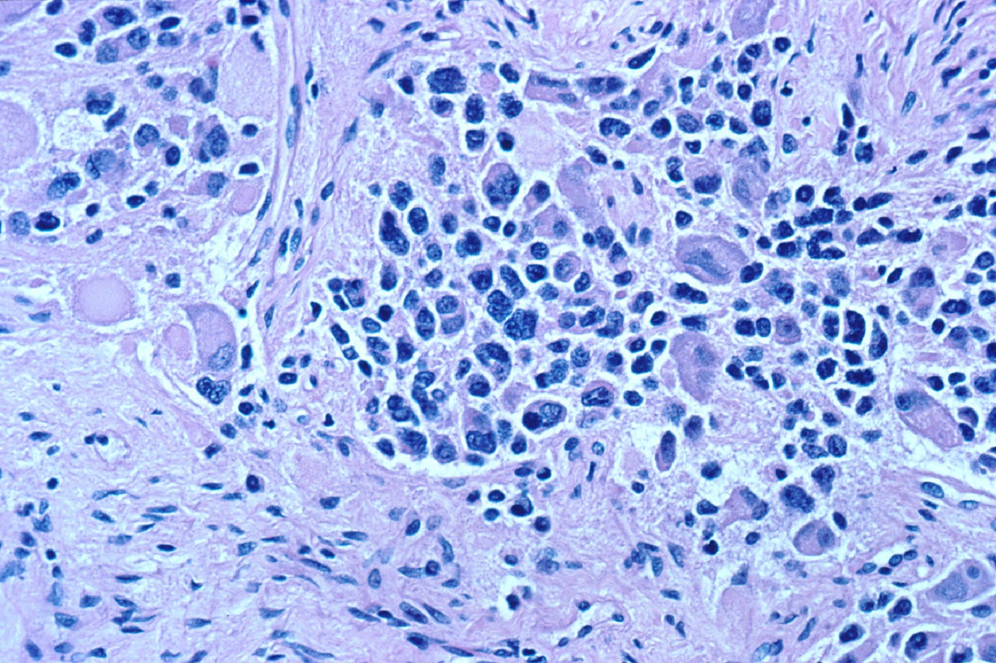
Para contribuir a las escasas investigaciones realizadas, un grupo de investigadores ingleses han querido poner fin a una de las grandes incógnitas que rodean a uno de los cánceres más frecuentes en la infancia, el neuroblastoma. Este tipo de tumores implican una baja supervivencia cuando los pacientes presentan un grado avanzado de la enfermedad ya que las células del sistema inmune no son capaces de reconocer ni derrotar a las células cancerígenas. Algo que no se sabía muy bien por qué.
Este equipo de profesionales, como exponen en la revista Cancer Research, ha logrado identificar el papel clave que desempeña en el neuroblastoma, una enzima producida por las células del tumor. Esta enzima, la arginasa, lo que hace es interrumpir uno de los principales recursos de energía imprescindibles para las células del sistema inmune para poder atacar el tumor. Esta interrupción lo que hace es provocar una inhibición de la respuesta inmune de los pacientes afectados por esta enfermedad. Por tanto, el sistema inmune queda prácticamente anulado.
Este hallazgo tiene importantes implicaciones para el tratamiento del neuroblastoma, ya que permitiría a los investigadores activar el sistema inmune de los niños para que pueda atacar a las células cancerígenas y poder establecer, así, tratamientos más efectivos y mucho menos agresivos para estos pequeños enfermos.
En qué consiste el neuroblastoma infantil
El neuroblastoma es el tumor sólido extracraneal más común en la infancia. Se caracteriza porque comienza en las células nerviosas inmaduras del sistema nervioso simpático. Las fibras de este sistema llegan a casi todos los órganos y sistemas del cuerpo, desde la pupila del ojo hasta ejercer control sobre la motilidad intestinal.
Este sistema nervioso simpático tiene la función de regular las funciones automáticas y no voluntarias del cuerpo, como el ritmo cardíaco, presión sanguínea, respiración y digestión. Desde el punto de vista psicológico nos prepara para la acción, es decir, se activa frente a situaciones de estrés, ejercicio, escape y emergencia. Y nos ayuda a sentir las sensaciones de frío o calor.
