Tendencias 21

   




TENDENCIAS CIENTÍFICAS

Extraña actividad neuronal en cerebros con “electroencefalograma plano” - 23/09/2013

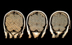
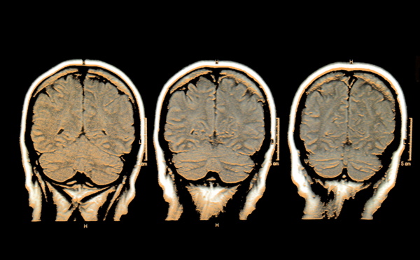
Científicos de diversos centros de investigación han detectado una actividad neuronal hasta ahora desconocida en cerebros en “muerte cerebral”. Se trata de unas oscilaciones generadas en el hipocampo, que es la parte del cerebro responsable de la memoria y de los procesos de aprendizaje, que eran transmitidas a la parte principal del cerebro, la corteza. El hallazgo podría tener aplicaciones terapéuticas.
(+)

El terremoto del Mar de Okhotsk de mayo fue el más grande registrado hasta la fecha - 20/09/2013

El terremoto de 8,3 grados del Mar de Okhotsk, que tuvo lugar en mayo pasado, a 609 kilómetros de profundidad, es el más potente registrado hasta la fecha. Científicos estadounidenses han revelado que liberó una energía equivalente a la explosión de 36 millones de kilogramos de dinamita y produjo una grieta de 180 kilómetros, la más larga conocida.
(+)

Astrobiólogos afirman haber encontrado rastros de vida alienígena en la estratosfera - 20/09/2013

Ya se sabía que en la atmósfera de nuestro planeta hay bacterias terrestres. Sin embargo, astrobiólogos de la Universidad de Sheffield afirman haber encontrado “otra cosa”: fragmentos de un alga unicelular que, por su tamaño, no habrían podido llegar a 27 kilómetros de la Tierra. ¿Una procedencia espacial? Los científicos creen que sí, pero nada ha sido demostrado.
(+)

Clasifican los olores en diez categorías básicas - 19/09/2013

Científicos estadounidenses han definido estadísticamente diez categorías básicas de los olores, a imagen de las clasificaciones de la vista (colores) y del gusto (cinco sabores básicos). Se trata de fragancia floral; fragancia leñosa o resinosa; frutal no cítrico; olor químico; mentolado o refrescante; dulce; quemado o ahumado; cítricos; y dos tipos de hedores nauseabundos: descompuesto y rancio.
(+)

La Tierra será habitable por lo menos hasta dentro de 1.750 millones de años - 19/09/2013

Un estudio sobre la zona de habitabilidad de otros planetas (esa región alrededor de una estrella en la que sería posible la vida), ha revelado que la Tierra será habitable entre 1.750 y 3.250 millones de años más. El método aplicado para alcanzar esta conclusión podría también servir para determinar las posibilidades de que haya vida en otros planetas, señalan los especialistas.
(+)

Una red neuronal se activa por todo el cerebro cuando pensamos en cosas que no existen - 17/09/2013

La imaginación es uno de los misterios de la mente humana, por el que se han preguntado durante mucho tiempo filósofos y científicos. La neurología ha conseguido ahora describir su procedencia: una red cortical y subcortical de neuronas cuya actividad se extiende por gran parte del cerebro. El hallazgo podría ayudar a trasladar la capacidad de imaginar a las máquinas.
(+)

Encuentran un método para calcular el entrelazamiento cuántico de forma sencilla - 16/09/2013

Dos investigadores han demostrado que si la correlación entre las partículas en una muestra disminuye exponencialmente con la distancia, el entrelazamiento cuántico entre una región y el resto de la muestra depende sólo de la superficie que hay entre ambos. Eso facilitará enormemente la simulación de sistemas cuánticos mediante ordenadores.
(+)

Una fábrica cósmica y fósiles moleculares podrían explicar el origen de la vida - 16/09/2013

Dos estudios recientes arrojan algo de luz sobre el gran misterio del origen de la vida en la Tierra. Uno de ellos ha demostrado en laboratorio la existencia de una “fábrica cósmica” de componentes básicos para la vida: el choque de cometas o meteoritos contra planetas helados. En la segunda investigación se han encontrado además unos “fósiles moleculares” que, en su origen, podrían haber propiciado la eclosión biológica de nuestro planeta.
(+)

El mal oculto de la Antártida: su hielo desaparece rápidamente bajo las aguas - 16/09/2013

Durante muchas décadas, los expertos han creído que la Antártida pierde cada año miles de kilómetros cúbicos de hielo por la fractura de los icebergs. Sin embargo, una nueva investigación ha demostrado que la fusión de la subplataforma del continente tiene un impacto tan grande como la ruptura de los icebergs en su conjunto, e incluso es mucho más importante que dicha ruptura en algunas zonas.
(+)

Crean el mapa más completo sobre las causas genéticas de las diferencias individuales - 16/09/2013

Un equipo de investigadores europeos ha presentado un mapa que señala las causas genéticas de las diferencias entre individuos. El estudio ofrece el conjunto más grande de datos nunca presentado que enlazan la información del genoma humano (ADN) con la actividad funcional de estos genes a nivel del ARN. Conocer qué variantes genéticas son las responsables de las diferencias en la actividad de los genes entre individuos puede ayudar al desarrollo de la medicina personalizada.
(+)
1 ... « 201 202 203 204 205 206 207 » ... 328