Existen importantes diferencias en la manera en que cada individuo se toma la vida. Mientras que algunas personas tienden a ser relajadas y tranquilas, otras a menudo ven las situaciones a las que se enfrentan como amenazantes, lo que las hace estar preocupadas y tensas continuamente.
Este tipo de "ansiedad-rasgo" tiene consecuencias importantes en la vida social de una persona, ya que mina su confianza para competir por una posición social. En nuestro mundo competitivo, los individuos ansiosos tienen una desventaja y tienden a sentirse ignorados y rechazados. Esto puede situarlos en un estado que los psicólogos denominan "subordinación social".
Ahora, en un estudio realizado por neurocientíficos de la Escuela Politécnica de Lausana (EPFL), en Suiza, se ha logrado identificar un área del cerebro relacionada con la motivación y la depresión que además podría estar vinculada a esa ansiedad-rasgo que propicia la subordinación social. Los resultados del trabajo han aparecido publicados en la revista PNAS.
Un círculo vicioso
Tanto los animales como los seres humanos establecemos rangos sociales a través de la competencia, que a su vez determina la jerarquía dentro de grupos sociales. La capacidad de competir depende de diferentes características individuales, como el tamaño, la edad o la experiencia social previa.
Algunas investigaciones han mostrado que la competencia social también se ve influenciada por rasgos de la personalidad, pero este punto no ha sido explorado en profundidad por ahora.
Aún así, los científicos sociales y los psicólogos sospechan que cuando los individuos presentan altos niveles de ansiedad como característica de su personalidad, pueden estar predispuestos a un mal desempeño en la competencia social, lo que los atrapa en un círculo vicioso (su ansiedad-rasgo reduce su competencia social y esto alimenta la ansiedad, y así indefinidamente). Sin embargo, de momento se sabe muy poco acerca de la neurociencia que subyace a este círculo, y que podría ser la clave para romperlo.
Este tipo de "ansiedad-rasgo" tiene consecuencias importantes en la vida social de una persona, ya que mina su confianza para competir por una posición social. En nuestro mundo competitivo, los individuos ansiosos tienen una desventaja y tienden a sentirse ignorados y rechazados. Esto puede situarlos en un estado que los psicólogos denominan "subordinación social".
Ahora, en un estudio realizado por neurocientíficos de la Escuela Politécnica de Lausana (EPFL), en Suiza, se ha logrado identificar un área del cerebro relacionada con la motivación y la depresión que además podría estar vinculada a esa ansiedad-rasgo que propicia la subordinación social. Los resultados del trabajo han aparecido publicados en la revista PNAS.
Un círculo vicioso
Tanto los animales como los seres humanos establecemos rangos sociales a través de la competencia, que a su vez determina la jerarquía dentro de grupos sociales. La capacidad de competir depende de diferentes características individuales, como el tamaño, la edad o la experiencia social previa.
Algunas investigaciones han mostrado que la competencia social también se ve influenciada por rasgos de la personalidad, pero este punto no ha sido explorado en profundidad por ahora.
Aún así, los científicos sociales y los psicólogos sospechan que cuando los individuos presentan altos niveles de ansiedad como característica de su personalidad, pueden estar predispuestos a un mal desempeño en la competencia social, lo que los atrapa en un círculo vicioso (su ansiedad-rasgo reduce su competencia social y esto alimenta la ansiedad, y así indefinidamente). Sin embargo, de momento se sabe muy poco acerca de la neurociencia que subyace a este círculo, y que podría ser la clave para romperlo.
Las ratas como fuente de revelación
El laboratorio de Carmen Sandi en la EPFL ha aportado ahora evidencias biológicas en este sentido. Sandi y su equipo han realizado una serie de experimentos para identificar las áreas del cerebro involucradas en la ansiedad-rasgo y en la competencia social.
En los experimentos se categorizó a una serie de ratas en un espectro de ansiedad-rasgo (de ratas de ansiedad baja a ratas de alta ansiedad). Estos animales fueron además sometidos a varias pruebas de comportamiento, en las que las ratas de ansiedad alta debían competir socialmente con ratas con anisedad baja. El rendimiento de los animales se cuantificó y fue analizado estadísticamente. Por otra parte, los investigadores examinaron los cerebros de las ratas para identificar cambios en su función biológica.
