La autofagia es un mecanismo biológico de degradación celular que previene la acumulación de productos tóxicos celulares y los puede transformar en material nutritivo necesario para el mantenimiento del organismo en situaciones de ayuno.
Al ser, además, una ruta implicada en la degradación de proteínas y orgánulos, puede ser de vital importancia en la patogenia de algunas enfermedades. Así, una alteración o trastorno en el proceso de autofagia se asocia con enfermedades como cáncer, neurodegeneración, infección y envejecimiento. Es decir, se comporta como un sensor de lesión celular.
En los últimos años, la comunidad científica ha venido debatiendo el doble papel que juega la autofagia en nuestro cuerpo, beneficioso frente a perjudicial. ¿Cómo puede ser que algo tan imprescindible para el buen funcionamiento de nuestro organismo pueda volverse en nuestra contra? Esta es una de las paradojas que envuelven al ser humano.
The Journal of Clinical Investigation ha publicado recientemente un trabajo en el que se estudia todo este proceso fisiológico y las posibles implicaciones que pueden tener en el cáncer, desgraciadamente, tan habitual en nuestro entorno. Así, como el gran esfuerzo que se está realizando para determinar si la inhibición de la autofagia podría mejorar el tratamiento frente a esta enfermedad.
¿Para qué nos comemos a nosotros mismos?
Los seres humanos somos organismos complejos constituidos por una gran cantidad de células. Estas células no viven indefinidamente, sino que tienen un tiempo limitado de vida y la vida media depende de cada tipo celular. Por tanto, a medida que pasa el tiempo nuestras células van muriendo y renovándose a la vez.
En nuestro día a día, en el cuerpo se generan una serie de productos de deshecho que si no son eliminados pueden resultar tóxicos para nosotros mismos. Imaginemos por un momento qué ocurriría si no eliminásemos toda la basura generada en nuestras casas a lo largo de nuestra vida. Pues bien, esto es un poco lo que ocurriría en el interior de nuestro cuerpo. Nosotros eliminamos la basura que generamos vertiéndola en los contenedores, pero, ¿cómo la eliminamos de nuestro propio cuerpo?
Para llevar a cabo la eliminación de todos estos productos, la propia célula dispara un mecanismo biológico denominado autofagia que significa comerse a sí mismo. Algo realmente impactante y que se realiza de forma rutinaria en nuestro organismo, increíble, ¿no?
Inicialmente, la célula realiza este proceso como un mecanismo de supervivencia para luchar y enfrentarse a situaciones adversas para el organismo, como puede ser una infección provocada por la invasión de microorganismos, desarrollo de enfermedades y falta de nutrientes (ayuno), entre otros. Así, por ejemplo, en el período de ayuno entre comidas, la autofagia se activa en el hígado para mantener sus funciones metabólicas.
Al ser, además, una ruta implicada en la degradación de proteínas y orgánulos, puede ser de vital importancia en la patogenia de algunas enfermedades. Así, una alteración o trastorno en el proceso de autofagia se asocia con enfermedades como cáncer, neurodegeneración, infección y envejecimiento. Es decir, se comporta como un sensor de lesión celular.
En los últimos años, la comunidad científica ha venido debatiendo el doble papel que juega la autofagia en nuestro cuerpo, beneficioso frente a perjudicial. ¿Cómo puede ser que algo tan imprescindible para el buen funcionamiento de nuestro organismo pueda volverse en nuestra contra? Esta es una de las paradojas que envuelven al ser humano.
The Journal of Clinical Investigation ha publicado recientemente un trabajo en el que se estudia todo este proceso fisiológico y las posibles implicaciones que pueden tener en el cáncer, desgraciadamente, tan habitual en nuestro entorno. Así, como el gran esfuerzo que se está realizando para determinar si la inhibición de la autofagia podría mejorar el tratamiento frente a esta enfermedad.
¿Para qué nos comemos a nosotros mismos?
Los seres humanos somos organismos complejos constituidos por una gran cantidad de células. Estas células no viven indefinidamente, sino que tienen un tiempo limitado de vida y la vida media depende de cada tipo celular. Por tanto, a medida que pasa el tiempo nuestras células van muriendo y renovándose a la vez.
