Tendencias 21

   




SALUD

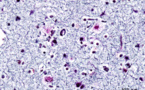
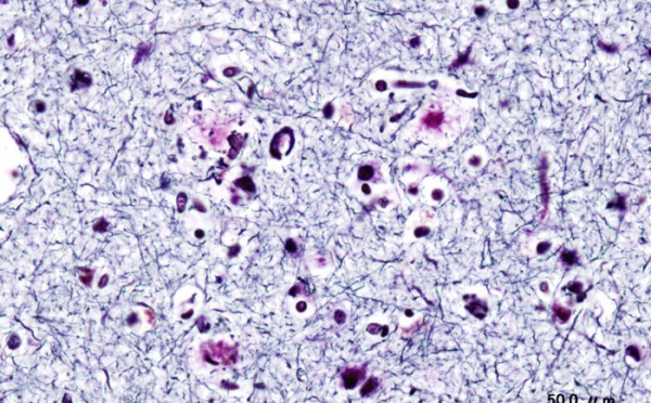
Un gen que gestiona la energía del cerebro está relacionado con el alzhéimer - 17/07/2013

Científicos del Instituto Catalán de Neurociencias Aplicadas de Barcelona (Fundación ACE) han descubierto un gen, asociado con el control del consumo de energía en el cerebro, que también está relacionado directamente con el alzhéimer. Es el undécimo gen que se descubre que influya en esta enfermedad.
(+)

Regeneran la retina humana mediante reprogramación neuronal - 12/07/2013

Científicos del Centro de Regulación Genómica de Barcelona han conseguido regenerar la retina humana mediante la reprogramación de las neuronas. El método consiste en introducir células madre de la médula ósea en la retina dañada; las nuevas células indiferenciadas se fusionan con las neuronas en la retina, y éstas adquieren la capacidad de regenerar el tejido.
(+)

El intestino de los pacientes con VIH recluta bacterias que ayudan al virus a expandirse - 11/07/2013

Científicos de la Universidad de California en San Francisco han descubierto que los pacientes con VIH tienen la flora intestinal alterada y que esto empeora la situación del paciente. Los científicos estudian la posibilidad de repoblar el intestino con bacterias adecuadas, al tiempo que se combaten las malignas.
(+)

El déficit de yodo en embarazadas perjudica al desarrollo cognitivo del feto - 11/07/2013

El déficit de yodo durante el embarazo tiene efectos perjudiciales en el desarrollo cognitivo de la descendencia, ha revelado un estudio realizado por un equipo internacional de investigadores, liderados desde la UGR. Estos resultados demuestran la importancia de un correcto estado nutricional en yodo durante la gestación y los primeros años de vida, para que el cerebro del bebé se desarrolle correctamente.
(+)

Trasplantan trozos de hígado creados con células madre humanas a ratones - 04/07/2013

Investigadores japoneses han trasplantado con éxito aparente trozos de hígado creados artificialmente a partir de células madre humanas en ratones. Los nuevos órganos funcionan como órganos humanos dentro de los ratones, aunque no es seguro que sean totalmente funcionales. La técnica podría aplicarse a otros órganos, como el páncreas.
(+)

Un software permite operar virtualmente un tumor de hígado, para aprender - 03/07/2013

Un software desarrollado por la Universidad Politécnica de Valencia permite "operar" virtualmente un hígado, de modo que cuando se realice la intervención real se pueda hacer con más precisión. La aplicación está indicada para tumores, una operación especialmente complicada. El sistema proporciona un modelo 3D en el que hacer mediciones volumétricas y simulaciones.
(+)

La leche materna y la dieta mediterránea son "programadores" de salud a largo plazo - 02/07/2013

Científicos europeos coordinados desde Alemania han desarrollado un proyecto a gran escala financiado por la UE, que ha comprobado los efectos a largo plazo en la salud de los hijos de la nutrición de la madre antes del parto y de los propios niños durante sus primeros años de vida. La leche materna y la dieta mediterránea son algunos de los "programadores positivos" para la salud de los descendientes, mientras que el tabaco es uno de los "programadores negativos", revela el estudio.
(+)

Convierten células madre umbilicales en tejido óseo, para fabricar huesos artificiales - 27/06/2013

Científicos granadinos han diseñado un nuevo biomaterial que permite generar tejido óseo, es decir, huesos artificiales, a partir de células madre obtenidas de cordón umbilical. Aún no se ha aplicado 'in vivo', pero los resultados de laboratorio son muy prometedores. El siguiente paso será implantar el material en ratas o conejos.
(+)

La alimentación puede mejorar la vista - 26/06/2013

Un estudio realizado en Estados Unidos ha demostrado el efecto beneficioso de algunos suplementos alimenticios antixodiantes para evitar la degeneración macular asociada a la edad (DMAE). Ahora un grupo de científicos irlandeses, apoyados por la Unión Europea, profundizarán en esta vía de investigación, y también analizarán el efecto de la fruta y la verdura en la vista, puesto que contienen pigmentos naturales que son necesarios para el ojo.
(+)
1 ... « 82 83 84 85 86 87 88 » ... 114