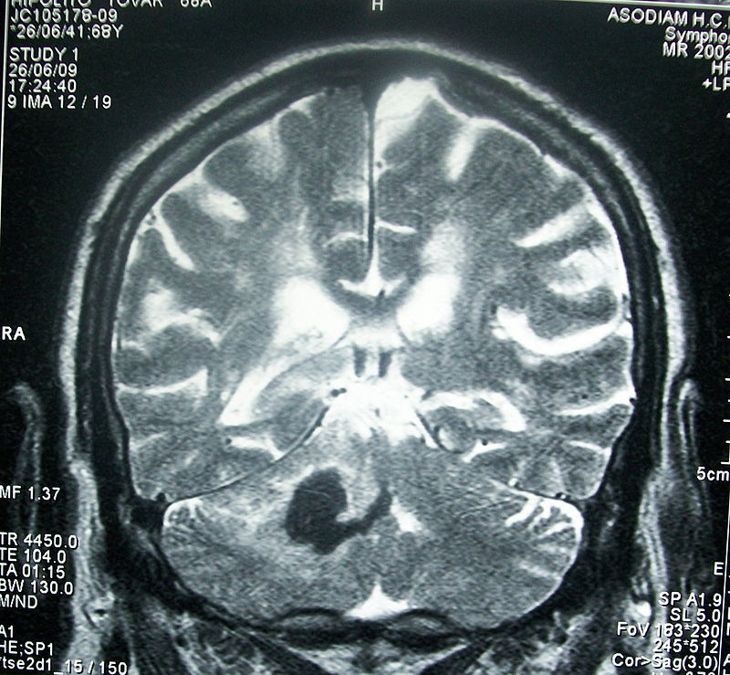
El daño cerebral adquirido hace referencia a cualquier tipo de lesión no degenerativa que se produce en el cerebro, como ictus, traumatismos craneoencefálicos, tumores, etcétera. Este tipo de lesión puede causar un deterioro neurológico permanente que repercute en la calidad de vida del individuo y disminuye su capacidad para realizar tareas de la vida diaria.
Las actividades físicas grupales se presentan como un tratamiento efectivo para la mejora de la capacidad funcional, tal y como pone de relieve una investigación realizada por el Centro de Estudios sobre Deporte Inclusivo, formado por la Facultad de Ciencias de la Actividad Física y del Deporte (INEF) de la Universidad Politécnica de Madrid (UPM) y la Fundación Sanitas, en colaboración con el Club Deportivo Elemental Deporte para Daño Cerebral Adquirido y el Centro de Referencia Estatal de Daño Cerebral Adquirido del Instituto de Mayores y Servicios Sociales (Imserso).
En nuestro país, el número de casos de daño cerebral adquirido ha aumentado considerablemente en los últimos años. Los déficits que produce esta enfermedad son muy variados y se pueden englobar en cuatro áreas: cognitivos, emocionales y de conducta, sensoriales y físicos. La persona con estas lesiones pasa por tres fases en su recuperación: aguda, subaguda y crónica. En todas ellas, los tratamientos que se aplican tienden fundamentalmente a que el paciente mantenga las capacidades conservadas. A esos tratamientos tradicionales los investigadores han sumado nuevas técnicas grupales de rehabilitación física que tienden a mejorar la capacidad funcional, la integración en la comunidad y por consiguiente una mayor calidad de vida.
En la investigación, informa la UPM en una nota de prensa, participaron 33 pacientes, (22 hombres y 11 mujeres), con una media de edad de treinta años. Todos ellos con daño cerebral adquirido en fase subaguda. Las actividades físicas grupales en las que tomaron parte durante diez semanas comprendieron talleres de circuito, equilibrio simple, equilibrio dual, desplazamiento dual y actividades físico-deportivas.
Al comenzar y concluir el programa rehabilitador se evaluaron las variables de velocidad (prueba de velocidad de la marcha en 10 metros), resistencia (prueba de marcha de 6 minutos), equilibrio dinámico (Step Test), capacidad funcional (Timed Up & Go), escala de percepción de seguridad (Activities-specific Balance Confidence Scale) y el cuestionario Physical Activity and Disability Survey (PADS), el promedio de la intensidad de la actividad y el número de pasos fuera del centro de rehabilitación (usando monitores de actividad física).
Las actividades físicas grupales se presentan como un tratamiento efectivo para la mejora de la capacidad funcional, tal y como pone de relieve una investigación realizada por el Centro de Estudios sobre Deporte Inclusivo, formado por la Facultad de Ciencias de la Actividad Física y del Deporte (INEF) de la Universidad Politécnica de Madrid (UPM) y la Fundación Sanitas, en colaboración con el Club Deportivo Elemental Deporte para Daño Cerebral Adquirido y el Centro de Referencia Estatal de Daño Cerebral Adquirido del Instituto de Mayores y Servicios Sociales (Imserso).