En nuestro día a día, en el cuerpo se generan una serie de productos de deshecho que si no son eliminados pueden resultar tóxicos para nosotros mismos. Imaginemos por un momento qué ocurriría si no eliminásemos toda la basura generada en nuestras casas a lo largo de nuestra vida. Pues bien, esto es un poco lo que ocurriría en el interior de nuestro cuerpo. Nosotros eliminamos la basura que generamos vertiéndola en los contenedores, pero, ¿cómo la eliminamos de nuestro propio cuerpo?
Para llevar a cabo la eliminación de todos estos productos, la propia célula dispara un mecanismo biológico denominado autofagia que significa comerse a sí mismo. Algo realmente impactante y que se realiza de forma rutinaria en nuestro organismo, increíble, ¿no?
Inicialmente, la célula realiza este proceso como un mecanismo de supervivencia para luchar y enfrentarse a situaciones adversas para el organismo, como puede ser una infección provocada por la invasión de microorganismos, desarrollo de enfermedades y falta de nutrientes (ayuno), entre otros. Así, por ejemplo, en el período de ayuno entre comidas, la autofagia se activa en el hígado para mantener sus funciones metabólicas.
El proceso de autofagia
¿Cómo se desarrolla este impactante fenómeno bioquímico? Describamos el proceso de forma general. Cuando la célula detecta componentes propios deteriorados o aberrantes, lo que hace es aislarlos en unos compartimentos (lisosomas) donde actúan una serie de enzimas que provocan su degradación.
Este mecanismo de supervivencia no sólo se limita a eliminar orgánulos y proteínas inservibles y/o viejas sino que también recicla los productos resultantes de este proceso degradativo. Es decir, los emplea para proporcionar aminoácidos, ácidos grasos y energía como futuros nutrientes en situaciones de ayuno o cuando el organismo necesite un aporte energético mayor sin tener que emplear nutrientes procedentes del exterior.
Por todo ello, las bases moleculares de la autofagia han permitido enclavarla como un mecanismo de doble funcionalidad, por un lado, como mecanismo de supervivencia celular y por otro, como un mecanismo de muerte celular. Esto la ha relacionado con procesos patológicos tan alarmantes como el cáncer.
Autofagia y cáncer
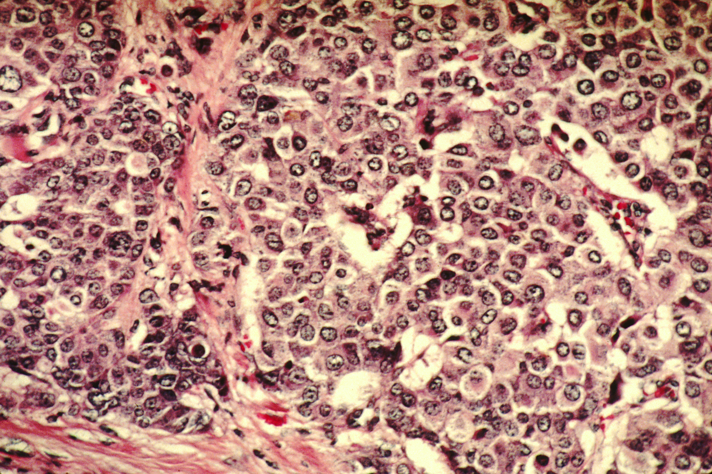
La autofagia es un proceso metabólico crucial tanto en condiciones fisiológicas como patológicas. De hecho, en diversas enfermedades se han detectado deficiencias en dicho proceso. El cáncer es una de ellas. Las investigaciones realizadas sobre esta enfermedad han desencadenado una gran cantidad de conocimientos, no sólo de la enfermedad como tal, sino también de los mecanismos biológicos que la acompañan y favorecen su existencia.
Uno de estos es, precisamente, la autofagia. Si la célula detecta que existe algo que no funciona de forma correcta se autodestruye antes de seguir haciendo daño al organismo. Sin embargo, la cura del cáncer todavía es complicada, lo que indica que no todo está tan claro. Tal y como se expone en el artículo al que nos referimos, existen evidencias que demuestran que este mecanismo biológico tiene una doble cara.
