Tendencias 21

   




TENDENCIAS CIENTÍFICAS

Se puede olvidar un recuerdo, si se intenta lo suficiente - 26/03/2013

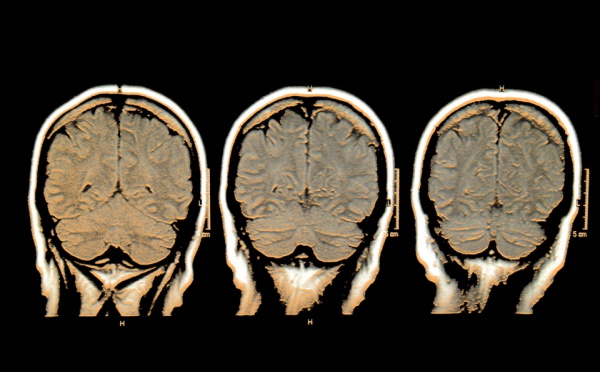
Científicos del Centro Vasco sobre Cognición, Cerebro y Lenguaje han descubierto que los seres humanos pueden olvidar recuerdos de manera intencionada, si su cerebro es suficientemente fuerte para ello y si se intenta durante bastante tiempo. En su experimento, los investigadores analizaron las regiones del cerebro que se activan cuando se intenta recordar algo y cuando se intenta dejar de pensar en ello a propósito.
(+)

Partículas efímeras podrían cambiar la velocidad de la luz - 26/03/2013

Desde 1983, la física ha determinado que la velocidad de la luz en el vacío es una constante del valor de 299.792.458 metros por segundo. Sin embargo, dos estudios recientes publicados por The European Physical D desafían esta idea, al sugerir que la velocidad de la luz depende de las fluctuaciones de las partículas cuánticas del vacío que atraviesa.
(+)

El cerebro cree que las conductas compulsivas le van a traer un beneficio - 25/03/2013

Científicos de la UNED y de la Universidad de Arizona han revisado decenas de estudios sobre el comportamiento y han concluido que los tics o conductas obsesivas-compulsivas no se realizan porque sí, sino que a ellas subyace la búsqueda de un beneficio. La razón es que durante el aprendizaje, el cerebro aprende conductas con un determinado beneficio, sólo porque se producen en un espacio de tiempo corto, y luego no distingue de manera objetiva cuáles de ellas son las realmente beneficiosas.
(+)

Las microalgas capturan dióxido de carbono y producen biocombustible - 22/03/2013

Ciertas microalgas, además de constituir una fuente alternativa de bioenergía ideal, también pueden capturar dióxido de carbono. Su potencial es muy superior al de los cultivos oleaginosos y además no ocupan terrenos que de otra manera se destinarían al cultivo de alimentos. Sin embargo, tienen algunos problemas: su consumo de agua es excesivo durante la fase de producción, se libera CO2 en forma de burbujas durante la fase líquida y la recolección es trabajosa, lenta e ineficiente.
(+)

La imagen más detallada del cielo muestra un universo peculiar e inexplicado - 21/03/2013

El telescopio espacial Planck de la ESA ha realizado la imagen más detallada de la luz más antigua de todo el cielo, que quedó ‘impresa’ en el cosmos cuando este tenía solo 380.000 años de antigüedad. La información confirma el modelo cosmológico estándar con una precisión sin precedentes, pero también revela algunas características peculiares e inexplicadas del universo, que bien podrían requerir de una nueva física para ser comprendidas.
(+)

La estrella más rápida no logra escapar de un agujero negro - 21/03/2013

El telescopio espacial XMM-Newton de la ESA ha ayudado a identificar un sistema formado por una estrella –una enana roja- y por un agujero negro que se orbitan mutuamente a gran velocidad. La estrella completa esta órbita cada 2.4 horas, casi una hora menos que el anterior récord registrado. Entretanto, el agujero negro se sigue alimentando de la materia arrancada de su diminuta compañera.
(+)

Juegos infantiles y matemáticas ayudan a combatir el crimen - 20/03/2013

El profesor de Matemática Aplicada de la Universidad Politécnica de Madrid Juan Carlos Nuño y su equipo aplican teorías matemáticas en la búsqueda de estrategias óptimas para proteger personas y bienes frente a los malhechores. Para ello utilizan la teoría de juegos, y establecen similitudes entre un ataque terrorista y el juego del pañuelo. La idea es intentar evitar el máximo daño posible, aunque eso suponga asumir ciertos daños inevitables.
(+)

Titán contiene un misterioso gas detectable solo durante el día - 20/03/2013

Datos de dos sobrevuelos realizados por la misión espacial Cassini sobre Titán (satélite de Saturno) en 2007 han revelado que en su atmósfera existe un gas no detectado hasta ahora, y que emite radiación sólo durante el día. El descubrimiento ha sorprendido a los científicos del Instituto de Astrofísica de Andalucía-CSIC, co-autores del estudio, pues hasta ahora se pensaba que la atmósfera de Titán era muy bien conocida.
(+)

La endogamia fue común entre nuestros antepasados, revelan unos restos fósiles - 19/03/2013

Científicos chinos y estadounidenses han hallado en China unas piezas que pertenecieron al cráneo de un humano antiguo y que muestran una malformación congénita actualmente rara. Según los investigadores, dicha malformación indica que la endogamia podría haber sido común entre nuestros antepasados.
(+)

Observador y mecánica cuántica: Las mediciones colapsan el espín atómico - 19/03/2013

Una de las leyes más básicas de la mecánica cuántica señala que un sistema subatómico puede estar en más de un estado a la vez, hasta que es observado. Entonces, colapsa en un estado concreto. Científicos de Israel han estudiado esta característica cuántica en el espín o momento angular de las partículas. Y han comprobado que el observador también puede influir en el colapso de la superposición del espín, simplemente ajustando la orientación de su aparato de medición.
(+)
1 ... « 221 222 223 224 225 226 227 » ... 328