Pues bien, en este tipo de tumores las células cancerígenas que lo conforman contienen una molécula que interrumpe un recurso de energía clave para las células del sistema inmune. Los investigadores explican que, debido a esto, las células inmunitarias no tienen opción de captar energía para ejercer su actividad, por lo que quedan físicamente agotadas para luchar contra la dolencia. Expliquemos un poco en que consiste todo este proceso.
Los investigadores descubrieron que las células del neuroblastoma producen una molécula que descompone la arginina, uno de los aminoácidos esenciales que forman parte de las proteínas y una fuente de energía primordial para las células inmunes ya que estimula la función inmunológica.
Esta molécula, responsable de la descomposición de la arginina, se denomina <i>arginasa</i> y lo que hace es provocar una enorme caída en los niveles de arginina encontrada en el área que rodea al tumor. De tal forma, que tan pronto como las células del sistema inmune se aproximan a las células cancerígenas, la repentina carencia de su principal fuente de energía hace que se vuelvan letárgicas e inefectivas.
Esto permite la formación de un microambiente inmunosupresor entorno al neuroblastoma que inhibe al sistema inmunitario. El resultado es una total inactividad del sistema inmune y en consecuencia el organismo se queda sin defensas con capacidad para destruir las células malignas, favoreciendo, así, el avance de estas células. Fomentando la formación del tumor.
Pues bien, los resultados obtenidos en esta investigación llevaron a sus autores a identificar el papel clave que la actividad de la arginasa tenía en el neuroblastoma y su intervención en la inhibición de las respuestas inmunitarias.
Sin embargo, el cáncer infantil es considerado como una enfermedad poco frecuente en comparación con el cáncer que afecta a la población adulta. Por ello, la mayor parte de las investigaciones se centran en las enfermedades que afecta a adultos.
La enfermedad no afecta del mismo modo a un niño que a un adulto, aún tratándose de un mismo tipo de cáncer. Los niños se enfrentan y sobrellevan la enfermedad, así como, sus consecuencias de una forma muy distinta. Esto, unido al hecho que el tratamiento, el diagnóstico, el pronóstico, la causa e incluso la mortalidad es diferente, parece que tratamos con enfermedades distintas.
Por tanto, el cáncer infantil es una enfermedad diferente al de los adultos, por lo que requiere investigación propia y específica para poder encontrar nuevos fármacos y tratamientos adaptados.
Para contribuir a las escasas investigaciones realizadas, un grupo de investigadores ingleses han querido poner fin a una de las grandes incógnitas que rodean a uno de los cánceres más frecuentes en la infancia, el neuroblastoma. Este tipo de tumores implican una baja supervivencia cuando los pacientes presentan un grado avanzado de la enfermedad ya que las células del sistema inmune no son capaces de reconocer ni derrotar a las células cancerígenas. Algo que no se sabía muy bien por qué.
Este equipo de profesionales, como exponen en la revista Cancer Research, ha logrado identificar el papel clave que desempeña en el neuroblastoma, una enzima producida por las células del tumor. Esta enzima, la arginasa, lo que hace es interrumpir uno de los principales recursos de energía imprescindibles para las células del sistema inmune para poder atacar el tumor. Esta interrupción lo que hace es provocar una inhibición de la respuesta inmune de los pacientes afectados por esta enfermedad. Por tanto, el sistema inmune queda prácticamente anulado.
Este hallazgo tiene importantes implicaciones para el tratamiento del neuroblastoma, ya que permitiría a los investigadores activar el sistema inmune de los niños para que pueda atacar a las células cancerígenas y poder establecer, así, tratamientos más efectivos y mucho menos agresivos para estos pequeños enfermos.
En qué consiste el neuroblastoma infantil
El neuroblastoma es el tumor sólido extracraneal más común en la infancia. Se caracteriza porque comienza en las células nerviosas inmaduras del sistema nervioso simpático. Las fibras de este sistema llegan a casi todos los órganos y sistemas del cuerpo, desde la pupila del ojo hasta ejercer control sobre la motilidad intestinal.