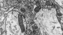
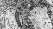
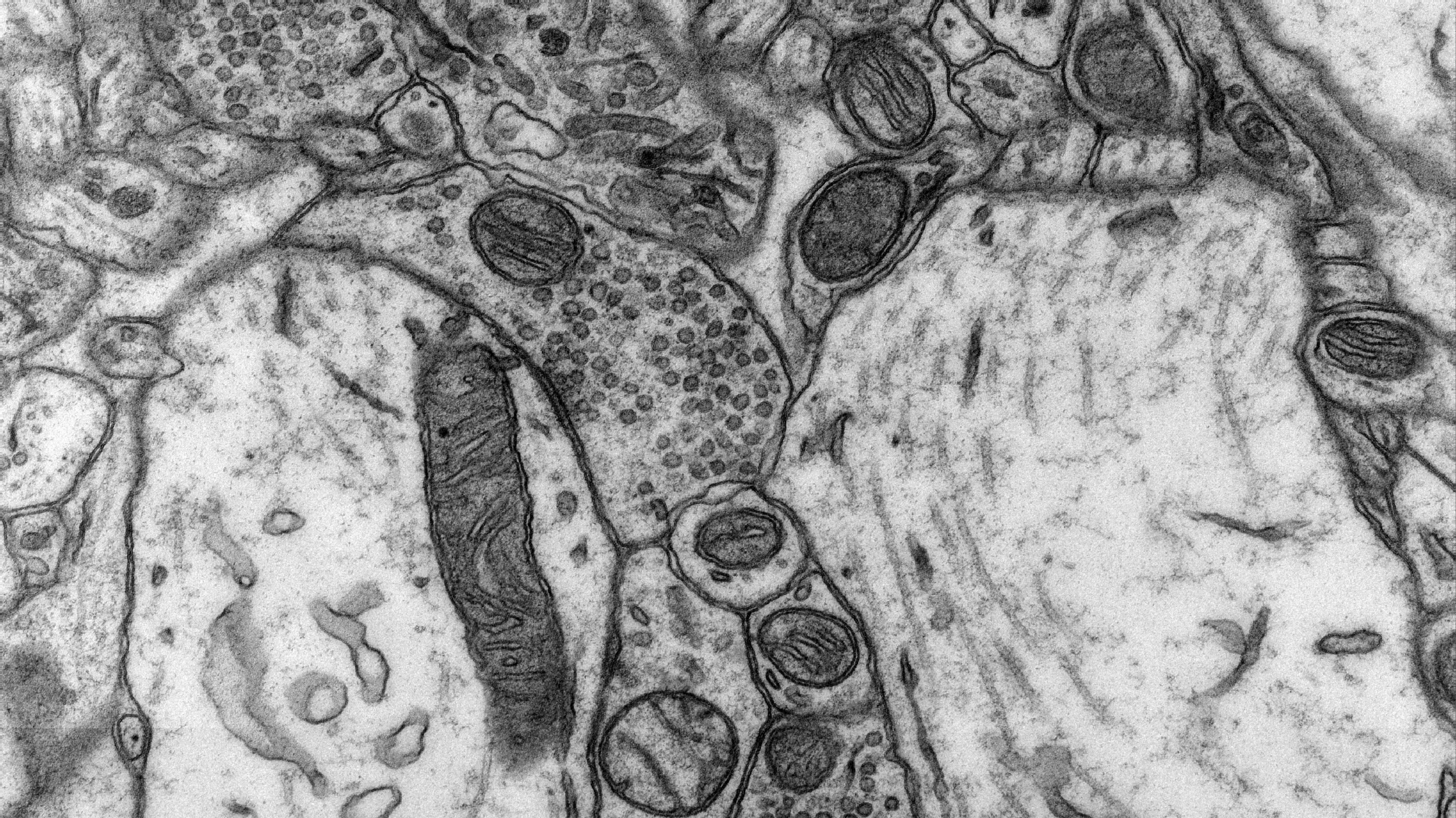
Los experimentos pusieron de relieve el papel en estos procesos de un área del cerebro conocida como núcleo accumbens, durante mucho tiempo asociada a la motivación, la recompensa y la depresión (en seres humanos también). En las ratas con alta ansiedad, que al competir socialmente alcanzaron un estatus social más bajo en el grupo, esta región cerebral mostró un metabolismo energético reducido.
Este hecho implica que las mitocondrias -orgánulos celulares que se encargan de la respiración y la producción de energía de la célula- presentaban una funcionalidad más baja en las ratas ansiosas que en las ratas más relajadas.
¿Revertir la situación social con medicamentos?
Los científicos confirmaron sus hallazgos con manipulación farmacológica: proporcionaron al núcleo accumbens de las ratas medicamentos que bloqueaban o mejoraban la función de las mitocondrias. Uno de estos medicamentos fue una forma de vitamina de B3 común ( la niacina).
