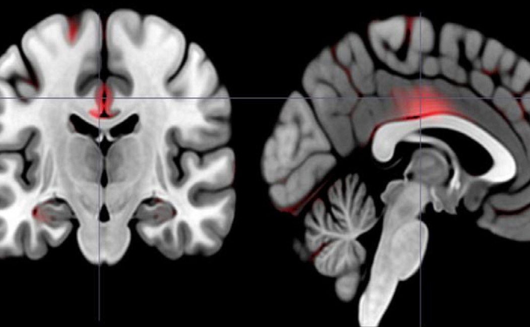
Las áreas marcadas en rojo reflejan mayores cantidades de materia gris en personas extrovertidas "dinámicas". Imagen: Laboratorio White. Fuente: Universidad de Brown.
Tanto la experiencia diaria como los estudios psicológicos nos dicen que hay dos tipos diferentes de extrovertidos: Los gregarios "relaciones públicas", que obtienen su recompensa en el intercambio de afecto con los demás y en el sentimiento de pertenencia, y los ambiciosos "buscavidas", que muestran esas sonrisas brillantes, de dientes blancos, en su búsqueda de objetivos y liderazgo.
Un nuevo estudio muestra que estas personalidades diferentes y sin embargo superpuestas, reflejan su huella de manera acordemente diferenciada y superpuesta en la anatomía del cerebro.
"Se trata de personas que comparten la forma en que tienden a experimentar el mundo y lo que es importante para ellos", explica Tara White, profesora ayudante de ciencias sociales y del comportamiento en la Escuela de Salud Pública de la Universidad de Brown (Providence, Richmond, EE.UU.) y autora del nuevo estudio, en la nota de prensa de la universidad. "El hecho de que eso esté validado en el cerebro es realmente emocionante. Hay una realidad profunda ahí debajo".
El artículo, publicado en Cognitive, Affective, and Behavioral Neuroscience, se basa en imágenes por resonancia magnética de 83 hombres y mujeres de edades entre los 18 y los 54 años. Es el primer estudio que demuestra las similitudes físicas y las diferencias en el cerebro de los distintos tipos de extrovertidos a lo largo de la edad adulta. Otro estudio había hecho tales observaciones sólo en personas mayores.
"Esta es la primera vez que observamos cómo es un cerebro sano de una persona con estas características", señala White, que trabaja en el Centro de Brown de Estudios sobre Adicciones y Alcohol. White estudia las bases neurales de la personalidad y la forma en que las diferencias de personalidad cambian la forma en que las personas responden a las drogas y el alcohol.
Extroversión en el interior
En este estudio, se examinó en primer lugar la salud física y mental de los participantes, y luego se les dieron tests de personalidad estándar para medir las puntuaciones de ambos tipos de extroversión (los psicólogos los distinguen entre "afiliativos" y "dinámicos").
Los sujetos se sometieron a resonancias magnéticas diseñadas para detectar el volumen de materia gris en diferentes regiones de su cerebro. Gracias a la literatura psicológica sobre la extroversión, White y Erica Grodin, estudiante de posgrado, sabían que querían mirar en regiones de interés, como la corteza orbitofrontal medial, que participa en la toma de decisiones basadas en la recompensa, pero también hicieron un análisis general de todo el cerebro usando una técnica llamada morfometría basada en voxel (VBM, por sus siglas en inglés).
Un nuevo estudio muestra que estas personalidades diferentes y sin embargo superpuestas, reflejan su huella de manera acordemente diferenciada y superpuesta en la anatomía del cerebro.
"Se trata de personas que comparten la forma en que tienden a experimentar el mundo y lo que es importante para ellos", explica Tara White, profesora ayudante de ciencias sociales y del comportamiento en la Escuela de Salud Pública de la Universidad de Brown (Providence, Richmond, EE.UU.) y autora del nuevo estudio, en la nota de prensa de la universidad. "El hecho de que eso esté validado en el cerebro es realmente emocionante. Hay una realidad profunda ahí debajo".
El artículo, publicado en Cognitive, Affective, and Behavioral Neuroscience, se basa en imágenes por resonancia magnética de 83 hombres y mujeres de edades entre los 18 y los 54 años. Es el primer estudio que demuestra las similitudes físicas y las diferencias en el cerebro de los distintos tipos de extrovertidos a lo largo de la edad adulta. Otro estudio había hecho tales observaciones sólo en personas mayores.
"Esta es la primera vez que observamos cómo es un cerebro sano de una persona con estas características", señala White, que trabaja en el Centro de Brown de Estudios sobre Adicciones y Alcohol. White estudia las bases neurales de la personalidad y la forma en que las diferencias de personalidad cambian la forma en que las personas responden a las drogas y el alcohol.
