Tendencias 21

   




SALUD

Potencian la creación de neuronas mediante manipulación genética - 09/03/2012

Un equipo de investigadores estadounidenses ha descubierto que un tipo concreto de manipulación genética permite incrementar la creación de nuevas neuronas en el cerebro, así como potenciar el efecto de los antidepresivos en el estado de ánimo. El hallazgo sugiere que la manipulación genética podría mejorar de manera directa estados como la ansiedad o la depresión.
(+)

Crean unos “auriculares de luz” que curan la depresión invernal - 08/03/2012

Millones de personas en el mundo experimentan durante el invierno un trastorno conocido como Trastorno Afectivo Estacional (TAD), que se cree está originado por la insuficiencia de luz solar y que provoca depresión y fatiga. Investigadores finlandeses han desarrollado un sistema que cura este trastorno, y que consiste en unos auriculares que proyectan sobre el cerebro, a través de los canales auditivos, haces de luz en longitudes de onda similares a las de la luz solar.
(+)

Diseñan una molécula sintética que inhibe la formación de tumores - 02/03/2012

Investigadores de la Universidad Autónoma de Barcelona (UAB) y del Consejo Superior de Investigaciones Científicas (CSIC) han sintetizado en el laboratorio una molécula que activa de manera eficiente y controlada la respuesta inmunológica contra la proliferación de tumores. En experimentos realizados con ratones, se demostró que la administración de esta molécula reduce drásticamente la formación de metástasis en los pulmones, en un modelo de melanoma.
(+)

Gusanos “inmortales” revelan una clave del envejecimiento - 02/03/2012

Un equipo de investigadores de la Universidad de Nottingham , en el Reino Unido, ha descubierto el mecanismo que permite a los platelmintos o gusanos planos superar el proceso de envejecimiento, para ser casi inmortales. Según los científicos, la clave se encontraría en un gen que regula una enzima llamada telomerasa, cuya actividad garantiza la longevidad celular.
(+)

Crean un interruptor molecular que apaga el dolor - 24/02/2012

¿Se puede, simplemente, “apagar” el dolor? Un equipo de químicos de la Universidad Ludwig Maximilians de Munich, en Alemania, han demostrado que sí: en experimentos de laboratorio han conseguido inhibir la actividad de las neuronas sensibles al dolor utilizando un agente fotosensible que funciona como “interruptor”.
(+)

Una novedosa tecnología predice con exactitud el riesgo de parto prematuro - 16/02/2012

Un equipo de científicos de la Universidad de Sheffield, en el Reino Unido, ha desarrollado una tecnología que ayudará a pronosticar los partos prematuros. La técnica emplea impulsos eléctricos para medir los cambios en la resistencia eléctrica de las células del cuello del útero, a partir de la semana 20 de gestación. Se sabe que dichos cambios son indicadores de riesgo de parto pretérmino.
(+)

Desarrollan un teléfono móvil que hace de terapeuta de bolsillo - 10/02/2012

Científicos de la Universidad de Northwestern, en Estados Unidos, están desarrollando tecnologías virtuales, móviles y basadas en la Red que, en un futuro, ayudarán a tratar la depresión y otros trastornos anímicos. La intención de los investigadores es sustituir las sesiones semanales de terapia tradicionales por ciertos dispositivos, como un teléfono móvil capaz de intuir que su dueño está deprimido, y de recomendarle en consecuencia que llame a sus amigos y salga con ellos.
(+)

Crecer en una granja protege contra las enfermedades inmunológicas - 09/02/2012

Las enfermedades inmunológicas, como la alergia o el asma, tienen su origen en una incapacidad del sistema inmune para realizar sus funciones correctamente. Ahora, un estudio realizado por investigadores de la Universidad de Bristol, en el Reino Unido, ha revelado que una posible solución para ellas es pasar la infancia en una granja.
(+)

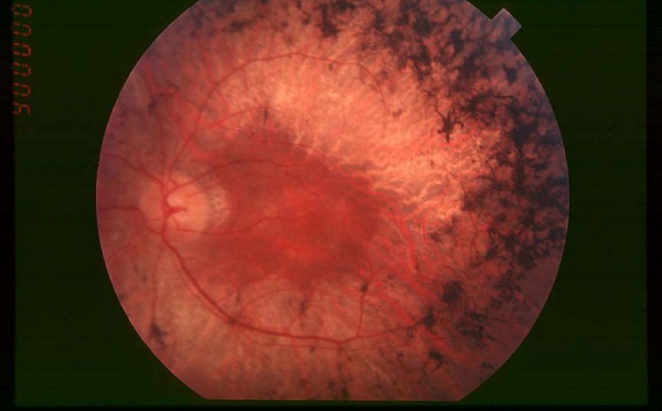
Una nueva terapia genética podría curar una forma común de ceguera - 26/01/2012

Un nuevo método de terapia genética desarrollado por científicos de la Universidad de Florida, en Estados Unidos, podría curar una forma común de ceguera que afecta a los niños: la retinosis pigmentaria ligada al cromosoma X. La terapia consiste, básicamente, en sustituir un gen disfuncional por otro gen capaz de producir una proteína clave para la visión. El gen “bueno” se hace llegar al punto a tratar usando un virus a modo de transportador. Una serie de pruebas realizadas con animales han demostrado ya la eficacia del tratamiento.
(+)
1 ... « 107 108 109 110 111 112 113 » ... 114