|
Breves21
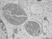
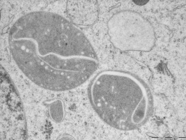
Descubren que los cromoplastos de las plantas producen energía química, como las mitocondrias y los cloroplastos 07/11/2014Siempre se había pensado que las mitocondrias y los cloroplastos eran los únicos componentes de la célula vegetal capaces de producir energía química. Pero otro orgánulo celular, el cromoplasto, también tiene la capacidad de sintetizar energía para su metabolismo, según una investigación de la Universidad de Barcelona. El cromoplasto es un orgánulo celular propio de los vegetales que se caracteriza por acumular carotenoides, pigmentos que confieren la típica coloración amarilla, naranja o roja a muchas flores, raíces y frutos. Además, es un orgánulo metabólicamente muy activo que participa en diferentes procesos biosintéticos durante la maduración de los frutos. Según el nuevo estudio, el cromoplasto también es capaz de producir energía química, es decir, sintetizar moléculas de ATP (adenosín trifosfato) mediante un proceso respiratorio denominado cromorrespiración. Como explica el catedrático Joaquín Azcón, del Departamento de Biología Vegetal de la UB, "se pensaba que la energía que necesitaba el cromoplasto venía de la mitocondria; pero nuestro trabajo revela que tiene capacidad bioenergética propia. La cromorrespiración es un proceso de membrana basado en una cadena respiratoria que crea un gradiente de potencial electroquímico de protones y se acopla a la síntesis de ATP, como en las mitocondrias y los cloroplastos". En trabajos anteriores, el equipo de la UB había descrito cómo los cromoplastos podían sintetizar lípidos sin la entrada de ATP externo. Como explica el catedrático Albert Boronat, del Departamento de Bioquímica y Biología Molecular de la UB y del Centro de Investigación en Agrigenómica, "el cromoplasto es un orgánulo que deriva de los cloroplastos; no tiene capacidad fotosintética, pero metabólicamente es muy activo y todavía no se conocen bien todas sus funciones". Los cromoplastos abundan en frutos como el tomate, el pimiento y los cítricos. Los expertos de la UB han estudiado el proceso de maduración del tomate, momento en que la actividad metabólica de los cromoplastos se dispara, y su producción energética va dirigida a elaborar carotenoides para mejorar las propiedades cualitativas del fruto. Más información UB/T21
Nuevo comentario:
|
|
||||||
|
|||||||

Tendencias Científicas

CIENCIA ON LINE