En nuestro país, el número de casos de daño cerebral adquirido ha aumentado considerablemente en los últimos años. Los déficits que produce esta enfermedad son muy variados y se pueden englobar en cuatro áreas: cognitivos, emocionales y de conducta, sensoriales y físicos. La persona con estas lesiones pasa por tres fases en su recuperación: aguda, subaguda y crónica. En todas ellas, los tratamientos que se aplican tienden fundamentalmente a que el paciente mantenga las capacidades conservadas. A esos tratamientos tradicionales los investigadores han sumado nuevas técnicas grupales de rehabilitación física que tienden a mejorar la capacidad funcional, la integración en la comunidad y por consiguiente una mayor calidad de vida.
En la investigación, informa la UPM en una nota de prensa, participaron 33 pacientes, (22 hombres y 11 mujeres), con una media de edad de treinta años. Todos ellos con daño cerebral adquirido en fase subaguda. Las actividades físicas grupales en las que tomaron parte durante diez semanas comprendieron talleres de circuito, equilibrio simple, equilibrio dual, desplazamiento dual y actividades físico-deportivas.
Al comenzar y concluir el programa rehabilitador se evaluaron las variables de velocidad (prueba de velocidad de la marcha en 10 metros), resistencia (prueba de marcha de 6 minutos), equilibrio dinámico (Step Test), capacidad funcional (Timed Up & Go), escala de percepción de seguridad (Activities-specific Balance Confidence Scale) y el cuestionario Physical Activity and Disability Survey (PADS), el promedio de la intensidad de la actividad y el número de pasos fuera del centro de rehabilitación (usando monitores de actividad física).
Diseño del estudio
El programa de actividades físicas grupales tuvo una duración de diez semanas y se llevó a cabo por un equipo transdisciplinar formado por fisioterapeutas, médicos rehabilitadores, terapeutas deportivos y terapeutas ocupacionales. Se desarrollaron varios talleres: circuito (sortear obstáculos y pasar de la acción de andar a la de sentarse), equilibrio simple (ejercicios para la mejora del equilibrio sobre colchonetas), equilibrio dual (ejercicios para la mejora del equilibrio y la marcha sobre colchonetas, a la vez que se realizan tareas cognitivas, como sumas, restas o deletrear palabras) y actividades físico-deportivas, que incluyeron actividades acuáticas en piscina profunda, natación, desplazamiento, coordinación, equilibrio deportivo, fútbol, baloncesto, unihockey, hockey interior, disco volador, ringo, palas, minicestas, tenis de mesa y voleibol.
Resultados
Los pacientes que participaron en los cinco talleres obtuvieron mejoras estadísticamente significativas en la velocidad, resistencia, equilibrio dinámico, capacidad funcional y percepción del equilibrio, percepción de realización de actividad general y número de pasos.
Se puede concluir, por tanto, que los resultados de esta investigación indican que la inclusión de un programa de actividades físicas grupales en la rehabilitación de personas con daño cerebral adquirido mejora las capacidades físicas, la percepción de seguridad, la actividad general y el número de pasos, lo que puede favorecer una mayor participación en la comunidad.
El programa de actividades físicas grupales tuvo una duración de diez semanas y se llevó a cabo por un equipo transdisciplinar formado por fisioterapeutas, médicos rehabilitadores, terapeutas deportivos y terapeutas ocupacionales. Se desarrollaron varios talleres: circuito (sortear obstáculos y pasar de la acción de andar a la de sentarse), equilibrio simple (ejercicios para la mejora del equilibrio sobre colchonetas), equilibrio dual (ejercicios para la mejora del equilibrio y la marcha sobre colchonetas, a la vez que se realizan tareas cognitivas, como sumas, restas o deletrear palabras) y actividades físico-deportivas, que incluyeron actividades acuáticas en piscina profunda, natación, desplazamiento, coordinación, equilibrio deportivo, fútbol, baloncesto, unihockey, hockey interior, disco volador, ringo, palas, minicestas, tenis de mesa y voleibol.
Resultados
Los pacientes que participaron en los cinco talleres obtuvieron mejoras estadísticamente significativas en la velocidad, resistencia, equilibrio dinámico, capacidad funcional y percepción del equilibrio, percepción de realización de actividad general y número de pasos.
Se puede concluir, por tanto, que los resultados de esta investigación indican que la inclusión de un programa de actividades físicas grupales en la rehabilitación de personas con daño cerebral adquirido mejora las capacidades físicas, la percepción de seguridad, la actividad general y el número de pasos, lo que puede favorecer una mayor participación en la comunidad.
Referencia bibliográfica:
Juan José García-Hernández, Lázaro Mediavilla-Saldaña, Marta Pérez-Rodríguez, Javier Pérez-Tejero, Carlos González-Alted: Análisis del efecto de las actividades fisicas grupales en pacientes con daño cerebral adquirido en fase subaguda. Revista de Neurología (2013). PMID: 23836336.
Juan José García-Hernández, Lázaro Mediavilla-Saldaña, Marta Pérez-Rodríguez, Javier Pérez-Tejero, Carlos González-Alted: Análisis del efecto de las actividades fisicas grupales en pacientes con daño cerebral adquirido en fase subaguda. Revista de Neurología (2013). PMID: 23836336.

Tendencias Científicas


El corazón débil también daña al cerebro
CIENCIA ON LINE