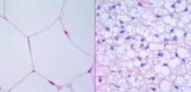
Grasa blanca procedente de un ratón sano (izquierda) y tejido adiposo transformado en marrón procedente de un ratón con cáncer, donde los adipocitos son más pequeños y los núcleos celulares más grandes (izquierda). Imagen: Michele Petruzzelli. Fuente: CNIO.
La mayor parte de quienes investigan el cáncer se concentran en la biología del tumor en sí. Pero Michele Petruzzelli, del Centro Nacional de Investigaciones Oncológicas (CNIO), buscando vías de ataque indirecto a la enfermedad, decidió poner el foco en el resto del organismo.
Su trabajo sobre la respuesta del cuerpo al tumor ha descubierto que la caquexia, la extrema delgadez y debilidad que acaba siendo la auténtica causa de la muerte de un tercio de los enfermos de cáncer, se desencadena por un proceso hoy muy estudiado no para combatir el cáncer, sino la obesidad: la conversión del tejido graso blanco en marrón.
"Es la primera vez que este fenómeno que podríamos llamar quemagrasa se asocia a un efecto negativo", explica Petruzzelli, miembro del grupo de Erwin Wagner, director del Programa Fundación BBVA-CNIO de Biología Celular del Cáncer, en la nota de prensa del CNIO.
"Lo que vemos es que la transformación de grasa blanca en grasa marrón, que es ahora uno de los temas estrella de la investigación por sus potenciales efectos positivos contra la obesidad y la diabetes, tiene consecuencias muy perniciosas en el contexto del cáncer". El trabajo se publica ahora en Cell Metabolism.
Los investigadores afirman además que si se logra reducir la transformación del tejido graso los síntomas de la caquexia mejoran, aunque no desaparezcan del todo. Lo demuestran bloqueando moléculas mediadoras de la inflamación -un proceso vinculado a la caquexia-, en concreto la citoquina IL6.
El CNIO cuenta con numerosos modelos animales –en ratones- de distintos tipos de cáncer. Así que el punto de partida de este trabajo, explica Petruzzelli, fue seleccionar una docena de estos ratones modelo y estudiar qué cambios sucedían en sus cuerpos a medida que se desarrollaba el tumor.
Los investigadores observaron numerosos cambios en los órganos de los animales, que variaban en función del tipo de modelo y tumor. Sin embargo, el efecto de la transformación de grasa blanca en marrón se dio en todos ellos, y muy pronto, antes de que se manifestaran los síntomas ya conocidos de la caquexia.
Grasa 'buena' y 'mala'
El interés del trabajo aumenta porque llama la atención, y relaciona, dos procesos -la transformación de la grasa blanca en marrón y la caquexia- que por motivos distintos han sido poco estudiados, pero que en los últimos años se han convertido en temas calientes de la investigación en todo el mundo.
La importancia del proceso de transformación de la grasa blanca en marrón en humanos se descubrió hace apenas dos años. La mayor parte de la grasa en un humano adulto es blanca -tejido adiposo blanco-, y se sabe que su principal función -no la única- es almacenar energía (los michelines).
La grasa marrón, en cambio, se quema para producir calor; la grasa de los bebés y de los animales que hibernan es así. En el contexto de la actual epidemia de obesidad, la grasa blanca ha sido apodada mala, mientras que la marrón es la buena.
El descubrimiento de que los humanos adultos pueden convertir la grasa blanca/mala en marrón/buena mediante el ejercicio o la exposición a bajas temperaturas ha abierto una nueva vía de ataque a la obesidad, y de hecho ya está en marcha la búsqueda activa de herramientas farmacológicas para inducir la transformación.
El trabajo del grupo de Wagner en Cell Metabolism no dice nada sobre la bondad o maldad de cada tipo de grasa, pero pone de relieve un proceso que potenciado podría combatir la obesidad, pero que en enfermos de cáncer debe ser combatido.
En cuanto a la caquexia, es un fenómeno poco estudiado pese a que los médicos conocen desde siempre su difícil tratamiento y pronóstico. Además de a pacientes de cáncer, afecta a enfermos en fases avanzadas de numerosas enfermedades, incluidas infecciosas como el sida o la tuberculosis, y crónicas, como la esclerosis múltiple.