Extroversión en el interior
En este estudio, se examinó en primer lugar la salud física y mental de los participantes, y luego se les dieron tests de personalidad estándar para medir las puntuaciones de ambos tipos de extroversión (los psicólogos los distinguen entre "afiliativos" y "dinámicos").
Los sujetos se sometieron a resonancias magnéticas diseñadas para detectar el volumen de materia gris en diferentes regiones de su cerebro. Gracias a la literatura psicológica sobre la extroversión, White y Erica Grodin, estudiante de posgrado, sabían que querían mirar en regiones de interés, como la corteza orbitofrontal medial, que participa en la toma de decisiones basadas en la recompensa, pero también hicieron un análisis general de todo el cerebro usando una técnica llamada morfometría basada en voxel (VBM, por sus siglas en inglés).
Como era de esperar, encontraron que un mayor grado de uno u otro tipo de extroversión se correlacionaba significativamente con un mayor volumen de materia gris en el lado derecho y el izquierdo de la corteza orbitofrontal medial, incluso después de controlar por posibles factores de confusión como la edad.
Diferencias
Pero entre las personas con mayores puntuaciones en extroversión dinámica, también encontraron varias otras regiones que tenían volúmenes de materia gris significativamente mayores: el giro parahipocampal (que participa en el aprendizaje y la memoria de recompensa); la circunvolución precentral, el giro cingulado y el caudado (que participan en el control cognitivo de la conducta y la iniciación, planificación y ejecución de movimientos voluntarios hacia objetivos); y, entre los hombres del estudio, el núcleo accumbens (implicado en la recompensa por incentivos).
Así, mientras que los dos tipos de personas extrovertidas tenían mayores volúmenes en una región clave del cerebro, los extrovertidos dinámicos tenían también mayores volúmenes en varias otras áreas. White y Grodin encontraron muchas de esas otras áreas a través del análisis VBM de todo el cerebro.
Los autores advierten de que el estudio sólo muestra una asociación, no si la causa son los volúmenes o si son los rasgos de la personalidad. Tampoco explica cuando se desarrollan esos mayores volúmenes -es decir, si las personas nacen con ellos o los adquieren. Con más investigación, nuevos datos podrían ayudar a los científicos a comprender mejor los cambios en la emotividad a través del tiempo.
"Los resultados proporcionan un punto de referencia para comprender mejor la etiología de los problemas relacionados con la extroversión dinámica y la extroversión afiliativa, como los que ocurren en el envejecimiento normal y en la enfermedad neurodegenerativa", explican Grodin y White.
Diferencias
Pero entre las personas con mayores puntuaciones en extroversión dinámica, también encontraron varias otras regiones que tenían volúmenes de materia gris significativamente mayores: el giro parahipocampal (que participa en el aprendizaje y la memoria de recompensa); la circunvolución precentral, el giro cingulado y el caudado (que participan en el control cognitivo de la conducta y la iniciación, planificación y ejecución de movimientos voluntarios hacia objetivos); y, entre los hombres del estudio, el núcleo accumbens (implicado en la recompensa por incentivos).
Así, mientras que los dos tipos de personas extrovertidas tenían mayores volúmenes en una región clave del cerebro, los extrovertidos dinámicos tenían también mayores volúmenes en varias otras áreas. White y Grodin encontraron muchas de esas otras áreas a través del análisis VBM de todo el cerebro.
Los autores advierten de que el estudio sólo muestra una asociación, no si la causa son los volúmenes o si son los rasgos de la personalidad. Tampoco explica cuando se desarrollan esos mayores volúmenes -es decir, si las personas nacen con ellos o los adquieren. Con más investigación, nuevos datos podrían ayudar a los científicos a comprender mejor los cambios en la emotividad a través del tiempo.
"Los resultados proporcionan un punto de referencia para comprender mejor la etiología de los problemas relacionados con la extroversión dinámica y la extroversión afiliativa, como los que ocurren en el envejecimiento normal y en la enfermedad neurodegenerativa", explican Grodin y White.
Referencia bibliográfica:
Erica N. Grodin, Tara L. White: The neuroanatomical delineation of agentic and affiliative extraversion. Cognitive, Affective, & Behavioral Neuroscience (2015). DOI: 10.3758/s13415-014-0331-6
Erica N. Grodin, Tara L. White: The neuroanatomical delineation of agentic and affiliative extraversion. Cognitive, Affective, & Behavioral Neuroscience (2015). DOI: 10.3758/s13415-014-0331-6

Tendencias Científicas

Los electrones abren un nuevo mundo a la física cuántica
CIENCIA ON LINE