Tendencias 21

   




SALUD

Los hipertimésicos recuerdan al detalle cualquier día de su vida porque tienen un cerebro distinto - 31/07/2012

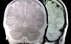
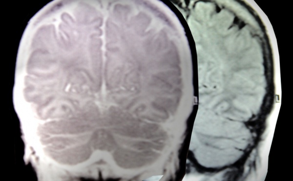
Científicos de la Universidad de California Irvine (UCI), en Estados Unidos, han hallado rasgos diferenciadores en los cerebros y procesos mentales de un extraordinario grupo de personas capaces de recordar sin esfuerzo cada momento de sus vidas, desde aproximadamente los 10 años de edad. Estos individuos presentan una condición conocida como hipertimesia o memoria autobiográfica muy superior, documentada por vez primera en 2006.
(+)

Las fresas protegen la piel de la radiación ultravioleta - 31/07/2012

Un experimento realizado por un equipo de científicos españoles e italianos ha revelado que el extracto de fresa tiene un efecto protector frente a la radiación ultravioleta, además de aumentar su viabilidad y reducir el daño en el ADN. La razón de este efecto podría estar en los antocianos, unos pigmentos que otorgan el color rojo a hojas, flores y frutos. Los resultados obtenidos en el estudio abren la puerta a la creación de cremas fotoprotectoras de fresa.
(+)

La sonrisa es como una píldora contra el estrés - 31/07/2012

El refrán “al mal tiempo buena cara” ya tiene una base científica. Una investigación realizada por especialistas de la Universidad de Kansas ha demostrado que sonreír cuando se está padeciendo una situación de estrés ayuda a frenar los efectos nocivos del nerviosismo sobre el organismo, al reducir la frecuencia cardiaca. Además, las personas que sonríen se recuperan mejor de los eventos estresantes pasados.
(+)

Una nueva técnica no invasiva ayuda a combatir la obesidad - 24/07/2012

Un equipo de científicos del Reino Unido ha realizado un estudio sobre la aplicación de la termografía al control del sobrepeso. Sus conclusiones indican que esta técnica, con la que se pueden detectar las reservas de grasa marrón o grasa buena del organismo, permitirá añadir un índice termográfico en las etiquetas de los alimentos para mostrar si un producto puede aumentar o reducir el ritmo de consumo de calorías.
(+)

Las redes sociales cuidan a los ancianos - 23/07/2012

Cuando las personas mayores sufren alguna caída estando solas en sus casas, la cantidad de personas alertadas de esta situación puede acelerar la llegada de ayuda al domicilio del afectado. Con esta idea, un proyecto de alta prioridad de la UE está ideando cómo conectar esas “alarmas de caída” a las redes sociales. Cada vez será más necesario el cuidado de ancianos a distancia, por lo que, según un estudio, el mercado de aparatos específicos se multiplicará por 10 en seis años.
(+)

La luz detecta y controla la adicción a la cocaína - 17/07/2012

Una investigación ha podido comprobar que es posible detectar y controlar la adicción a la cocaína mediante pulsos de luz aplicados al sistema nervioso de ratones. Esta técnica permite descubrir las huellas que las drogas dejan en el cerebro. A partir de la luz, el trabajo también ha conseguido activar células nerviosas sin fármacos, solamente por manipulación optogenética.
(+)

Descubren que un opioide orgánico puede ayudar a superar los traumas - 11/07/2012

Tras sufrir un evento traumático, no resulta fácil olvidar lo ocurrido y superar la angustia de los recuerdos. Un equipo de científicos alemanes ha descubierto que un opioide que produce de manera natural el organismo, la dinorfina, influye en la capacidad para olvidar o superar los traumas. Su hallazgo podría ayudar al desarrollo de nuevas terapias destinadas a personas que han vivido una experiencia traumática.
(+)

Un gel vaginal evitará la transmisión sexual del virus del SIDA - 10/07/2012

Un gel vaginal, con capacidad antiviral directa y antiinflamatoria, podría abrir la puerta para evitar la transmisión sexual del VIH sin necesidad de emplear otro método barrera. La molécula que forma el microbicida, patentada por una empresa española, será valorada en un estudio de dos años de duración, coordinado por el Instituto de Salud Carlos III.
(+)

Las células sanas aumentan la resistencia de los tumores a los medicamentos - 06/07/2012

Uno de los principales obstáculos a los que se enfrentan las terapias anticancerígenas es que los tumores adquieran resistencia a los tratamientos. Científicos han conseguido establecer que el origen de dicha resistencia está en unas sustancias que segregan las células sanas que rodean a los tumores, y que provocan que las células tumorales muten y se vuelvan resistentes a los fármacos.
(+)
1 ... « 97 98 99 100 101 102 103 » ... 114