Tendencias 21

   




TENDENCIAS DE LAS RELIGIONES
Cátedra de Ciencia, Tecnología y Religión.
Escuela Técnica Superior de Ingeniería.
Universidad Pontificia de Comillas. En preparación hasta el 1.04.2006.

La pluralidad caracteriza a las tradiciones religiosas del siglo XXI - 22/03/2013

La condición plural de las culturas y de las tradiciones religiosas es una seña de identidad del siglo XXI. ¿ Constituye esto una novedad histórica o es más bien un hecho mismo de la vida, siempre existente, que ahora conocemos mejor por las consecuencias que implica? La revista internacional de Teología CONCILIUM ha abordado la cuestión de la “Teología del pluralismo religioso. El nuevo paradigma”. ¿Qué tendencias emergen para el siglo XXI?
(+)

Dios, Ser, mundo: de Tillich a Lafont - 14/03/2013

El hombre vive su vida en el mundo y para hacerse debe realizar en sí mismo el Ser del universo. Debe descubrir e integrarse en el Ser. Por ello la filosofía de Heidegger ha entendido y descrito fenomenológicamente al hombre como Da-Sein (Ser-ahí), como el lugar en que el Ser de la realidad se manifiesta y se realiza. Descubrir a Dios debe hacerse desde esta perspectiva por el mundo y por la búsqueda del Ser, según pensó Paul Tillich, uno de los más relevantes teólogos protestantes del siglo XX, a partir del marco de la fenomenología de Heidegger. Tillich y Ghislain Lafont nos ayudan a matizar cómo es el análisis del hombre en Heidegger y a entender cómo estamos abiertos a Dios desde el mundo y su Ser.
(+)

Las iglesias están vacías porque están vaciadas de alma, según Andrés Ortiz-Oses - 06/03/2013

Son muchos los ensayos y los estudios de los teólogos, los sociólogos y los antropólogos para describir un perfil de la divinidad que pueda ser significativa para la sociedad de la era de la ciencia y de la cultura digital. Las imágenes de Dios de las culturas bíblicas parecen inadecuadas para las tradiciones religiosas; y los panteísmos difusos de la New Age, difusos. El antropólogo Andrés Ortiz-Osés ha descrito las posibles tendencias sobre Dios para el siglo XXI.
(+)

La Edad Media anticipó el diálogo moderno entre ciencia y religión - 26/02/2013

La polémica suscitada a partir del siglo XI –“Discusión o Controversia de los Universales”- introdujo la Filosofía de Platón y Aristóteles en el contexto filosófico y teológico cristiano de la escolástica medieval. Los contendientes: Realistas y Nominalistas. Fueron las tendencias medievales de estas disputas un auténtico anticipo de las tendencias modernas en el diálogo entre la ciencia y la religión.
(+)

La religiosidad de occidente toca fondo - 20/02/2013

¿Qué está pasando en occidente y en especial en Europa? Cargado de historia, de tradición, de cultura y religiones, occidente parece haber tocado fondo en sus valores. El sistema político ha propiciado la hipertrofia de la generación vieja que no deja espacio a la generación joven. Occidente envejece. Este artículo, basado en las ideas del filósofo chileno Luis Ratezo Migliaro, expresa los resultados provisorios de una búsqueda inconclusa sobre cuestiones que muchos hoy consideran fundamentales, y que Arnold Toynbee sostenía que están al centro y en la base de crisis espiritual y social de las civilizaciones.
(+)

Sobre la libertad creativa del científico y la estética de la física - 14/02/2013

Desde un punto de vista general, el pensamiento del científico del siglo XIX Pierre Duhem hay que entenderlo dentro del debate entre románticos e ilustrados. Ha existido siempre una polarización entre lo sentimental y lo racional, y lo que Duhem hizo en este sentido fue proponer una respuesta integradora al debate entre ilustración y romanticismo. Insistió en la libertad creativa del científico y en las cualidades estéticas de la teoría física, sin olvidar los aspectos lógicos y empíricos de la ciencia.
(+)

Los saberes de la antigüedad podrían señalar nuevos horizontes - 07/02/2013

Los visionarios tienen mala prensa. Y en muchos casos, con razón. Pero han existido visionarios que pueden señalar caminos y tendencias, como el jesuita del siglo XVII Athanasius Kircher. Un curso de posgrado reciente de la Universidad de Granada sobre Hermetismo, Magia y Alquimia ha recuperado su memoria. Además, en él se concluyó que saberes de la antigüedad podrían enriquecer a las religiones y señalar nuevos horizontes.
(+)

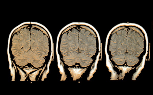
El cerebro funciona con la materia de los sueños - 01/02/2013

¿Y si todo fuera un sueño? La ciencia no puede garantizar que vivamos en una realidad científica. Hoy todo apunta a la imposibilidad de separar lo real de lo virtual. Por otro lado, el cerebro interpreta como real la experiencia de lo que se siente: su función es producir una alucinación que se vive como real. ¿Qué pasaría si toda la realidad fuera solo una ilusión?
(+)

La espiritualidad resurge y la religión decae en la modernidad líquida - 30/01/2013

Ni las personas ni los grupos humanos pueden soportar por mucho tiempo el vacío existencial. En un primer momento, quizás se eche mano de la compensación y de la "distracción", pero la insatisfacción creciente desencadenará una actitud de búsqueda de la plenitud presentida: es la búsqueda espiritual. Algo así parece estar sucediendo entre nosotros. A ojos de muchos analistas, resulta innegable que, en nuestro medio sociocultural, nos hallamos frente a un creciente resurgir de la espiritualidad. Y que dicho resurgir corre paralelo a un no menos evidente declive de la religión institucional. Hasta el punto de que, según ellos, nos encontraríamos ante el umbral de una etapa transreligiosa, transconfesional y postcristiana. ¿Es así en realidad?
(+)
1 ... « 20 21 22 23 24 25 26 » ... 72