Su trabajo sobre la respuesta del cuerpo al tumor ha descubierto que la caquexia, la extrema delgadez y debilidad que acaba siendo la auténtica causa de la muerte de un tercio de los enfermos de cáncer, se desencadena por un proceso hoy muy estudiado no para combatir el cáncer, sino la obesidad: la conversión del tejido graso blanco en marrón.
"Es la primera vez que este fenómeno que podríamos llamar quemagrasa se asocia a un efecto negativo", explica Petruzzelli, miembro del grupo de Erwin Wagner, director del Programa Fundación BBVA-CNIO de Biología Celular del Cáncer, en la nota de prensa del CNIO.
"Lo que vemos es que la transformación de grasa blanca en grasa marrón, que es ahora uno de los temas estrella de la investigación por sus potenciales efectos positivos contra la obesidad y la diabetes, tiene consecuencias muy perniciosas en el contexto del cáncer". El trabajo se publica ahora en Cell Metabolism.
Los investigadores afirman además que si se logra reducir la transformación del tejido graso los síntomas de la caquexia mejoran, aunque no desaparezcan del todo. Lo demuestran bloqueando moléculas mediadoras de la inflamación -un proceso vinculado a la caquexia-, en concreto la citoquina IL6.
El CNIO cuenta con numerosos modelos animales –en ratones- de distintos tipos de cáncer. Así que el punto de partida de este trabajo, explica Petruzzelli, fue seleccionar una docena de estos ratones modelo y estudiar qué cambios sucedían en sus cuerpos a medida que se desarrollaba el tumor.
Los investigadores observaron numerosos cambios en los órganos de los animales, que variaban en función del tipo de modelo y tumor. Sin embargo, el efecto de la transformación de grasa blanca en marrón se dio en todos ellos, y muy pronto, antes de que se manifestaran los síntomas ya conocidos de la caquexia.
Grasa 'buena' y 'mala'
El interés del trabajo aumenta porque llama la atención, y relaciona, dos procesos -la transformación de la grasa blanca en marrón y la caquexia- que por motivos distintos han sido poco estudiados, pero que en los últimos años se han convertido en temas calientes de la investigación en todo el mundo.
La importancia del proceso de transformación de la grasa blanca en marrón en humanos se descubrió hace apenas dos años. La mayor parte de la grasa en un humano adulto es blanca -tejido adiposo blanco-, y se sabe que su principal función -no la única- es almacenar energía (los michelines).
La grasa marrón, en cambio, se quema para producir calor; la grasa de los bebés y de los animales que hibernan es así. En el contexto de la actual epidemia de obesidad, la grasa blanca ha sido apodada mala, mientras que la marrón es la buena.
El descubrimiento de que los humanos adultos pueden convertir la grasa blanca/mala en marrón/buena mediante el ejercicio o la exposición a bajas temperaturas ha abierto una nueva vía de ataque a la obesidad, y de hecho ya está en marcha la búsqueda activa de herramientas farmacológicas para inducir la transformación.
El trabajo del grupo de Wagner en Cell Metabolism no dice nada sobre la bondad o maldad de cada tipo de grasa, pero pone de relieve un proceso que potenciado podría combatir la obesidad, pero que en enfermos de cáncer debe ser combatido.
En cuanto a la caquexia, es un fenómeno poco estudiado pese a que los médicos conocen desde siempre su difícil tratamiento y pronóstico. Además de a pacientes de cáncer, afecta a enfermos en fases avanzadas de numerosas enfermedades, incluidas infecciosas como el sida o la tuberculosis, y crónicas, como la esclerosis múltiple.
No es 'autocanibalismo'
La caquexia asociada a cáncer se interpretaba hasta hace poco como una especie de autocanibalismo: el organismo se consume a sí mismo tratando de cubrir las necesidades energéticas del tumor en constante crecimiento.
Pero hoy se sabe que pueden producir caquexia tumores de todos los tamaños, incluso muy pequeños, y en etapas muy tempranas del desarrollo tumoral, lo que no casa con la hipótesis del autocanibalismo. Los investigadores han visto que tampoco obedece a una mayor necesidad del organismo de generar calor.
Estos nuevos datos, y la constatación de que es la caquexia asociada al tumor -y no el tumor en sí- lo que causa la muerte de un tercio de los pacientes de cáncer, ha impulsado el estudio de este síndrome en los últimos años. Se sabe ahora que está muy estrechamente vinculado a la inflamación.