Por un lado, desempeña un papel totalmente beneficioso para nuestra salud como protector frente a enfermedades. Para ello, actúa como un servicio de limpieza, contrarresta la inestabilidad del genoma y exceso de factores de crecimiento, así como, captura orgánulos dañados e induce a la iniciación de la muerte celular. Sin embargo, existe la otra cara y es que la autofagia también puede contribuir a la supervivencia del tumor, protegiendo a las células tumorales ante condiciones adversas.
Las células cancerígenas tienen una serie de necesidades que son deficientes en el microambiente en el que se reproducen. Esto cambia cuando hay problemas de salud incrementándose, así, las posibilidades de crecimiento de tales células. Ello es debido a que, a nivel tumoral, el proceso de autofagia aporta nutrientes a las células cancerígenas y regula el proceso inflamatorio inducido por necrosis.
Por todo esto, merece la pena explorar estos mecanismos ya que pueden revelar nuevos conocimientos sobre medios para regular el crecimiento del cáncer, según expone la Dra. Eileen White
Autofagia y tratamientos tradicionales
Durante el desarrollo de tumores, las células cancerígenas muestran cierta resistencia a la muerte inducida por los agentes quimioterápicos a los que se someten los enfermos. Dicha resistencia a la quimio y radioterapia también se ha asociado a la autofagia.
En animales modelo con diversos tumores se ha visto que la inhibición de la autofagia tiene efectos sobre la mejora de la quimiosensibilidad y promueven la regresión del tumor. Por lo que la combinación entre inhibidores de la autofagia con fármacos tóxicos podría ser una alternativa para el tratamiento de cáncer avanzado o metastático, tal y como expone el Dr. Li-Xin Wei y colaboradores, recientemente en Cell & Bioscience.
Por tanto, es necesario saber cual es el mejor medio para inducir la inhibición terapéutica de la autofagia y determinar que tipo de pacientes enfermos de cáncer se beneficiarían más de este enfoque, tal y como muestra la Dra. Eileen. Ya que, la autofagia desempeña diferentes papeles en diferentes etapas de crecimiento y en diferentes tipos de tumores.
Otras enfermedades asociadas a la autofagia
Entender la participación de la autofagia en estos procesos puede abrir nuevas vías de intervención en múltiples enfermedades.
A medida que envejecemos la efectividad de la autofagia va disminuyendo. Por tanto, la eliminación y el reciclaje de los productos de deshecho que nuestro organismo continúa generando, es menos eficaz. Como consecuencia de esta deficiencia se induce la acumulación de proteínas anormales u orgánulos dañados, característicos de enfermedades como Alzheimer, Parkinson y esclerosis lateral amiotrófica (ELA), entre otras.
En este ámbito, se están realizando estudios en los que se ha inducido la autofagia a través de fármacos. Y se ha visto que existe protección celular frente a los efectos tóxicos provocados por las proteínas anormales, protegiendo así, a las neuronas de la muerte celular inducida por la propia célula.
¿Cómo se desarrolla este impactante fenómeno bioquímico? Describamos el proceso de forma general. Cuando la célula detecta componentes propios deteriorados o aberrantes, lo que hace es aislarlos en unos compartimentos (lisosomas) donde actúan una serie de enzimas que provocan su degradación.
Este mecanismo de supervivencia no sólo se limita a eliminar orgánulos y proteínas inservibles y/o viejas sino que también recicla los productos resultantes de este proceso degradativo. Es decir, los emplea para proporcionar aminoácidos, ácidos grasos y energía como futuros nutrientes en situaciones de ayuno o cuando el organismo necesite un aporte energético mayor sin tener que emplear nutrientes procedentes del exterior.
Por todo ello, las bases moleculares de la autofagia han permitido enclavarla como un mecanismo de doble funcionalidad, por un lado, como mecanismo de supervivencia celular y por otro, como un mecanismo de muerte celular. Esto la ha relacionado con procesos patológicos tan alarmantes como el cáncer.
Autofagia y cáncer
La autofagia es un proceso metabólico crucial tanto en condiciones fisiológicas como patológicas. De hecho, en diversas enfermedades se han detectado deficiencias en dicho proceso. El cáncer es una de ellas. Las investigaciones realizadas sobre esta enfermedad han desencadenado una gran cantidad de conocimientos, no sólo de la enfermedad como tal, sino también de los mecanismos biológicos que la acompañan y favorecen su existencia.