Este sistema nervioso simpático tiene la función de regular las funciones automáticas y no voluntarias del cuerpo, como el ritmo cardíaco, presión sanguínea, respiración y digestión. Desde el punto de vista psicológico nos prepara para la acción, es decir, se activa frente a situaciones de estrés, ejercicio, escape y emergencia. Y nos ayuda a sentir las sensaciones de frío o calor.
Pues bien, en este tipo de tumores las células cancerígenas que lo conforman contienen una molécula que interrumpe un recurso de energía clave para las células del sistema inmune. Los investigadores explican que, debido a esto, las células inmunitarias no tienen opción de captar energía para ejercer su actividad, por lo que quedan físicamente agotadas para luchar contra la dolencia. Expliquemos un poco en que consiste todo este proceso.
Los investigadores descubrieron que las células del neuroblastoma producen una molécula que descompone la arginina, uno de los aminoácidos esenciales que forman parte de las proteínas y una fuente de energía primordial para las células inmunes ya que estimula la función inmunológica.
Esta molécula, responsable de la descomposición de la arginina, se denomina <i>arginasa</i> y lo que hace es provocar una enorme caída en los niveles de arginina encontrada en el área que rodea al tumor. De tal forma, que tan pronto como las células del sistema inmune se aproximan a las células cancerígenas, la repentina carencia de su principal fuente de energía hace que se vuelvan letárgicas e inefectivas.
Esto permite la formación de un microambiente inmunosupresor entorno al neuroblastoma que inhibe al sistema inmunitario. El resultado es una total inactividad del sistema inmune y en consecuencia el organismo se queda sin defensas con capacidad para destruir las células malignas, favoreciendo, así, el avance de estas células. Fomentando la formación del tumor.
Pues bien, los resultados obtenidos en esta investigación llevaron a sus autores a identificar el papel clave que la actividad de la arginasa tenía en el neuroblastoma y su intervención en la inhibición de las respuestas inmunitarias.
Hay esperanza
Las células del neuroblastoma presentan en su superficie una molécula que las marca, digámoslo así, como moléculas diferentes a las células sanas. Este tipo de marcaje, hacía pensar a los investigadores que podría ser aprovechado para que las células del sistema inmune las pudiesen reconocer como malignas y así, poder destruirlas.
Para ello, sería necesario, simplemente, entrenar a este sistema para facilitarle el reconocimiento. Lo que hacía pensar que se podría aprovechar el poder del propio sistema inmune de una manera efectiva para tratar el neuroblastoma, algo que se sabe ya hace tiempo.
Tal es así que en los últimos 10 años las terapias estaban enfocadas hacia una mejora del sistema inmune antineuroblastoma. Para ello, se basaban en que las células T o linfocitos T (responsables de la coordinación de la respuesta inmune celular) eran consideradas como el mayor brazo efector del sistema inmune y jugaban un papel importante en el reconocimiento y la orientación de las células cancerosas. Sin embargo, aunque los estudios preclínicos demostraban que estas células tenían el potencial para una actividad antineuroblastoma, la eficacia clínica de las inmunoterapias aplicadas no lo mostraban así.
El problema residía en que las células inmunes tenían una elevada dificultad para reconocer y destruir las células tumorales, ¿a qué era debida esta dificultad o por qué era provocada? Este era el gran enigma con el que se encontraban los científicos para poder avanzar en el estudio sobre el neuroblastoma. Todos los intentos realizados para poder aprovechar el sistema inmune en este sentido no tuvieron éxito.
Parece que esta duda empieza a desvanecerse. Gracias a la investigación llevada a cabo por estos científicos se puede aporta luz a este problema y podría explicar por qué estos intentos han sido hasta ahora infructuosos.
¿Y ahora qué?
Una mejor comprensión del papel clave de la actividad arginasa en la creación de un microambiente inmunosupresor en el neuroblastoma tiene implicaciones clínicas importantes para enfocar la inmunoterapia hacia las células T.
Así, la orientación de la actividad de la arginasa en el neuroblastoma podría proporcionar una nueva forma de mejorar la inmunidad antineuroblastoma, tanto la propia como la terapéutica.
