Tendencias 21

   




TENDENCIAS CIENTÍFICAS

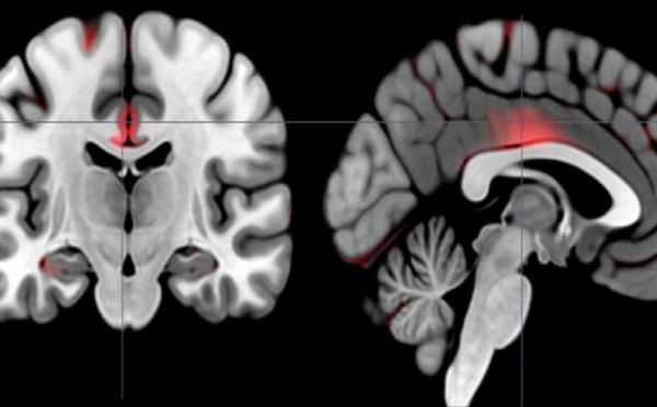
Primera prueba neurofisiológica del origen de la creatividad - 05/03/2015

Según una investigación de la Universidad Northwestern, en EEUU, la creatividad tiene un origen neurofisiológico: una capacidad cerebral reducida para filtrar estímulos sensoriales irrelevantes. En otras palabras, “para aislarse del mundo y concentrarse”. La buena noticia es que, bien dirigida, esta condición “puede hacer la vida más rica y significativa”, aseguran los autores del estudio.
(+)

Un caso de evolución humana actual: personas a las que el arsénico no envenena - 04/03/2015

El genoma de los pobladores de aldeas argentinas de los Andes ha evolucionado para metabolizar más rápido y eficientemente el arsénico, ha revelado un estudio. En concreto, estas personas cuentan con un conjunto de variantes de un gen del cromosoma 10 que los protege de la toxicidad de este veneno. Según los autores de la investigación, este grupo humano constituye una prueba de evolución humana actual.
(+)

Los mamíferos son genéticamente más parecidos a sus padres que a sus madres - 03/03/2015

Un estudio de la Universidad de Carolina del Norte (EE.UU.) revela que aunque heredamos igual cantidad de mutaciones genéticas del padre y de la madre, 'usamos' más ADN del heredado del padre, es decir, que la expresión de los genes paternos es mayor. Por ello, estos genes influyen más en ciertas enfermedades.
(+)

Primera foto de la luz comportándose como onda y corpúsculo al mismo tiempo - 03/03/2015

La luz se comporta por igual como partícula y como onda. Desde la época de Einstein, los científicos han estado tratando de observar directamente estos dos aspectos de la luz al mismo tiempo. Ahora, científicos de la Escuela Politécnica Federal de Lausana (Suiza) han conseguido captar la primera instantánea de este comportamiento dual, mediante el uso de electrones.
(+)

El cerebro se orienta en el espacio, también cuando dormimos - 03/03/2015

Investigadores del NYU Langone Medical Center de Nueva York han descubierto que las células del cerebro que nos ayudan a orientarnos permanecen eléctricamente activas durante el sueño profundo, del mismo modo que durante la vigilia. De este modo, el cerebro genera una "copia de seguridad" de espacios y lugares. El hallazgo respalda además la teoría de que el cerebro no espera señales externas para procesarlas, sino que las busca.
(+)

Crean neuronas reguladoras del apetito a partir de células de la piel - 02/03/2015

Científicos de Nueva York han creado neuronas reguladoras del apetito a partir de células de piel humana transformadas previamente en células madre. Las neuronas del apetito naturales son inaccesibles porque se encuentran en el hipotálamo, y aunque las creadas ahora no son idénticas, servirán para estudiar la obesidad y otros procesos.
(+)

De mares de metano, como los de Titán, podrían surgir células - 02/03/2015

Un nuevo modelo de célula ‘extraterrestre’ sugiere que la aparición de vida en entornos no acuosos quizá no sea imposible. Creado por científicos de la Universidad de Cornell, en EEUU, el modelo muestra que en un contexto de mares de metano, como los de Titán, la luna de Saturno, podría surgir una estructura que funcionase como las membranas de las células de la Tierra.
(+)

El polvo del Sahara fertiliza el bosque amazónico - 27/02/2015

Científicos estadounidenses, con ayuda de un satélite de la NASA, han evaluado la cantidad de fósforo y otros nutrientes que viajan a través del Atlántico, a bordo de polvo procedente del Sahara, y con destino el bosque amazónico. Son unas 22 mil toneladas de fósforo al año, el 0,08% de los 27,7 millones de toneladas de polvo que viajan en total. Esta cantidad, sin embargo, es muy variable año a año, por efectos del clima.
(+)

Un cirujano italiano afirma que ya es posible transplantar cabezas humanas con éxito - 27/02/2015

Se han hecho varios intentos de trasplante de cabeza con animales, pero hasta ahora este procedimiento se ha contemplado como imposible en individuos de nuestra propia especie. Un cirujano del Grupo de Neuromodulación Avanzada de Turín (Italia) asegura sin embargo que ya se puede aplicar a humanos.
(+)

Hay dos tipos de cerebros 'extrovertidos' - 26/02/2015

Los dos tipos principales de personas extrovertidas tienen composiciones cerebrales diferentes, según un estudio realizado en EE.UU. Todos los extrovertidos tienen más materia gris en el córtex orbitofrontal medial, pero las personas 'afiliativas', que se conforman con compartir afecto con los demás, se diferencian de las 'dinámicas', que además buscan objetivos, en que las segundas tienen más materia gris también en otras zonas del cerebro. Así lo ha comprobado un estudio de la Universidad de Brown (EE.UU.).
(+)
1 ... « 149 150 151 152 153 154 155 » ... 328