Uno de estos es, precisamente, la autofagia. Si la célula detecta que existe algo que no funciona de forma correcta se autodestruye antes de seguir haciendo daño al organismo. Sin embargo, la cura del cáncer todavía es complicada, lo que indica que no todo está tan claro. Tal y como se expone en el artículo al que nos referimos, existen evidencias que demuestran que este mecanismo biológico tiene una doble cara.
Por un lado, desempeña un papel totalmente beneficioso para nuestra salud como protector frente a enfermedades. Para ello, actúa como un servicio de limpieza, contrarresta la inestabilidad del genoma y exceso de factores de crecimiento, así como, captura orgánulos dañados e induce a la iniciación de la muerte celular. Sin embargo, existe la otra cara y es que la autofagia también puede contribuir a la supervivencia del tumor, protegiendo a las células tumorales ante condiciones adversas.
Las células cancerígenas tienen una serie de necesidades que son deficientes en el microambiente en el que se reproducen. Esto cambia cuando hay problemas de salud incrementándose, así, las posibilidades de crecimiento de tales células. Ello es debido a que, a nivel tumoral, el proceso de autofagia aporta nutrientes a las células cancerígenas y regula el proceso inflamatorio inducido por necrosis.
Por todo esto, merece la pena explorar estos mecanismos ya que pueden revelar nuevos conocimientos sobre medios para regular el crecimiento del cáncer, según expone la Dra. Eileen White
Autofagia y tratamientos tradicionales
Durante el desarrollo de tumores, las células cancerígenas muestran cierta resistencia a la muerte inducida por los agentes quimioterápicos a los que se someten los enfermos. Dicha resistencia a la quimio y radioterapia también se ha asociado a la autofagia.
En animales modelo con diversos tumores se ha visto que la inhibición de la autofagia tiene efectos sobre la mejora de la quimiosensibilidad y promueven la regresión del tumor. Por lo que la combinación entre inhibidores de la autofagia con fármacos tóxicos podría ser una alternativa para el tratamiento de cáncer avanzado o metastático, tal y como expone el Dr. Li-Xin Wei y colaboradores, recientemente en Cell & Bioscience.
Por tanto, es necesario saber cual es el mejor medio para inducir la inhibición terapéutica de la autofagia y determinar que tipo de pacientes enfermos de cáncer se beneficiarían más de este enfoque, tal y como muestra la Dra. Eileen. Ya que, la autofagia desempeña diferentes papeles en diferentes etapas de crecimiento y en diferentes tipos de tumores.
Otras enfermedades asociadas a la autofagia
Entender la participación de la autofagia en estos procesos puede abrir nuevas vías de intervención en múltiples enfermedades.
A medida que envejecemos la efectividad de la autofagia va disminuyendo. Por tanto, la eliminación y el reciclaje de los productos de deshecho que nuestro organismo continúa generando, es menos eficaz. Como consecuencia de esta deficiencia se induce la acumulación de proteínas anormales u orgánulos dañados, característicos de enfermedades como Alzheimer, Parkinson y esclerosis lateral amiotrófica (ELA), entre otras.
En este ámbito, se están realizando estudios en los que se ha inducido la autofagia a través de fármacos. Y se ha visto que existe protección celular frente a los efectos tóxicos provocados por las proteínas anormales, protegiendo así, a las neuronas de la muerte celular inducida por la propia célula.
Referencias bibliográficas:
White E. The role for autophagy in cancer. The Journal of Clinical Investigation (2015). DOI: 10.1172/JCI73941.
Yang y col. The role of autophagy induced by tumor microenvironment in different cells and stages of cancer. Cell & Bioscience (2105). DOI 10.1186/s13578-015-0005-2.
White E. The role for autophagy in cancer. The Journal of Clinical Investigation (2015). DOI: 10.1172/JCI73941.
Yang y col. The role of autophagy induced by tumor microenvironment in different cells and stages of cancer. Cell & Bioscience (2105). DOI 10.1186/s13578-015-0005-2.

Tendencias Científicas


Los electrones abren un nuevo mundo a la física cuántica
CIENCIA ON LINE