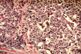
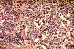
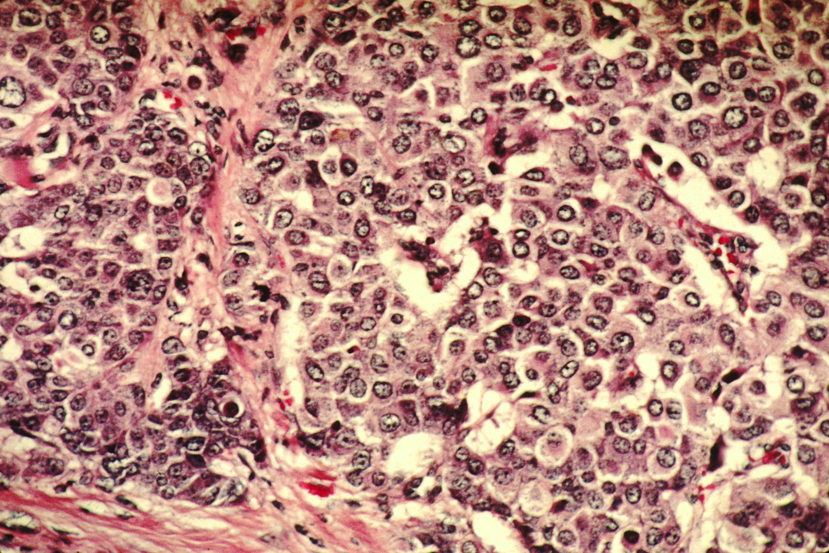
La metástasis es la primera causa de muerte en los pacientes con cáncer. Durante este proceso, las células tumorales se diseminan desde el tumor primario a diferentes órganos, abriéndose paso a través de la matriz extracelular que rodea los tejidos hasta llegar a los vasos que irrigan un nódulo.
Pero, ¿cómo llegan las células tumorales hasta el torrente sanguíneo? Un estudio realizado en el Albert Einstein College of Medicine de Nueva York (EE UU), liderado por el investigador español José Javier Bravo-Cordero, permite entender mejor este proceso.
“Las células tumorales forman unas estructuras invasivas denominadas invadopodia –porque son similares a unos pies– que les permiten invadir el tejido al ir destruyendo la matriz extracelular. Estas estructuras requieren un preciso ensamblaje y desensamblaje para su función”, explica a Sinc Bravo-Cordero, primer autor del trabajo.
Una de las proteínas que desempeña un papel importante en la invasión tumoral se denomina Rac1. De hecho, ciertos tumores, los más invasivos, muestran altos niveles de esta proteína.
Usando técnicas avanzadas de microscopia, los científicos han logrado visualizar el lugar concreto dentro de la célula tumoral y el momento preciso en el que la proteína Rac1 está activada durante el proceso de invasión. Los resultados se publican esta semana en la revista Nature Cell Biology.
Pero, ¿cómo llegan las células tumorales hasta el torrente sanguíneo? Un estudio realizado en el Albert Einstein College of Medicine de Nueva York (EE UU), liderado por el investigador español José Javier Bravo-Cordero, permite entender mejor este proceso.
“Las células tumorales forman unas estructuras invasivas denominadas invadopodia –porque son similares a unos pies– que les permiten invadir el tejido al ir destruyendo la matriz extracelular. Estas estructuras requieren un preciso ensamblaje y desensamblaje para su función”, explica a Sinc Bravo-Cordero, primer autor del trabajo.
Una de las proteínas que desempeña un papel importante en la invasión tumoral se denomina Rac1. De hecho, ciertos tumores, los más invasivos, muestran altos niveles de esta proteína.
Usando técnicas avanzadas de microscopia, los científicos han logrado visualizar el lugar concreto dentro de la célula tumoral y el momento preciso en el que la proteína Rac1 está activada durante el proceso de invasión. Los resultados se publican esta semana en la revista Nature Cell Biology.
Electricistas del cáncer
“Es como si enchufásemos la célula a una corriente para que emitiera luz. Al hacerlo, visualizamos el intrincado circuito de señalización de la proteína Rac1 que regula la invasión; y, como si fuéramos electricistas, podemos intentar modular una parte de ese circuito para entenderlo mejor”, explica Bravo-Cordero.
En una serie de experimentos con células humanas de tumores de mama, los autores han caracterizado las moléculas que intervienen en la regulación de Rac1. Así, han conseguido identificar una nueva ruta de señalización que podría usarse como diana para controlar la metástasis.
Utilizando una técnica de microscopia avanzada que permite controlar la actividad de Rac1 con luz, los investigadores han registrado las capacidades invasivas de las células cancerosas.
“Simplemente iluminando las células en la zona en la que la proteína quiere ser activada, podemos controlar su actividad y modular su capacidad invasiva”, subraya el experto español.
La nueva investigación resuelve que cuando Rac1 o algún componente de la ruta de señalización es eliminado de la célula, esta pierde sus capacidades invasivas.
“Es importante conocer los circuitos moleculares que controlan las etapas tempranas de la invasión tumoral, ya que permitiría diseñar fármacos más específicos que bloqueen dichos circuitos e impidan que la célula pueda invadir eficientemente”, concluye.
“Es como si enchufásemos la célula a una corriente para que emitiera luz. Al hacerlo, visualizamos el intrincado circuito de señalización de la proteína Rac1 que regula la invasión; y, como si fuéramos electricistas, podemos intentar modular una parte de ese circuito para entenderlo mejor”, explica Bravo-Cordero.
En una serie de experimentos con células humanas de tumores de mama, los autores han caracterizado las moléculas que intervienen en la regulación de Rac1. Así, han conseguido identificar una nueva ruta de señalización que podría usarse como diana para controlar la metástasis.
Utilizando una técnica de microscopia avanzada que permite controlar la actividad de Rac1 con luz, los investigadores han registrado las capacidades invasivas de las células cancerosas.
“Simplemente iluminando las células en la zona en la que la proteína quiere ser activada, podemos controlar su actividad y modular su capacidad invasiva”, subraya el experto español.
La nueva investigación resuelve que cuando Rac1 o algún componente de la ruta de señalización es eliminado de la célula, esta pierde sus capacidades invasivas.
“Es importante conocer los circuitos moleculares que controlan las etapas tempranas de la invasión tumoral, ya que permitiría diseñar fármacos más específicos que bloqueen dichos circuitos e impidan que la célula pueda invadir eficientemente”, concluye.
Referencia bibliográfica:
Yasmin Moshfegh, Jose Javier Bravo-Cordero, Veronika Miskolci, John Condeelis y Louis Hodgson. A Trio-Rac1-PAK1 signaling axis driving invadopodia disassembly. Nature Cell Biology (2014). doi:10.1038/ncb2972
Yasmin Moshfegh, Jose Javier Bravo-Cordero, Veronika Miskolci, John Condeelis y Louis Hodgson. A Trio-Rac1-PAK1 signaling axis driving invadopodia disassembly. Nature Cell Biology (2014). doi:10.1038/ncb2972

Tendencias Científicas


El corazón débil también daña al cerebro
CIENCIA ON LINE