Un gen puede no expresarse (inactivarse) o expresarse con mayor o menor intensidad, es decir, estar más o menos activo, producir más o menos proteínas, igual que la intensidad de luz de una bombilla puede graduarse, haciendo que produzca una luz débil o intensa.
Eso es lo que ha ocurrido durante la evolución del cerebro humano con la expresión de genes relacionados con la plasticidad neuronal o neuroplasticidad, es decir, con la capacidad para formar nuevas conexiones nerviosas o (sinapsis).
En este contexto, a caballo entre la neurociencia, la medicina y la evolución, hemos de referirnos a la reelina, una proteína que se encuentra en el cerebro y que está íntimamente relacionada con la plasticidad neuronal, y que tiene un papel muy importante, puesto que ejerce una gran influencia en el aprendizaje y memoria de las persones adultas.
Tres genes de la reelina
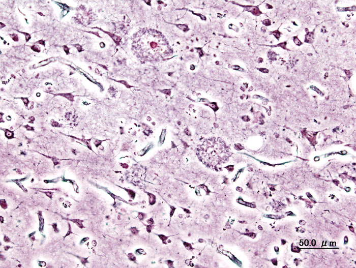
Un artículo publicado en la revista Alzheimer's disease and related disorders constata el hallazgo de tres genes de la reelina que presentan seis variantes que pueden aumentar hasta tres veces, o disminuir hasta ocho veces, el riesgo de presentar Alzheimer o deterioro cognitivo leve. Sus nombres son RELN, PLK2, CAMK2A.
El artículo tiene como firmante principal a Enric Bufill, neurólogo del Consorci Hospitalari de Vic y colaborador del IPHES (Institut Català de Paleoecologia Humana i Evolució Social), centros que tienen el Alzheimer entre sus líneas de investigación.
Ha contado con la participación del Dr Rafael Blesa, jefe del Servicio de Neurología del Hospital de la Santa Creu i Sant Pau de Barcelona, así como de las neuropsicólogas y genetistas de la Unitat de Memoria del mismo centro sanitario; del Dr Pere Roura, jefe de la Unidad de Epidemiología Clínica del Consorcio Hospitalario de Vic, y la colaboración del Centro Geriátrico Bernades de Manresa (Barcelona).
La investigación que han realizado todos ellos se basa en el estudio genético de 413 individuos enfermos de Alzheimer, personas con pérdida de memoria leve y otras sin problemas, tratados en dicho centro y en el Hospital General de Vic.
Tres de las seis variantes identificadas se encuentran situadas en la región promotora del gen, es decir, en un fragmento de éste que no codifica proteínas, sino que regula la expresión del gen, esto es, su mayor o menor actividad.
Ello sugiere que el mayor o menor riesgo de presentar Alzheimer (EA) podría venir determinado por cambios epigenéticos, o lo que es lo mismo, modificaciones bioquímicas que se producen como resultado de factores ambientales, tales como la dieta, los tóxicos, el estrés, etc. y que causan una mayor o menor expresión de un gen, incluyendo su desactivación o activación.
Eso es lo que ha ocurrido durante la evolución del cerebro humano con la expresión de genes relacionados con la plasticidad neuronal o neuroplasticidad, es decir, con la capacidad para formar nuevas conexiones nerviosas o (sinapsis).
En este contexto, a caballo entre la neurociencia, la medicina y la evolución, hemos de referirnos a la reelina, una proteína que se encuentra en el cerebro y que está íntimamente relacionada con la plasticidad neuronal, y que tiene un papel muy importante, puesto que ejerce una gran influencia en el aprendizaje y memoria de las persones adultas.
Tres genes de la reelina
Un artículo publicado en la revista Alzheimer's disease and related disorders constata el hallazgo de tres genes de la reelina que presentan seis variantes que pueden aumentar hasta tres veces, o disminuir hasta ocho veces, el riesgo de presentar Alzheimer o deterioro cognitivo leve. Sus nombres son RELN, PLK2, CAMK2A.
El artículo tiene como firmante principal a Enric Bufill, neurólogo del Consorci Hospitalari de Vic y colaborador del IPHES (Institut Català de Paleoecologia Humana i Evolució Social), centros que tienen el Alzheimer entre sus líneas de investigación.
Ha contado con la participación del Dr Rafael Blesa, jefe del Servicio de Neurología del Hospital de la Santa Creu i Sant Pau de Barcelona, así como de las neuropsicólogas y genetistas de la Unitat de Memoria del mismo centro sanitario; del Dr Pere Roura, jefe de la Unidad de Epidemiología Clínica del Consorcio Hospitalario de Vic, y la colaboración del Centro Geriátrico Bernades de Manresa (Barcelona).
La investigación que han realizado todos ellos se basa en el estudio genético de 413 individuos enfermos de Alzheimer, personas con pérdida de memoria leve y otras sin problemas, tratados en dicho centro y en el Hospital General de Vic.
Tres de las seis variantes identificadas se encuentran situadas en la región promotora del gen, es decir, en un fragmento de éste que no codifica proteínas, sino que regula la expresión del gen, esto es, su mayor o menor actividad.
Ello sugiere que el mayor o menor riesgo de presentar Alzheimer (EA) podría venir determinado por cambios epigenéticos, o lo que es lo mismo, modificaciones bioquímicas que se producen como resultado de factores ambientales, tales como la dieta, los tóxicos, el estrés, etc. y que causan una mayor o menor expresión de un gen, incluyendo su desactivación o activación.
Aumento de la expresión génica
Los genes encontrados en este estudio han aumentado su expresión en el cerebro de los primates, y la reelina parece expresarse en un mayor número de células cerebrales en el ser humano en relación a otros primates.
El gen que más cambios ha sufrido en la evolución humana (18 sustituciones en los últimos siete millones de años y sólo dos sustituciones en los anteriores 300 millones de años) es el gen HAR1F, que entre otras cosas parece controlar la expresión de reelina.
“El poseer determinadas variantes de los genes que codifican las proteínas de esta sustancia puede ser uno de los factores que habría hecho a los seres humanos más vulnerables a los factores que producen la enfermedad de Alzheimer, muy frecuente en nuestra especie y extremadamente infrecuente en otros mamíferos”, sostiene el neurólogo Enric Bufill en un comunicado del IPHES.
Los genes encontrados en este estudio han aumentado su expresión en el cerebro de los primates, y la reelina parece expresarse en un mayor número de células cerebrales en el ser humano en relación a otros primates.
El gen que más cambios ha sufrido en la evolución humana (18 sustituciones en los últimos siete millones de años y sólo dos sustituciones en los anteriores 300 millones de años) es el gen HAR1F, que entre otras cosas parece controlar la expresión de reelina.
“El poseer determinadas variantes de los genes que codifican las proteínas de esta sustancia puede ser uno de los factores que habría hecho a los seres humanos más vulnerables a los factores que producen la enfermedad de Alzheimer, muy frecuente en nuestra especie y extremadamente infrecuente en otros mamíferos”, sostiene el neurólogo Enric Bufill en un comunicado del IPHES.
Referencia bibliográfica
Bufill, E et al. Reelin Signaling PathwayGenotypes and Alzheimer Disease in a Spanish Population. Alzheimer's disease and related disorders (2014).
Bufill, E et al. Reelin Signaling PathwayGenotypes and Alzheimer Disease in a Spanish Population. Alzheimer's disease and related disorders (2014).

Tendencias Científicas


El corazón débil también daña al cerebro
CIENCIA ON LINE