Por eso en el trabajo actual Wagner y su grupo exploran el vínculo entre la inflamación, la caquexia, y el proceso de transformación del tejido graso blanco en marrón. Sus resultados indican que si se actúa bloqueando uno de los agentes que promueven la inflamación, la citoquina IL6, se reduce sustancialmente el proceso de transformación de la grasa y, consecuentemente, la caquexia –aunque los investigadores resaltan que no se logra una curación: la IL6 es solo una de diversas citoquinas implicadas y bloquearla no es suficiente–.
Una vía a la prevención
Este resultado sugiere por tanto que los anti-inflamatorios podrían ayudar a combatir la caquexia. Pero hay un problema: el desconocimiento sobre este síndrome es aún tal que, hoy por hoy, no es posible predecir qué enfermos de cáncer la desarrollarán.
El nuevo trabajo podría abrir una vía en este sentido al descubrir procesos –la transformación de la grasa– muy iniciales en la caquexia. "Permite pensar en la posibilidad de identificar biomarcadores que nos ayuden a predecir qué pacientes van a desarrollar caquexia, de forma que podamos tratarles de forma preventiva", señala Petruzzelli.
Los fondos del trabajo proceden de la Fundación BBVA, el Ministerio de Economía y Competitividad y la Unión Europea.
La caquexia asociada a cáncer se interpretaba hasta hace poco como una especie de autocanibalismo: el organismo se consume a sí mismo tratando de cubrir las necesidades energéticas del tumor en constante crecimiento.
Pero hoy se sabe que pueden producir caquexia tumores de todos los tamaños, incluso muy pequeños, y en etapas muy tempranas del desarrollo tumoral, lo que no casa con la hipótesis del autocanibalismo. Los investigadores han visto que tampoco obedece a una mayor necesidad del organismo de generar calor.
Estos nuevos datos, y la constatación de que es la caquexia asociada al tumor -y no el tumor en sí- lo que causa la muerte de un tercio de los pacientes de cáncer, ha impulsado el estudio de este síndrome en los últimos años. Se sabe ahora que está muy estrechamente vinculado a la inflamación.
Por eso en el trabajo actual Wagner y su grupo exploran el vínculo entre la inflamación, la caquexia, y el proceso de transformación del tejido graso blanco en marrón. Sus resultados indican que si se actúa bloqueando uno de los agentes que promueven la inflamación, la citoquina IL6, se reduce sustancialmente el proceso de transformación de la grasa y, consecuentemente, la caquexia –aunque los investigadores resaltan que no se logra una curación: la IL6 es solo una de diversas citoquinas implicadas y bloquearla no es suficiente–.
Una vía a la prevención
Este resultado sugiere por tanto que los anti-inflamatorios podrían ayudar a combatir la caquexia. Pero hay un problema: el desconocimiento sobre este síndrome es aún tal que, hoy por hoy, no es posible predecir qué enfermos de cáncer la desarrollarán.
El nuevo trabajo podría abrir una vía en este sentido al descubrir procesos –la transformación de la grasa– muy iniciales en la caquexia. "Permite pensar en la posibilidad de identificar biomarcadores que nos ayuden a predecir qué pacientes van a desarrollar caquexia, de forma que podamos tratarles de forma preventiva", señala Petruzzelli.
Los fondos del trabajo proceden de la Fundación BBVA, el Ministerio de Economía y Competitividad y la Unión Europea.
Referencia bibliográfica:
Michele Petruzzelli, Martina Schweiger, Renate Schreiber, Ramon Campos-Olivas, Maria Tsoli, John Allen, Michael Swarbrick, Stefan Rose-John, Mercedes Rincon, Graham Robertson, Rudolf Zechner, Erwin F. Wagner: A Switch from White to Brown Fat Increases Energy Expenditure in Cancer-Associated Cachexia. Cell Metabolism (2014). DOI: http://dx.doi.org/10.1016/j.cmet.2014.06.011.
Michele Petruzzelli, Martina Schweiger, Renate Schreiber, Ramon Campos-Olivas, Maria Tsoli, John Allen, Michael Swarbrick, Stefan Rose-John, Mercedes Rincon, Graham Robertson, Rudolf Zechner, Erwin F. Wagner: A Switch from White to Brown Fat Increases Energy Expenditure in Cancer-Associated Cachexia. Cell Metabolism (2014). DOI: http://dx.doi.org/10.1016/j.cmet.2014.06.011.

Tendencias Científicas

El corazón débil también daña al cerebro
CIENCIA ON LINE