Ahora, el nuevo reto es desarrollar nuevos fármacos que frenen el desarrollo del neuroblastoma mediante el uso de la arginina, haciendo una inmunoterapia más efectiva.
A partir de aquí, este equipo de investigadores tiene como objetivo próximo encontrar curas y tratamientos menos agresivos para niños con esta enfermedad, de tal manera, que en un futuro, cada niño enfermo pueda tener una larga y saludable vida.
Las células del neuroblastoma presentan en su superficie una molécula que las marca, digámoslo así, como moléculas diferentes a las células sanas. Este tipo de marcaje, hacía pensar a los investigadores que podría ser aprovechado para que las células del sistema inmune las pudiesen reconocer como malignas y así, poder destruirlas.
Para ello, sería necesario, simplemente, entrenar a este sistema para facilitarle el reconocimiento. Lo que hacía pensar que se podría aprovechar el poder del propio sistema inmune de una manera efectiva para tratar el neuroblastoma, algo que se sabe ya hace tiempo.
Tal es así que en los últimos 10 años las terapias estaban enfocadas hacia una mejora del sistema inmune antineuroblastoma. Para ello, se basaban en que las células T o linfocitos T (responsables de la coordinación de la respuesta inmune celular) eran consideradas como el mayor brazo efector del sistema inmune y jugaban un papel importante en el reconocimiento y la orientación de las células cancerosas. Sin embargo, aunque los estudios preclínicos demostraban que estas células tenían el potencial para una actividad antineuroblastoma, la eficacia clínica de las inmunoterapias aplicadas no lo mostraban así.
El problema residía en que las células inmunes tenían una elevada dificultad para reconocer y destruir las células tumorales, ¿a qué era debida esta dificultad o por qué era provocada? Este era el gran enigma con el que se encontraban los científicos para poder avanzar en el estudio sobre el neuroblastoma. Todos los intentos realizados para poder aprovechar el sistema inmune en este sentido no tuvieron éxito.
Parece que esta duda empieza a desvanecerse. Gracias a la investigación llevada a cabo por estos científicos se puede aporta luz a este problema y podría explicar por qué estos intentos han sido hasta ahora infructuosos.
¿Y ahora qué?
Una mejor comprensión del papel clave de la actividad arginasa en la creación de un microambiente inmunosupresor en el neuroblastoma tiene implicaciones clínicas importantes para enfocar la inmunoterapia hacia las células T.
Así, la orientación de la actividad de la arginasa en el neuroblastoma podría proporcionar una nueva forma de mejorar la inmunidad antineuroblastoma, tanto la propia como la terapéutica.
Ahora, el nuevo reto es desarrollar nuevos fármacos que frenen el desarrollo del neuroblastoma mediante el uso de la arginina, haciendo una inmunoterapia más efectiva.
A partir de aquí, este equipo de investigadores tiene como objetivo próximo encontrar curas y tratamientos menos agresivos para niños con esta enfermedad, de tal manera, que en un futuro, cada niño enfermo pueda tener una larga y saludable vida.
Referencia bibliográfica
Mussai F, Egan S, Hunter S, Webber H, Fisher J, Wheat R, McConville C, Sbirkov Y, Wheeler K, Bendle G, Petrie K, Anderson J, Chesler L y De Santo C. Neuroblastoma Arginase Activity Creates an Immunosuppressive Microenvironment That Impairs Autologous and Engineered Immunity. Cancer Research (2015). DOI: 10.1158/0008-5472.CAN-14-3443
Mussai F, Egan S, Hunter S, Webber H, Fisher J, Wheat R, McConville C, Sbirkov Y, Wheeler K, Bendle G, Petrie K, Anderson J, Chesler L y De Santo C. Neuroblastoma Arginase Activity Creates an Immunosuppressive Microenvironment That Impairs Autologous and Engineered Immunity. Cancer Research (2015). DOI: 10.1158/0008-5472.CAN-14-3443

Tendencias Científicas


El corazón débil también daña al cerebro
CIENCIA ON LINE