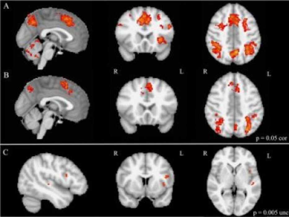
Imágenes de resonancia magnética funcional durante el cambio de tarea mental: Las filas A y B muestran la activación del cerebro en niños musicalmente entrenados y no entrenados, respectivamente. La fila C muestra las áreas del cerebro más activas en niños musicalmente capacitados que en niños no entrenados musicalmente. Fuente: Laboratories of Cognitive Neuroscience del Hospital Infantil de Boston.
Un estudio realizado usando la técnica de imágenes de resonancia magnética funcional (fMRI) para medir la actividad del cerebro ha revelado un posible vínculo biológico entre la formación musical y la mejora de la función ejecutiva en niños y adultos, según informan investigadores del Hospital Infantil de Boston (EEUU).
La investigación se centró en concreto en áreas del cerebro asociadas con la función ejecutiva, término que abarca una serie de conductas humanas y su rendimiento.
Más concretamente, las funciones ejecutivas son aquellos procesos cognitivos de alto nivel que permiten a las personas procesar y retener información, regular sus conductas, tomar buenas decisiones, resolver problemas, planificar, y adaptarse rápidamente a los cambios.
"Dado que la función ejecutiva es un fuerte predictor del rendimiento académico, incluso más que el coeficiente intelectual, creemos que nuestros hallazgos tienen implicaciones educativas potentes", afirma el investigador principal del estudio, Nadine Gaab, en un comunicado del Hospital Infantil de Boston divulgado por Eurekalert.
"Aunque muchas escuelas están reduciendo los programas de música y hacen que los niños dediquen más y más tiempo a la preparación de exámenes, nuestros resultados sugieren que el entrenamiento musical puede realmente ayudar a la mejora académica de los niños".
Características del estudio
Gaab y sus colaboradores compararon a 15 niños musicalmente entrenados, de nueve a 12 años, con un grupo de control de 12 niños músicalmente no entrenados y de la misma edad.
Los del primer grupo habían tocado un instrumento durante al menos dos años, en clases particulares y regulares de música. Los investigadores compararon asimismo a 15 adultos que eran músicos profesionales activos con 15 adultos que no eran músicos. Los individuos de los grupos de control no tenían ninguna formación musical, más allá de la educación musical general escolar.
Dado que los factores demográficos de cada familia pueden influir en si un niño recibe o no clases particulares de música, los investigadores compararon ciertos factores de ambos grupos, como la educación de los padres o los ingresos familiares.
Todos los participantes fueron sometidos a continuación a una serie de pruebas cognitivas. Los cerebros de los niños también fueron analizados con la técnica fMRI antes mencionada.
La investigación se centró en concreto en áreas del cerebro asociadas con la función ejecutiva, término que abarca una serie de conductas humanas y su rendimiento.
Más concretamente, las funciones ejecutivas son aquellos procesos cognitivos de alto nivel que permiten a las personas procesar y retener información, regular sus conductas, tomar buenas decisiones, resolver problemas, planificar, y adaptarse rápidamente a los cambios.
"Dado que la función ejecutiva es un fuerte predictor del rendimiento académico, incluso más que el coeficiente intelectual, creemos que nuestros hallazgos tienen implicaciones educativas potentes", afirma el investigador principal del estudio, Nadine Gaab, en un comunicado del Hospital Infantil de Boston divulgado por Eurekalert.
"Aunque muchas escuelas están reduciendo los programas de música y hacen que los niños dediquen más y más tiempo a la preparación de exámenes, nuestros resultados sugieren que el entrenamiento musical puede realmente ayudar a la mejora académica de los niños".
Características del estudio
Gaab y sus colaboradores compararon a 15 niños musicalmente entrenados, de nueve a 12 años, con un grupo de control de 12 niños músicalmente no entrenados y de la misma edad.
Los del primer grupo habían tocado un instrumento durante al menos dos años, en clases particulares y regulares de música. Los investigadores compararon asimismo a 15 adultos que eran músicos profesionales activos con 15 adultos que no eran músicos. Los individuos de los grupos de control no tenían ninguna formación musical, más allá de la educación musical general escolar.
Dado que los factores demográficos de cada familia pueden influir en si un niño recibe o no clases particulares de música, los investigadores compararon ciertos factores de ambos grupos, como la educación de los padres o los ingresos familiares.
Todos los participantes fueron sometidos a continuación a una serie de pruebas cognitivas. Los cerebros de los niños también fueron analizados con la técnica fMRI antes mencionada.
Resultados
En las pruebas cognitivas, los músicos adultos y los niños musicalmente entrenados mostraron un rendimiento mejorado en varios aspectos de la función ejecutiva.
En el análisis con fMRI, los niños con formación musical mostraron además una mayor activación de áreas específicas de la corteza prefrontal, en el transcurso de una prueba que les hizo variar entre diversas tareas mentales. Las áreas cerebrales sobreactivadas fueron el área motora suplementaria (encargada de la planificación y coordinación de movimientos complejos), la zona presuplementaria y la corteza prefrontal ventrolateral. Se sabe que estas regiones están relacionadas con la función ejecutiva.
Según Gaab, estos resultados "también pueden tener implicaciones para niños y adultos con dificultades con el funcionamiento ejecutivo, como los niños o mayores con trastorno por déficit de atención e hiperactividad (TDAH)". "Estudios futuros deberán determinar si la música puede ser utilizada como una herramienta de intervención terapéutica para estas personas".
En las pruebas cognitivas, los músicos adultos y los niños musicalmente entrenados mostraron un rendimiento mejorado en varios aspectos de la función ejecutiva.
En el análisis con fMRI, los niños con formación musical mostraron además una mayor activación de áreas específicas de la corteza prefrontal, en el transcurso de una prueba que les hizo variar entre diversas tareas mentales. Las áreas cerebrales sobreactivadas fueron el área motora suplementaria (encargada de la planificación y coordinación de movimientos complejos), la zona presuplementaria y la corteza prefrontal ventrolateral. Se sabe que estas regiones están relacionadas con la función ejecutiva.
Según Gaab, estos resultados "también pueden tener implicaciones para niños y adultos con dificultades con el funcionamiento ejecutivo, como los niños o mayores con trastorno por déficit de atención e hiperactividad (TDAH)". "Estudios futuros deberán determinar si la música puede ser utilizada como una herramienta de intervención terapéutica para estas personas".
Referencia bibliográfica:
Jennifer Zuk, Christopher Benjamin, Arnold Kenyon, Nadine Gaab. Behavioral and Neural Correlates of Executive Functioning in Musicians and Non-Musicians. PLoS ONE (2014). DOI: 10.1371/journal.pone.0099868.
Jennifer Zuk, Christopher Benjamin, Arnold Kenyon, Nadine Gaab. Behavioral and Neural Correlates of Executive Functioning in Musicians and Non-Musicians. PLoS ONE (2014). DOI: 10.1371/journal.pone.0099868.

Tendencias Científicas

La indiferencia ante la música se debe a desconexiones cerebrales
CIENCIA ON LINE