Tendencias 21

   




SALUD

Descubren cómo prestar atención mejora nuestras capacidades cognitivas - 25/01/2017

Cuando intensificamos nuestra atención aumentamos nuestra capacidad mental y nuestra memoria. ¿Por qué? Un estudio ha revelado que es porque dicha atención hace que se genere una señal química específica a través de todo el cerebro. El hallazgo de esta señal y la comprensión de su funcionamiento podría ayudar a diseñar mejores tratamientos para trastornos como el Alzheimer y la esquizofrenia, e incluso para mejorar la memoria de personas sanas.
(+)

El efecto placebo mejora la vida de los operados del corazón - 23/01/2017

El efecto placebo mejora la vida de los operados del corazón, ha comprobado un estudio. Los pacientes que recibieron apoyo psicológico para elevar sus expectativas sobre la recuperación mejoraron su estado de salud hasta seis meses después de la cirugía. Esta terapia complementaria mejora también el bienestar psicológico de los pacientes.
(+)

Los cinturones negro de kárate combaten mejor el envejecimiento - 23/01/2017

Practicar kárate de forma continuada mejora la precisión incluso cuando esta empieza a deteriorarse por el envejecimiento. Así lo destaca una investigación de la Universidad Complutense de Madrid que ha medido la velocidad de anticipación de 275 de personas, karatecas y no karatecas.
(+)

Confirman la relación entre el estrés prolongado en el trabajo y el cáncer - 18/01/2017

Una investigación realizada en Canadá ha comprobado la relación directa entre el estrés prolongado en el trabajo y determinados tipos de cáncer. Bomberos, ingenieros industriales y aeroespaciales, capataces, mecánicos del automóvil y de equipos ferroviarios, son las profesiones más peligrosas. Cáncer de pulmón, colon, recto, estómago y Linfoma no hodgkiniano (cáncer que surge en los linfocitos), son los más frecuentes.
(+)

Los alimentos picantes podrían prolongar la vida - 16/01/2017

Un estudio del Larner College of Medicine de la Universidad de Vermont (EEUU) ha revelado que el consumo de chiles rojos picantes está asociado con una reducción del 13% en la mortalidad total, principalmente en las muertes debidas a enfermedades del corazón o a accidentes cerebrovasculares.
(+)

Descubren cómo borrar las cicatrices y las arrugas de la piel - 12/01/2017

Los científicos han descubierto la forma de hacer desaparecer las cicatrices que dejan las heridas en la piel. Lo han conseguido convirtiendo las células típicas de la piel cicatrizada en células adiposas normales, sin huellas de las heridas. La técnica es aplicable también a las arrugas que marcan la edad en las personas mayores.
(+)

El cerebro influye en los infartos - 12/01/2017

Un estudio ha revelado por qué el estrés puede propiciar los trastornos cardiovasculares. La clave está en la amígdala, una región cerebral que se activa cuando estamos estresados y que influye en la inflamación de las arterias.
(+)

Confirman la relación entre el consumo de alcohol y el cáncer de próstata - 10/01/2017

Una nueva investigación confirma la relación directa entre el consumo de alcohol y el riesgo de contraer cáncer de próstata. Beber dos vasos de alcohol por día aumenta el riesgo un 8 por ciento, 6 vasos diarios un 14 por ciento y más de 6 vasos al día un 18 por ciento. Otro estudio detecta que la agresividad del cáncer de próstata está descendiendo en USA.
(+)

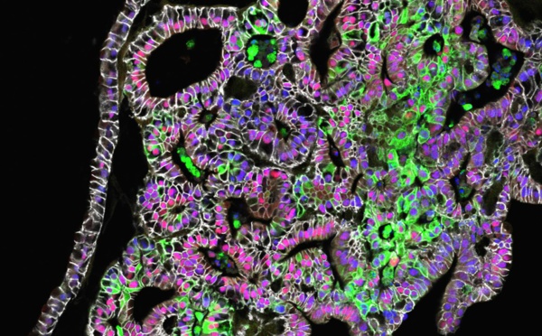
Recrean en laboratorio una parte del estómago - 09/01/2017

Científicos norteamericanos han recreado en laboratorio la parte del estómago encargada de producir los ácidos y las enzimas necesarias para la digestión. De esta forma pueden estudiar mejor el funcionamiento de esta parte del estómago, ver en directo cuándo enferma y cómo se cura, y descubrir así nuevos enfoques para tratar enfermedades.
(+)
1 ... « 12 13 14 15 16 17 18 » ... 114