Tendencias 21

   




SALUD

Madres atentas crían una descendencia menos estresada - 21/03/2014

Una conducta materna adecuada puede compensar ciertos efectos negativos del estrés en la infancia y proteger ante el estrés en la edad adulta, revela un estudio realizado con ratas en la Universidad Autónoma de Barcelona. Estudios previos habían demostrado el efecto de la atención materna en la respuesta cerebral al estrés de crías de ratón e incluso en la descendencia de nuestra propia especie.
(+)

El gen que protege contra el cáncer de mama controla también el desarrollo del cerebro - 18/03/2014

El gen BRCA1, que tiene funciones protectoras contra el cáncer de mama y de ovario, tiene también un papel importante en el desarrollo del cerebro embrionario y en el control del tamaño de este órgano en adultos. Mediante experimentos con ratones, investigadores estadounidenses han demostrado que la falta de este gen provoca muerte celular y pérdida de tejido cerebral.
(+)

Fabrican un bazo artificial que está integrado en un chip - 18/03/2014

Investigadores del Instituto de Bioingeniería de Cataluña (IBEC) y del CRESIB, centro de investigación de ISGlobal, han conseguido desarrollar un modelo funcional de bazo en 3D capaz de actuar como este órgano. El dispositivo ayudará a detectar posibles fármacos contra la malaria y otras enfermedades hematológicas. Un gran avance en microingeniería, como lo fue el pulmón en un chip creado en 2012 en Estados Unidos, también con la finalidad de investigar enfermedades, y definir nuevas dianas terapéuticas.
(+)

Crean un pan de trigo genéticamente modificado apto para los celíacos - 13/03/2014

Científicos del Consejo Superior de Investigaciones Científicas (CSIC) han desarrollado, mediante modificación genética, un pan de trigo potencialmente apto para la mayoría de los celiacos y otras personas con intolerancia al gluten. El nuevo tipo de pan tiene un sabor más similar al del pan normal que el pan de harina de arroz, consumido habitualmente por los celiacos.
(+)

Encuentran el gen verdaderamente responsable de la obesidad - 13/03/2014

Científicos de varios países, entre ellos España, han descubierto que el gen responsable de la obesidad es el IRX3, y no el FTO como se creía hasta ahora. El FTO actúa de manera indirecta, regulando la expresión del IRX3. Para realizar este hallazgo, se llevaron a cabo experimentos con ratones que no expresaban el gen IRX3. Estos animales no engordaban, a pesar de alimentarse con dietas ricas en grasas.
(+)

Encuentran una causa genética del fallo ovárico prematuro - 10/03/2014

Científicos del CSIC y la Universidad de Salamanca han encontrado una causa genética de la insuficiencia ovárica prematura, una enfermedad que provoca la pérdida de la función ovárica años antes de la menopausia. Se trata de una mutación en el gen STAG3, causante de trastornos de infertilidad humana.
(+)

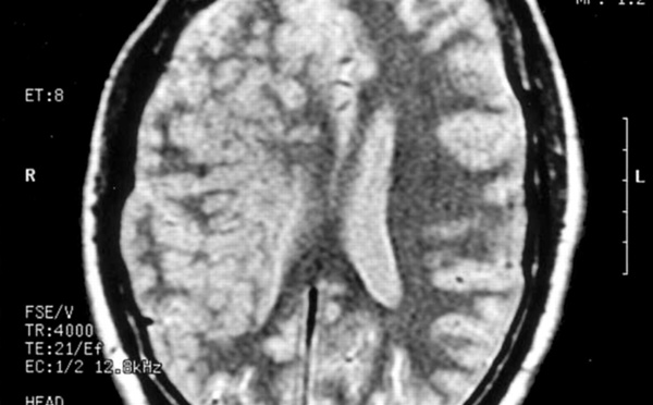
Un test sanguíneo predice el Alzheimer, tres años antes de la aparición de síntomas - 10/03/2014

Un equipo de investigadores de Estados Unidos ha descubierto y validado un test de sangre que puede predecir con más de un 90% de exactitud si una persona sana va a desarrollar deterioro cognitivo leve o la enfermedad de Alzheimer en los tres años siguientes. Los científicos calculan que la prueba podría estar lista para su aplicación clínica en sólo dos años.
(+)

Una terapia génica permite crear células modificadas que repelen el VIH - 07/03/2014

Investigadores de la Universidad de Pensilvania (EE.UU.) han demostrado que ‘cortando’ un gen que el virus del sida necesita como llave de entrada a las células, se pueden crear células modificadas que repelen el virus. Los expertos se mantienen cautos, puesto que el método sólo controló realmente el virus en uno de los seis pacientes tratados, aunque afirman que se trata de un primer paso para controlar el VIH sin tratamiento antirretroviral.
(+)

La dieta de la madre puede condicionar la duración del embarazo - 06/03/2014

Una dieta rica en verduras, frutas y cereales integrales, o bien en patatas, verduras y pescado cocido, está relacionada de forma significativa con un menor riesgo de parto prematuro. Aunque no está claro que la dieta sea la causante de ese menor riesgo, un estudio reciente sí da argumentos para el consejo habitual de que las embarazadas coman una dieta equilibrada, con abundancia de agua.
(+)
1 ... « 72 73 74 75 76 77 78 » ... 114