|
Breves21
Prótesis faciales con ingeniería 28/09/2015Un investigador de la Universidad Autónoma de San Luis Potosí (UASLP, México) trabaja desde hace siete años en un proyecto que busca ofrecer una solución de ingeniería a las personas con deformidades faciales. Hasta el momento, ha fabricado e implantado una prótesis de oreja, y trabaja en prototipos de nariz, ojos, labios y fragmentos de mejilla. El doctor en ingeniería mecánica Hugo Iván Medellín Castillo, coordinador de Investigación de la Facultad de Ingeniería de la UASLP, explica que adaptan su metodología, "comúnmente aplicada al área de ingeniería mecánica, al área médica, y el proceso no implica mucho cambio, pues incluye tecnologías tridimensionales de escaneo, sistemas de impresión, software y modelado, así como manufactura rápida e ingeniería inversa (útil para obtener información o un diseño a partir de una estructura)”. El ingeniero explica que el procedimiento inicia con un escaneo tridimensional de la zona donde se requiere el implante; a partir del mismo se hace una reconstrucción anatómica con la forma y las dimensiones exactas y luego se procede al diseño con un software de diseño conocido como CAD. “Este punto es muy importante porque hay prótesis faciales comerciales que se manufacturan en medidas estándar y no se adaptan a todos los pacientes”. Una vez que el diseño está validado, se fabrica un prototipo mediante impresión tridimensional con el objetivo de probar si se adapta bien a la persona. El siguiente paso es la manufactura final de la prótesis en silicona, se pigmenta con colorantes especiales en el tono de piel del paciente y se pega con adhesivo de grado médico. Más información AlphaGalileo
El reloj circadiano de las plantas tiene una estructura similar a la de ciertas neuronas 28/09/2015Un estudio internacional liderado por el Consejo Superior de Investigaciones Científicas (CSIC) ha descubierto que el ápice caulinar, la yema a partir de la que crece el tallo principal de la planta modelo Arabidopsis thaliana, funciona como un director de orquesta que sincroniza los ritmos circadianos en las raíces. Estos resultados, publicados en la revista Cell, muestran una estructura jerárquica del reloj circadiano de las plantas similar a la que las neuronas encargadas del ritmo circadiano en los mamíferos (las situadas en el núcleo supraquiasmático). “A pesar de no tener cerebro, los relojes de las células del tejido del ápice se comunican entre sí y forman una red circadiana con una notable sincronía en los ritmos de las células que la componen. Esto es algo que no ocurre en otros órganos de la planta”, explica la investigadora del CSIC Paloma Mas, del Centre de Recerca Agrigenomica. Los resultados apuntan a que, en analogía con las neuronas del núcleo supraquiasmático del cerebro de los mamíferos, los relojes celulares de ápicel en las plantas pueden generar ritmos autónomos que se reajustan rápidamente frente a los cambios medioambientales y son capaces de modular el ritmo circadiano en partes distantes de la planta, como las raíces. El equipo de investigadores ha abordado este trabajo mediante diversas técnicas. “Mediante micro injertos hemos observado que ápices de plantas rítmicas injertados en plantas arrítmicas restauraban el ritmo en las raíces de estas últimas. Mediante micro disección por láser hemos podido examinar ritmos circadianos en plantas ‘decapitadas’, sin ápices. Además, hemos incorporado un enfoque matemático pionero que es capaz de predecir el grado de comunicación entre las células del reloj”, concluye Mas. Más información CSIC
El LHC podría producir microagujeros negros cuánticos, dice la próxima directora del CERN 25/09/2015El gran colisionador de hadrones del CERN (Ginebra, Suiza) no va a generar ningún agujero negro como los del espacio, pero sí podría formar microagujeros negros cuánticos que revelarían la existencia de nuevas dimensiones en nuestro universo, sin representar ningún peligro para la Tierra. Así lo señaló ayer la próxima directora general del CERN, Fabiola Gianotti, en la Fundación BBVA, en Madrid. Gianotti subrayó que ningún acelerador de la Tierra puede alcanzar la energía, intensidad y los procesos catastróficos asociados a los agujeros negros del espacio, un tema que todavía inquieta a algunos internautas. Sin embargo, “sí es posible que pudieran aparecer microagujeros negros cuánticos, pero totalmente inocuos e inocentes, algo que no representaría ningún peligro para nuestro planeta”. Al contrario, “sería muy importante desde el punto de vista científico, porque indicarían que nuestro mundo tiene más dimensiones espaciales que las tres que conocemos”. Descubrir la existencia de dimensiones extra sería un nuevo hito en el conocimiento del universo. Algunas teorías físicas, como la de cuerdas, predicen la existencia de estas nuevas dimensiones, que también podrían ayudar a comprender mejor la misteriosa gravedad. La física italiana lideraba en 2012 el experimento ATLAS del LHC cuando se anunció la detección del bosón de Higgs. Algunos de los objetivos en la nueva etapa o Run 2 del gran colisionador de hadrones (que desde este año opera a 13 TeV, el doble de energía que en su fase anterior) es descubrir la composición de la enigmática materia oscura, así como el origen de la asimetría que existe entre materia y antimateria. Gianotti será la primera mujer que dirigirá el CERN, en el que entre el 20 y el 25% de los científicos ya son mujeres. Además, la futura directora destacó “la contribución fundamental” de España y los científicos españoles a esta institución, algo en lo que coincidió su director del Departamento de Tecnología, José Miguel Jiménez, que recordó la presencia de más de 100 empresas españolas en el CERN. Más información Sinc
Las confusiones se aclaran igual en todos los idiomas 25/09/2015Un equipo de científicos del Instituto Max Planck de Psicolingüística de Nijmegen (Países Bajos) ha descubierto que los mecanismos que utilizan las personas para aclarar las confusiones en las conversaciones son los mismos en todo el mundo. La investigación, que ha ganado uno de los premios Ig Nobel (que homenajean a las publicaciones científicas más llamativas), señala que la gente resuelve malentendidos en la comunicación una vez cada 90 segundos en todos los idiomas. Los científicos analizaron grabaciones de vídeo de conversaciones en doce idiomas diferentes de los cinco continentes. Los idiomas eran inglés, mandarín y ruso, el cha'paa de Ecuador, el siwu de Ghana y la lengua de señas argentina. Todos difieren profundamente entre sí en fonética y gramática. La comparación mostró que se utiliza el mismo sistema básico para ambigüedades lingüísticas y su reparación. En principio, el sistema consiste en que las personas piden una aclaración de lo que se acaba de decir. En general, los investigadores identificaron tres estrategias de "reparación" que se aplican con regularidad. La primera, la "pregunta abierta", que se expresa a menudo con un simple "¿eh?". Señala un problema profundo en la comprensión y requiere el mayor esfuerzo para la aclaración: una repetición completa de lo que se dijo. En la segunda estrategia, se preguntan cuestiones concretas como "¿Quién?" y "¿Dónde?" para aclarar ciertas piezas de información o descubrir más detalles. La tercera opción es que el oyente repita lo que se acaba de decir o lo repita con sus propias palabras, pidiendo confirmación. La última estrategia requiere la menor cantidad de esfuerzo de aclaración, a lo sumo, un simple "sí". También llama la atención que la mayoría de la gente usa este sistema de "reparación" de forma altruista, optando mayoritariamente por una estrategia que minimice el esfuerzo requerido por el hablante para resolver la interrupción (la tercera). Esto revela la naturaleza profundamente social del uso del lenguaje humano, señala la nota del Instituto. No se conoce ninguna otra especie que interrumpa la conversación para comprobar que está entendiéndola. Los científicos esperan que sus hallazgos contribuyan a hacer que los ordenadores se comporten más "humanamente" en el futuro si no logran entender las instrucciones habladas. El equipo de investigación cree que otras aplicaciones posibles para su estudio podrían estar en la enseñanza o la cooperación intercultural. Más información Teclin
La inversión española en I+D desciende hasta los niveles de 2003 24/09/2015 Cotec
Castilla y León participa en la Noche de los Investigadores de mañana 24/09/2015Mañana viernes se celebra la Décima Noche de los Investigadores, una iniciativa de la Unión Europea para divulgar la ciencia y la investigación a través de actividades educativas. El evento tiene lugar desde 2005 el cuarto viernes de septiembre. En España lo coordina la Universidad de Gerona bajo el lema Científic@s para un futuro mejor, y en él participarán universidades, centros de investigación y museos de catorce ciudades, que ofrecerán la posibilidad de conocer y hablar con investigadores, además de participar activamente en actividades científicas dirigidas a diferentes públicos. El Museo de la Ciencia de Valladolid organizará, de 16 a 23 horas, diversas actividades gratuitas que se diferenciarán en dos bloques en función del tipo de acceso a las mismas. Por un lado, previa recogida de tickets, los visitantes podrán realizar los talleres Con los pies el suelo, Con H de agua, Peque-inventores: fabrica tu propia brújula; asistir a los espectáculos La química a escena y ¿Te atreves con las matemáticas?; y disfrutar del programa de Planetario en directo El cielo del día. El Auditorio del Museo acogerá el espectáculo The Big Van Theory: monólogos científicos, un show, recomendado a partir de 14 años, cuyo objetivo es acercar la ciencia al público general, mostrando los avances más recientes en ciencia de una forma divertida y comprensible. Por otro lado, el público podrá disfrutar de visitas guiadas a las exposiciones El Ingenio de Castilla y León y Érase una vez… la informática. Del ábaco a la smart city en viñetas y más; participar en los experimentos Luces de otros mundos, que tendrán lugar en el pabellón de cristal del Museo; y descubrir el Rincón europeo: Valladolid Investiga, un espacio que reúne una selección de proyectos de investigación con financiación europea de la Universidad de Valladolid y empresas privadas. Además, el cuerpo de bomberos de la ciudad llevará a cabo en la Plaza Sur del Museo un simulacro de rescate en accidente de tráfico, una actividad realizada con motivo de los 500 años de este servicio. La Junta de Castilla y León también organiza la Noche de los Investigadores en el complejo PRAE, que acogerá diversos talleres dirigidos por investigadores sobre cocina solar, viaje al interior de las rocas, fotografía con móvil, los colores de la luz y el arco iris químico, modelado y decoración del barro, la singularidad de los paisajes geológicos, observación astronómica con telescopios, construcción de cohetes y muchos más. Con la misma filosofía y, simultáneamente, se organiza la Noche Europea de los Investigadores en tres casas del parque : Casa del Parque de Sierra de Gredos “Pinos Cimeros” (Ávila), Casa del Parque de Babia y Luna (León) y Casa del Águila Imperial en Pedraza (Segovia). En todas ellas se desarrollarán talleres, concurso de dibujo, experimentos y encuentros con científicos. Más información DICyT
Visión Geopolítica, nueva sección de Tendencias21TV 23/09/2015Tendencias21TV inicia hoy una nueva sección dedicada a los temas geopolíticos de mayor actualidad y que está conducida por el analista y conferenciante Pedro Baños. La nueva sección ofrece una visión holística, ecléctica y librepensadora de los diferentes temas, con la finalidad de que cada persona pueda formarse una opinión fundamentada de los conflictos y realidades de nuestro tiempo. El primer coloquio de esta nueva sección, disponible ya en Tendencias21TV, está dedicado a Egipto y participan Carlos Echeverría, doctor en Ciencias Políticas por la Universidad Complutense de Madrid y actual profesor de Relaciones Internacionales de la UNED, y Emilio Sánchez de Rojas, coronel del Ejército de Tierra y agregado de defensa en El Cairo entre 2005 y 2008. Los expertos analizan el contexto actual de este país y las implicaciones geopolíticas que sus “mutaciones” conllevan en el resto del mundo, no sólo para África u Oriente Medio, sino también para Europa. Al coloquio sobre Egipto seguirán otros sobre temas de mayor interés y siempre con la participación de cualificados expertos en sus respectivas áreas. La nueva sección se desarrolla con la colaboración de H4DM, una asesoría especializada en Análisis y Estrategia orientada al apoyo de la alta dirección de organizaciones públicas y privadas. Redacción T21
La UPM celebra la Feria de Ingeniería y Arquitectura 'El Aprendiz de Ingeniero' 23/09/2015La Universidad Politécnica de Madrid (UPM) celebra desde hoy y hasta el sábado la Segunda Feria de Ingeniería y Arquitectura. El Aprendiz de Ingeniero. Cerca de 3.300 estudiantes de más de 40 colegios madrileños y zona de influencia visitarán la Feria, que pretende fomentar el interés de los estudiantes de Secundaria hacia los estudios de carácter tecnológico como una opción de futuro. Los estudiantes, informa la UPM en un comunicado, tendrán la oportunidad de experimentar directamente en más de setenta talleres y actividades prácticas relacionadas con las áreas de Ingeniería y Arquitectura de la UPM: Agroforestal; Civil, Arquitectura y Edificación; Industria y TIC; actividades relacionadas con las Ciencias de la Actividad Física y del Deporte y con el Diseño de Moda, como una muestra de la formación que adquirirán en la Universidad. Estarán coordinados y dirigidos por profesores e investigadores de la Universidad. Colaborarán en tareas de apoyo y orientación 300 estudiantes voluntarios de la UPM. “En los últimos 15 años han descendido las vocaciones en las ingenierías en Europa y Norteamérica, pero en cambio están subiendo en China, India y otras economías emergentes”, precisó el presidente de la Real Academia de Ingeniería, Elías Fereres, en la presentación de la feria. “La realidad es que Europa necesitará el doble de graduados en ciencias, ingenierías técnicas y matemáticas en los próximos 20 años, por lo que si no los genera los tendrá que importar de otros países como India o China”, resaltó. Más información IIE/UPM
Las embarazadas varían la genética del embrión, sea o no suyo el óvulo 23/09/2015Investigadores de la Fundación del Instituto Valenciano de Infertilidad (de titularidad privada) han demostrado la comunicación entre gestante y embrión, suficiente para modificar el genoma del futuro bebé. Con este trabajo, los autores han confirmado la conocida como hipótesis Barker. Formulada por el epidemiólogo inglés David Barker en 1990, afirma que “lo que sucede en el útero materno es más importante que lo que sucede tras el nacimiento”. El hallazgo sostiene que la madre puede variar la información genética del hijo, incluso si el óvulo es de una donante o si se recurre a un vientre de alquiler (gestante subrogada). Además, este estudio alerta a aquellas personas que optan por un vientre de alquiler (en los países en los que está legalmente permitido) sobre la importancia de la madre de sustitución y el papel que desempeña en dicho vínculo con el embrión. “Este hallazgo muestra un intercambio entre endometrio y embrión, algo que ya sospechábamos por la coincidencia de algunos rasgos físicos entre madres e hijos de ovodonación, así como por la incidencia de enfermedades en los niños relacionados con patologías maternas durante la gestación, como obesidad o tabaquismo”, señala el investigador Felipe Vilella. La transmisión de moléculas entre gestante y embrión se produce antes de que este se implante en el endometrio. Esto es así porque cuando se produce la fecundación, el embrión tarda unos cinco días en trasladarse desde las trompas de Falopio hasta la cavidad uterina. Una vez allí, la implantación no se produce hasta las siguientes 24 a 36 horas, momento en que se adhiere al endometrio. Durante ese tiempo es cuando la gestante secreta su líquido endometrial con información genética que es tomada por el embrión, modificando así su desarrollo. Esta información no es otra que microARNs que se internalizan al embrión y lo modifican transcripcionalmente, lo que hace que se expresen proteínas que favorecen su implantación. “Es como si la madre le dijera al embrión "mi endometrio está listo”, explica Villela. “Esta comunicación puede provocar que en el embrión se expresen o se inhiban funciones específicas, como muestra la transmisión de diversas enfermedades”, afirman los autores. Más información SINC
Un antiinflamatorio para la artritis revierte los síntomas de la demencia en ratones 22/09/2015Un equipo del Instituto Gladstone (San Francisco, EE UU) ha descubierto que el salsalato, un medicamento antiinflamatorio utilizado para tratar la artritis reumatoide, es capaz de revertir disfunciones relacionadas con la proteína tau en ratones a los que se indujo demencia frontotemporal (DFT). Según el estudio, publicado en la revista Nature Medicine, el salsalato previene la acumulación de tau en el cerebro y lo protege contra deficiencias cognitivas similares a las presentes en la enfermedad de Alzheimer o la DFT. Mediante la administración de este fármaco, los expertos lograron disminuir los niveles de la proteína tau –cuya modificación está implicada en la formación de estructuras aberrantes en el cerebro–, lo que se tradujo en una reducción en las deficiencias de la memoria. Además, observaron que protege contra la atrofia del hipocampo, una región del cerebro esencial para la formación de la memoria que se ve afectada por la demencia. Según Li Gan, coautor del estudio e investigador del Instituto, “los efectos protectores del salsalate se lograron incluso cuando fue administrado después de que la enfermedad comenzase". Más información SINC
Salamanca acoge unas jornadas sobre juventud e investigación en Europa 21/09/2015Las II Jornadas Europeas La recuperación de Europa: juventud e investigadores, que se celebran en la Universidad de Salamanca desde el miércoles y hasta el viernes, ofrecerán una visión de la situación de la investigación científica en el continente y de su relevancia para el futuro. El Instituto de Investigaciones Científicas y Ecológicas de la Universidad, con la financación del Ministerio de Asuntos Exteriores, pretende transmitir la complejidad que supone el desarrollo de la ciencia y, en particular, de la carrera investigadora para los jóvenes, que requiere de la implicación de la sociedad en su conjunto. En su segunda edición, este foro intenta ser un espacio de diálogo tanto para los ponentes como para los asistentes. El evento arrancará el miércoles 23 con una mesa redonda sobre La investigación en la Europa actual, en la que participarán Carlos Arteaga Cardineau, profesor de la Universidad Autónoma de Madrid; Marcus Heinrich Hermanns, del Instituto Arqueológico Alemán de Madrid; y el divulgador científico Andrés Lamas Seco. El jueves 24 tomarán la palabra los investigadores para ilustrar a través de diversas vivencias personales tanto las dificultades como las oportunidades que se encuentra hoy en día quien trata de iniciar una carrera investigadora o un proyecto innovador. Seguidamente, especialistas en la divulgación científica y tecnológica hablarán sobre el conocimiento que tiene la sociedad acerca de la investigación y el apoyo que ofrece a la ciencia. El viernes habrá una primera parte titulada La investigación en el horizonte de la sociedad: evolución y retos, que comenzará con una conferencia de Santiago López, profesor del Instituto de Estudios de la Ciencia y la Tecnología (eCyT) de la Universidad de Salamanca, para dar paso a una mesa de debate integrada por José Ignacio Fernández Vera, director general de la Fundación Española para la Ciencia y la Tecnología; Alicia Durán, profesora de investigación del CSIC; y Jorge Barrero Fonticoba, director general de la Fundación Cotec. Posteriormente, bajo el título La agenda política de la investigación: ¿Prioridad o sucedáneo?, Miguel Ángel Quintanilla, director del eCyT, ofrecerá una ponencia dentro de una sesión que finalizará con una conversación con Luis Sanz Menéndez, profesor de investigación del CSIC. Más información DICyT
Una capa de invisibilidad ultrafina que se adapta a cualquier objeto 18/09/2015Científicos del departamento de Energía de EE UU, del Lawrence Berkeley National Laboratory y de la Universidad de Berkerley California han creado una capa ultrafina que puede adaptarse a la forma de un objeto y ocultarlo mediante luz reflejada. Los detalles han sido descritos en Science. Utilizando nanoantenas de oro como si fueran ladrillos, los investigadores han construido un manto de apenas 80 nanómetros de espesor con el que se envuelve un objeto tridimensional del tamaño de unas pocas células biológicas, modelado de forma irregular con múltiples golpes y abolladuras. La superficie de la capa ha sido diseñada para desviar las ondas de luz reflejadas de manera que el objeto se vuelve invisible para la detección óptica cuando se activa el dispositivo. "Esta es la primera vez que un objeto 3D con forma arbitraria ha sido ocultado de la luz visible", señala Xiang Zhang, de Berkeley Lab. "Nuestra capa ultradelgada parece un abrigo. Es fácil de diseñar y poner en práctica, y es potencialmente escalable para ocultar objetos macroscópicos", agrega el investigador, uno de los autores del trabajo. La dispersión de la luz (ya sea visible, infrarroja, rayos X, etc.), a partir de su interacción con la materia, es lo que nos permite detectar y observar los objetos. Las normas que rigen estas interacciones en materiales naturales pueden eludirse en los metamateriales, ya que sus propiedades ópticas se derivan de su estructura física, en vez de su composición química. Durante los últimos diez años, Zhang y su equipo han estado desafiando los límites de cómo interactúa la luz con los metamateriales, logrando curvar la trayectoria de la luz y también doblarla hacia atrás para hacer objetos ópticamente indetectables. En el pasado, sus capas ópticas basadas en metamateriales eran voluminosas y difíciles de escalar. En el trabajo actual, cuando la luz roja golpea el objeto 3D, la luz reflejada por la superficie de la capa es idéntica a la luz reflejada por un espejo plano. Además, el manto se puede encender o apagar, simplemente cambiando la polarización de las nanoantenas, agregan. Esta técnica se podría aplicar en el futuro en tecnologías tales como microscopios ópticos de alta resolución y equipos ópticos ultrarrápidos, para ocultar el diseño detallado de los componentes microelectrónicos o con fines de cifrado de seguridad. En la macroescala, podrían ser usadas en pantallas 3D. Más información Sinc
El Congreso de Neurociencia debatirá sobre la experimentación con animales 17/09/2015El Comité sobre Experimentación Animal de la Sociedad Española de Neurociencia (SENC) organiza el próximo día 25 un debate sobre el uso de animales en investigación, en el marco del XVI Congreso Bienal de la SENC, que se celebrará del 23 al 25 en el Palacio de Congresos de Granada. La iniciativa ciudadana Stop Vivisection, presentada ante la Comisión Europea con cerca de un millón de firmas de personas de 26 países distintos, pretendía que se prohibiera el uso de animales en experimentación científica. Tras una audiencia pública el pasado 11 de mayo, esta iniciativa fue finalmente rechazada el 3 de junio por la Comisión Europea. A pesar de ello, algunos científicos se sienten preocupados por la repercusión que dicha iniciativa pudiera tener en la reputación social de su trabajo, y creen preciso explicar a la sociedad la "necesidad" del uso de los animales en investigación para el desarrollo clínico, de ahí la celebración de este debate. En él participarán José Luis Trejo, vicepresidente de la SENC, Marta Tafalla, profesora de Filosofía de la Universidad Autónoma de Barcelona y experta en ética de la naturaleza y los animales, y Francois Lachapelle, representante del Comité de Experimentación Animal de la Federación Europea de Sociedades de Neurociencia, entre otros. Más información SENC
Encuentran un antiguo poblado medieval en Pancorbo (Burgos) 17/09/2015El Grupo de Investigación en Patrimonio y Paisajes Culturales de la Universidad del País Vasco/Euskal Herriko Unibertsitatea (GIPYPAC) ha hallado un antiguo poblado medieval de gran interés arqueológico en Pancorbo (Burgos). El proyecto arqueológico, llevado a cabo en el estratégico desfiladero de Pancorbo a lo largo de los meses de agosto y septiembre del año 2015, ha tenido como objetivo identificar y poner en valor el castillo altomedieval de Santa Marta y el recinto fortificado situado a sus pies. El castillo está mencionado en las fuentes desde el siglo IX, en el contexto de los conflictos entre al-Andalus y el reino de Asturias, y ha sido un eje fundamental en la articulación territorial de la Castilla Condal. Sin embargo, el yacimiento medieval aún no había sido objeto de análisis arqueológico. De forma previa, en julio del año 2014, se había realizado una primera valoración arqueológica mediante el empleo de técnicas geofísicas en colaboración con el Hydro-Geophysics and NDT Modelling Unit de la Universidad de Oviedo. Gracias al empleo del georadar y la tomografía eléctrica fue posible detectar toda una serie de anomalías constructivas en el recinto fortificado medieval que ha sido indagado en las últimas semanas. Como resultado, se ha podido constatar la existencia, a los pies del mencionado castillo altomedieval, de un amplio poblado que ocupa una extensión superior a los 6.000 metros cuadrados englobados dentro de un recinto amurallado medieval. El barrio, que fue abandonado hace unos quinientos años, está formado por un amplio número de viviendas de los siglos XIII-XV que presentan un excelente estado de conservación. Esto permite analizar con gran detalle la vida cotidiana de la comunidad medieval. Las construcciones, que fueron realizadas con zócalos de piedra, alzados de tierra y cubierta de teja cocida, se han reconstruido una y otra vez en el mismo espacio, por lo que se ha constatado la existencia de potentes depósitos arqueológicos. En uno de los sectores de la excavación se han podido reconocer la existencia de siete viviendas superpuestas y reconstruidas siguiendo ciclos generacionales. También ha sido posible identificar un taller metalúrgico en el que se realizaban y reparaban herramientas de hierro, así como terrazas y otros espacios de uso doméstico. La excavación ha restituido asimismo un gran volumen de materiales arqueológicos. Entre ellos destaca el hallazgo de objetos de uso doméstico, de vestuario, de alimentación y de carácter paleoambiental que permitirán comprender con mayor detalle la historia de los pobladores de Pancorbo durante la Edad Media. También se ha realizado un primer estudio del castillo altomedieval de Pancorbo. Teniendo en cuenta el precario estado de conservación del monumento, ha sido necesario contar con el apoyo de escaladores para poder realizar el estudio de los restos arqueológicos. En el castillo se ha hallado una cisterna y los restos de un gran edificio medieval conservado de forma parcial. En el proyecto se han utilizado de forma experimental tecnologías avanzadas de documentación arqueológica y arquitectónica mediante el empleo de sensores aerotransportados en drones, que han permitido analizar con gran detalle los restos de este importante yacimiento arqueológico. En el marco del proyecto se han realizado varias actividades de divulgación y socialización patrimonial en colaboración con el Ayuntamiento de Pancorbo y la Asociación Cultural de Pancorbo. En definitiva, el descubrimiento de esta barriada asociada al castillo de Santa Marta abre nuevas perspectivas para el análisis arqueológico de las sociedades medievales del norte peninsular. Más información UPV/EHU
Sacan del olvido una técnica de hace 80 años para estudiar el cáncer en moscas 16/09/2015Un trabajo dirigido por el investigador Cayetano González, del Instituto de Investigación Biomédica (IRB Barcelona), publicado en Nature Protocols, describe un método de investigación con moscas Drosophila melanogaster con 80 años de historia que estuvo a punto de caer en el olvido. Dicha técnica permite trasplantar tejidos de larvas a moscas adultas para estudiar el crecimiento tumoral y otros procesos biológicos de interés biomédico como la regeneración de tejidos. En 2002, González, jefe del grupo de División Celular del IRB, se encontró con un problema técnico para estudiar el crecimiento tumoral en las moscas del vinagre. En Drosophila, los tumores malignos crecen sin límite y matan al individuo. La solución podía pasar por el trasplante de tumores, un ensayo habitual en la investigación del cáncer en mamíferos, incluido el cáncer humano, que consiste en trasplantar el tumor a ratón. Cabía esperar que entre la batería de técnicas desarrolladas para investigar con Drosophila, hubiera una para el trasplante de tejidos. “Y en efecto así era, pero los artículos metodológicos eran escasos e incompletos, con lo que reproducir la técnica en el laboratorio se hacía extremadamente complicado”, detalla González. La técnica, desarrollada hacia 1935, se usó extensamente en las décadas siguientes, cayendo en desuso y prácticamente desapareciendo a finales del siglo pasado. El profesor János Szabad, de la Universidad de Szeged (Hungría), era de los pocos científicos que seguían usándola e invitó a González a su laboratorio. A partir de entonces, González la ha aplicado para sus estudios con modelos de cáncer en moscas y su laboratorio ha acogido científicos de centros de Europa, Estados Unidos, India y Australia para aprenderla. El método consiste en disecar el tejido de interés, cargarlo en una micro aguja de cristal construida a tal efecto e inyectarlo en una mosca adulta. “En realidad es sencillo. No obstante, hay multitud de pequeños detalles, desde la construcción de la aguja hasta el cuidado de las moscas implantadas, que resultan fáciles de realizar cuando se aprenden de un experto pero muy difíciles de reproducir sin entrenamiento”, describe el profesor González. Más información IRB
Así se ve un eclipse parcial de Sol desde un satélite 16/09/2015El satélite de la Agencia Espacial Europea (ESA) Proba-2 observó tres eclipses parciales de Sol el pasado día 13 de septiembre. Desde la Tierra, el eclipse fue visible desde el sur de África, el Océano Índico y la Antártida. Durante un eclipse total, la Luna pasa por delante del Sol, desde el punto de vista de la Tierra, y su alineación y separación son tales que la Luna parece lo suficientemente grande como para bloquear totalmente la luz del Sol, que se encuentra mucho más distante. Sin embargo, hay ocasiones en las que la Luna sólo cubre parcialmente el disco solar, tal y como ocurrió la semana pasada. El satélite Proba-2 de la ESA, diseñado para estudiar el Sol, completa unas 14.5 órbitas a la Tierra cada día, lo que le permitió atravesar varias veces el cono de sombra proyectado por la Luna durante el eclipse. El pasado domingo, Proba-2 fue capaz de observar el eclipse parcial de Sol durante tres de sus órbitas, informa la ESA. Esta imagen fue tomada a las 06:32 GMT del 13 de septiembre durante uno de estos pases. Los tres de ellos, junto a un cuarto en el que se puede ver a la Luna muy cerca del disco solar, se pueden ver en el vídeo presentado. Las imágenes fueron tomadas por la cámara SWAP de Proba-2, diseñada para observar el disco solar en las longitudes de onda del ultravioleta extremo para permitir el estudio de la turbulenta superficie del Sol y los remolinos de su corona – que se pueden ver en un segundo plano en esta fotografía. ESA
Un videojuego para que los pacientes de ictus recuperen el equilibrio 15/09/2015Investigadores del Grupo de Telemática e Imagen de la Universidad de Valladolid han desarrollado un juego basado en el sensor Kinect cuyo fin último es la realización de ejercicios de equilibrio destinados a la rehabilitación de pacientes que han sufrido un ictus. El proyecto, denominado EPIK (Estimulación para Promover la Independencia mediante Kinect), obtuvo el accésit para entidades de interés social en la pasada edición del concurso Desafío Universidad-Empresa de la Junta de Castilla y León. Ha sido diseñado en colaboración con fisioterapeutas. Sensores como Kinect no son intrusivos (no requieren la utilización de un traje especial sensorizado por parte del paciente) y están al alcance de cualquier usuario por su bajo coste. El sistema se muestra a los pacientes como un videojuego 3D, que se basa en la imitación de siluetas. El usuario se sitúa frente al sensor, que reconoce sus movimientos, y en un televisor observa las distintas posturas que tiene que adoptar. “En el juego aparece la silueta de una persona en una determinada postura. Esta silueta cada vez se acerca más y el usuario tiene que colocarse de la misma forma hasta que encaje en la silueta. Se trata de buscar inestabilidades para trabajar el equilibrio del usuario y para ello se puede además incluir elementos externos que se utilizan en la rehabilitación tradicional como cintas, fitballs (una esfera de goma de gran tamaño) o bosus (media esfera)”, apunta el investigador. Según el investigador Mario Martínez, el uso de este tipo de juegos (denominados juegos serios) tiene un aspecto más allá del lúdico, ya que sirven para implicar y motivar al paciente en su rehabilitación y a su vez permiten recoger información válida para el terapeuta. Por otra parte, la herramienta ha sido diseñada para que el terapeuta pueda planificar rápidamente una sesión personalizada de ejercicios sin la necesidad de contar con demasiados conocimientos de informática. El primer prototipo ha sido probado durante 14 semanas con fisioterapeutas y pacientes reales. Si se consigue mayor financiación se podrá hacer más dinámico y a distancia (telerehabilitación). Incluso, en el futuro el juego podría adaptarse a otro tipo de pacientes ya que se trata de un sistema “flexible”. Más información UVa
León acoge las I Jornadas de Investigación en Ciberseguridad 14/09/2015Intercambiar experiencias y trabajos con el fin de mejorar la investigación en el ámbito de la ciberseguridad a nivel nacional, es la principal premisa sobre la que se asientan las I Jornadas Nacionales de Investigación en Ciberseguridad organizadas por la Universidad de León con el apoyo del Instituto Nacional de Ciberseguridad, desde hoy y hasta el miércoles. Los diversos actores que trabajan en el ámbito de la investigación en ciberseguridad -universidades, centros tecnológicos, empresas, y entes gubernamentales- podrán intercambiar sus estudios e investigaciones en las jornadas, que se desarrollarán en el ámbito de cinco áreas fundamentales, que van desde la investigación en ciberseguridad, la educación e innovación en esta materia, la investigación e innovación en la industria de la cibereguridad, la propuesta de talleres y el planteamiento de retos que debatir y desarrollar de forma conjunta. Los participantes han enviado a lo largo del verano los trabajos que presentarán en el foro, en el que se han establecido cinco premios: Mejor artículo Científico, Mejor artículo en Educación e Innovación, Mejor artículo Industrial, Mejor artículo de Estudiante y Mejor Reto Propuesto. Los ganadores de las diferentes categorías, recibirán como premio una invitación para la presentación de su artículo o reto, de forma presencial, en CyberCamp 2015, que se celebrará en noviembre. Las Jornadas se enmarcan en las propuestas de la Red de Excelencia en I+D+i en Ciberseguridad, que pretende conseguir que la investigación que se realiza en las universidades esté alineada con la necesidad de las empresas y la sociedad. De ahí que no sólo se trate de promover un Plan Nacional de Investigación en Ciberseguridad, sino que se impulsa la conexión entre el mundo empresarial y el académico. Una iniciativa que –según los organizadores- pretende tener también una incidencia clara en el surgimiento de start ups y la generación de riqueza. Más información ULE
El orgullo de lo que somos nos disciplina 11/09/2015Un estudio dirigido por la Universidad de Cincinnati (Ohio, EE.UU.) ha comprobado que cuando la gente se enorgullece de un logro y lo atribuye a haber sido disciplinada y responsable, hay más probabilidades de que sigan tomando decisiones disciplinadas a lo largo del día. