Tendencias 21

   




TENDENCIAS CIENTÍFICAS

Parte del calentamiento global se acumula bajo la superficie de los océanos - 20/07/2015

Científicos de Estados Unidos han observado que parte del calor del calentamiento global se acumula en las aguas por debajo de la superficie de los océanos, lo que ha permitido en la última década que la temperatura de la superficie no se caliente tan rápido. Ese calor, sin embargo, empezará a moverse y acelerará el calentamiento.
(+)

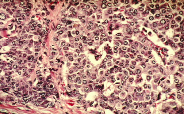
La doble cara de la autofagia, beneficiosa y perjudicial a la vez - 20/07/2015

La célula tiene la capacidad de capturar, degradar y reciclar proteínas, orgánulos y estructuras propias mediante un mecanismo biológico regulado genéticamente y denominado autofagia. Gracias a él, podemos evitar la acumulación en nuestro cuerpo de residuos celulares que nos resultarían tóxicos. Sin embargo, enfermedades como el cáncer pueden regular la autofagia en beneficio propio para sobrevivir y aumentar su crecimiento y agresividad.
(+)

Machos de viuda negra destruyen hogares por rivalidad sexual - 17/07/2015

Los machos de las arañas viuda negra destruyen grandes secciones de las telarañas de sus parejas sexuales una vez han copulado con éstas, un comportamiento cuya causa hasta ahora se desconocía. Un estudio reciente ha desvelado que el destrozo se debe al deseo de evitar que otros machos, atraídos por las feromonas presentes en dichas telarañas, se acerquen a las hembras ya fecundadas.
(+)

Las constantes fundamentales ayudarán a redefinir el metro o el kilo - 15/07/2015

Científicos de todo el mundo están midiendo con cada vez más precisión las constantes fundamentales de la naturaleza, para conseguir en 2018 definir las unidades de medida, como el metro o el kilo, a partir de ellas, y así no depender de objetos físicos situados en un lugar concreto.
(+)

Encuentran un cúmulo de volcanes submarinos cerca de Sidney - 14/07/2015

Científicos australianos, a bordo del busque 'Investigador', han descubierto volcanes submarinos de hace 50 millones de años en la costa de Sidney. Estaban a 4.900 metros de http://www.tendencias21.net/admin/list/all/page/profundidad, y los descubrieron mientras buscaban zonas de cría de langostas larvales, y cartografiaban el fondo marino.
(+)

Matemáticas para detectar los puntos fuertes de las redes complejas - 14/07/2015

Un investigador de EE.UU. ha desarrollado un sistema matemático que puede deducir fácilmente qué partes de una red, por ejemplo de transporte aéreo, son más resistentes a una caída del sistema. Podría usarse para mejorar la capacidad de recuperación de este tipo de sistemas complejos, o para frenar la propagación de enfermedades.
(+)

Descubiertas nuevas partículas de cinco quarks en un experimento del LHC - 14/07/2015

El experimento LHCb del Gran Colisionador de Hadrones (LHC) informa hoy del descubrimiento de una nueva clase de partículas conocidas como "pentaquarks". La colaboración internacional, en la que participan investigadores de la Universidad de Barcelona (UB), la Universidad Ramón Llull (URL), la Universidad de Santiago de Compostela (USC) y el Instituto de Física Corpuscular (IFIC, CSIC-UV), ha enviado un artículo informando de este hallazgo a 'Physical Review Letters'.
(+)

Las bacterias pueden convertir fluidos normales en superfluidos - 14/07/2015

Un estudio de un equipo de investigación de la Universidad de París-Sur, la Universidad Pierre y Marie Curie, y la Universidad Paris-Diderot, ha demostrado que se pueden transformar fluidos corrientes en superfluidos, gracias a la acción de bacterias como la E. Coli. El proceso funciona sin que sea necesario hacer uso de temperaturas cercanas al cero absoluto ni de elementos concretos.
(+)

Confirmado: Las emociones negativas impulsan el consumo de alimentos dulces - 14/07/2015

Los individuos que sienten emociones negativas tienden a tener más antojo de dulce que aquellos que disfrutan de un estado de ánimo positivo, ha revelado un estudio de la Universidad Cornell (EEUU). El efecto de las emociones sobre la alimentación ya había sido constatado por una investigación previa, que demostró que, si nos sentimos solos, preferimos comer “comidas sencillas”.
(+)

Es posible (y aprovechable) que algo esté en dos lugares a la vez - 14/07/2015

¿Es posible que algo esté en dos lugares a la vez? Según la física cuántica, sí. De hecho, esto pasa en los sistemas biológicos a nivel cuántico o subatómico, una característica que hace posible procesos como la fotosíntesis o el olfato. Ahora, investigadores del proyecto PAPETS de la UE aspiran a imitar estos procesos de manera artificial, para aplicarlos a la mejora de dispositivos como las celdas solares o los sistemas de detección de olores.
(+)
1 ... « 132 133 134 135 136 137 138 » ... 328