Cuando las ratas recibieron agentes de bloqueo, su competitividad social decayó, y en consecuencia también su condición social. Por el contrario, cuando a las ratas con alta ansiedad se les suministraron potenciadores de la función mitocondrial, estas se desempeñaron significativamente mejor en sociedad, alcanzando con ello un mayor estatus social.
Sin embargo, los efectos de estos tratamientos no fueron permanentes: cuando los fármacos se retiraban, las ratas volvían a su estatus social original. Aún así, el estudio confirma que la ansiedad-rasgo puede predisponer a un estatus social inferior y sugiere que la manipulación farmacológica de las mitocondrias en el núcleo accumbens potencialmente podría influir en el rango social de una persona. El estudio también es el primero en relacionar el metabolismo energético del cerebro con en el establecimiento de las jerarquías sociales.
Carmen Sandi mantiene la cautela, ya que en el estudio participaron ratas y no personas y porque, después de todo, la función del cerebro es sólo uno de los muchos elementos que influyen en la dinámica social. "Las interacciones sociales son inmensamente complejas," dice la investigadora.
El laboratorio de Carmen Sandi en la EPFL ha aportado ahora evidencias biológicas en este sentido. Sandi y su equipo han realizado una serie de experimentos para identificar las áreas del cerebro involucradas en la ansiedad-rasgo y en la competencia social.
En los experimentos se categorizó a una serie de ratas en un espectro de ansiedad-rasgo (de ratas de ansiedad baja a ratas de alta ansiedad). Estos animales fueron además sometidos a varias pruebas de comportamiento, en las que las ratas de ansiedad alta debían competir socialmente con ratas con anisedad baja. El rendimiento de los animales se cuantificó y fue analizado estadísticamente. Por otra parte, los investigadores examinaron los cerebros de las ratas para identificar cambios en su función biológica.
Los experimentos pusieron de relieve el papel en estos procesos de un área del cerebro conocida como núcleo accumbens, durante mucho tiempo asociada a la motivación, la recompensa y la depresión (en seres humanos también). En las ratas con alta ansiedad, que al competir socialmente alcanzaron un estatus social más bajo en el grupo, esta región cerebral mostró un metabolismo energético reducido.
Este hecho implica que las mitocondrias -orgánulos celulares que se encargan de la respiración y la producción de energía de la célula- presentaban una funcionalidad más baja en las ratas ansiosas que en las ratas más relajadas.
¿Revertir la situación social con medicamentos?
Los científicos confirmaron sus hallazgos con manipulación farmacológica: proporcionaron al núcleo accumbens de las ratas medicamentos que bloqueaban o mejoraban la función de las mitocondrias. Uno de estos medicamentos fue una forma de vitamina de B3 común ( la niacina).
Cuando las ratas recibieron agentes de bloqueo, su competitividad social decayó, y en consecuencia también su condición social. Por el contrario, cuando a las ratas con alta ansiedad se les suministraron potenciadores de la función mitocondrial, estas se desempeñaron significativamente mejor en sociedad, alcanzando con ello un mayor estatus social.
Sin embargo, los efectos de estos tratamientos no fueron permanentes: cuando los fármacos se retiraban, las ratas volvían a su estatus social original. Aún así, el estudio confirma que la ansiedad-rasgo puede predisponer a un estatus social inferior y sugiere que la manipulación farmacológica de las mitocondrias en el núcleo accumbens potencialmente podría influir en el rango social de una persona. El estudio también es el primero en relacionar el metabolismo energético del cerebro con en el establecimiento de las jerarquías sociales.
Carmen Sandi mantiene la cautela, ya que en el estudio participaron ratas y no personas y porque, después de todo, la función del cerebro es sólo uno de los muchos elementos que influyen en la dinámica social. "Las interacciones sociales son inmensamente complejas," dice la investigadora.
Referencia bibliográfica:
Hollis F, van der Kooij MA, Zanoletti O, Lozano L, Cantó C, Sandi C. Mitochondrial function in the brain links anxiety with social subordination. PNAS (2015). DOI: 10.1073/pnas.1512653112.
Hollis F, van der Kooij MA, Zanoletti O, Lozano L, Cantó C, Sandi C. Mitochondrial function in the brain links anxiety with social subordination. PNAS (2015). DOI: 10.1073/pnas.1512653112.

Tendencias Científicas


La selva amazónica no era virgen cuando fue colonizada
CIENCIA ON LINE