Tendencias 21

   




TENDENCIAS DE LAS RELIGIONES
Cátedra de Ciencia, Tecnología y Religión.
Escuela Técnica Superior de Ingeniería.
Universidad Pontificia de Comillas. En preparación hasta el 1.04.2006.

La crítica de la religión se convierte en un gran negocio - 26/07/2007

La proliferación de best sellers sobre el ateísmo se ha convertido en un suculento negocio, destaca The Wall Street Journal. En los últimos doce meses se han venido en Estados Unidos un millón de ejemplares de las cinco últimas obras. Sólo uno de los autores, Christopher Hitchens, podría ganar un millón de dólares por su último libro, titulado “Cómo la religión lo envenena todo”. Es evidente que asistimos a una crítica descarnada contra la religión en la que el rigor no siempre domina y que además aparece mezclada con los negocios. Un signo más de los nuevos tiempos
(+)

Los científicos son menos religiosos que el resto de la población - 12/07/2007

Los científicos son menos religiosos que el resto de la población, señala una encuesta realizada con 1.646 académicos de Estados Unidos. Esta singularidad religiosa no tiene nada que ver con la formación académica, ni con el supuesto conflicto entre ciencia y fe, sino que se debe a otras cuestiones, como la educación religiosa de base, su edad, su estado civil o su entorno familiar (el tener o no hijos y el número de éstos). El estudio reveló también que las diferencias en las actitudes sobre religión y espiritualidad no eran significativas entre los científicos de las ramas natural y social de la ciencia.
(+)

Nuestra realidad personal está construida en las redes neurales - 27/06/2007

La reciente publicación de un nuevo libro de Francisco Mora sobre la neurocultura es un estímulo para profundizar en la idea del hombre que hoy nos ofrece la ciencia. El hombre y todo cuanto ha sido su obra a lo largo de los siglos es producto del cerebro humano. Si profundizar en el humanismo es conocer con mayor profundidad al hombre, el nuevo humanismo debe estar fundado en el conocimiento del cerebro.
(+)

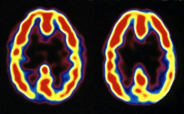
La neuroteología investiga la creación inducida de experiencias místicas - 27/06/2007

La neuroteología es una rama de la neurociencia que estudia el componente neurológico de las experiencias religiosas. Se han descubierto patrones electromagnéticos de la actividad cerebral que son activados por ciertas costumbres, como la meditación, o por otros métodos, como la inducción de impulsos electromagnéticos al cerebro, las sustancias psicodélicas e, incluso, la modificación genética. La neuroteología investiga ahora si es posible integrar de manera artificial las experiencias religiosas en nuestras vidas.
(+)

Murray Peshkin equilibra el debate ciencia y religión - 19/06/2007

También los científicos se plantean preguntas sobre la religión. La controversia sobre la enseñanza de la teoría de la evolución en las escuelas norteamericanas, que ha llegado hasta el tribunal de la Corte Suprema de los EE. UU., ha traído aspectos negativos (como la vuelta del ya olvidado creacionismo) pero también aspectos positivos, como el interés de los científicos por los temas religiosos. En la revista de alta divulgación PHYSICS TODAY han aparecido recientemente artículos de opinión y cartas al Director donde los físicos se ven implicados en el debate ciencia-religión. Un artículo del físico teórico Murray Peshkin equilibra este debate.
(+)

Hacia nuevas formas de trans-espiritualidad - 13/06/2007

El transhumanismo es un movimiento cultural e intelectual que apoya el uso de las nuevas ciencias y tecnologías para mejorar las capacidades mentales y físicas del ser humano (incluida la muerte involuntaria a la que lleva la vejez). En muchos aspectos coincide con las religiones, con las que comparte el objetivo de la trascendencia en un futuro mejorado. También hay profundas divergencias, pero a medida que las posibilidades del transhumanismo aumentan, las compatibilidades de la metafísica, la teodicea y la soteriología de las perspectivas religiosa y transhumanista, van construyendo nuevas formas de “trans-espiritualidad”.
(+)

Se intensifica el debate sobre el ateísmo y la religión - 07/06/2007

Nuevos libros, artículos y comentarios en prensa ponen de manifiesto el auge del debate entre ateísmo y religión. Para algunos científicos, ha llegado el momento de que la religión sea sustituida por la ciencia, como ha escrito Dawkins en su polémica obra El espejismo de Dios. La manipulación de la religión para cometer actos terroristas o bélicos aumenta las dudas sobre su validez, añaden otros autores. Según el físico Frank Tipler, el cristianismo tiene una sólida base científica. La realidad es que la religión siempre ha sido controvertida y que el auge religioso lleva consigo un auge paralelo del ateísmo. En recientes reapariciones, tanto Einstein como Heisenberg nos recuerdan el origen y la vigencia de este debate.
(+)

La naturaleza humana es moral y creyente, origen de la diversidad cultural - 25/05/2007

La cuestión de si las personas estamos predeterminadas por la evolución, o si somos libres merced a nuestra cultura, divide a la comunidad científica. En un reciente artículo publicado en The Global Spiral, el biólogo y antropólogo Sloane Wilson comenta la obra del sociólogo de las religiones Christian Smith, "Moral Believing Animal", y señala que la naturaleza es moral y creyente, y da lugar a una diversidad cultural que diferencia a nuestra especie del resto de las especies terrestres. El establecimiento de esta concepción dentro de las ciencias sociales es un hecho, por lo que integrarla con la teoría evolutiva sería un logro aún mayor hacia el que se encamina el constructivismo social evolutivo, concluye Sloan.
(+)

Edgar Morin: del universo complejo a la Realidad velada - 19/05/2007

Un universo complejo presupone una realidad múltiple, contradictorio-complementaria, danzante y fluyente, una Naturaleza heraclitiana. Pero ¿quién puede asegurar que sigue siendo así en profundidad? ¿Es múltiple y compleja la raíz más honda de lo Real? ¿Es múltiple y complejo lo Real-en-sí? ¿Se equivocaron Parménides y los Upanishad? Todo apunta a que Edgar Morin está hoy suministrando una descripción magistral de lo que la tradición hindú de la Vedanta Advaita denomina Maya, la Gran Ilusión Cósmica. Pero lo Real, Lo Simple, sigue oculto tras el velo. Una de las corrientes sobresalientes del pensamiento contemporáneo ha conducido, en la línea de Bergson, Whitehead y el mismo Teilhard de Chardin, a la superación del racionalismo reduccionista de tradición cartesiana por un nuevo paradigma holístico, al que Edgar Morin ha contribuido desde el enfoque sistémico de la complejidad.
(+)
1 ... « 61 62 63 64 65 66 67 » ... 72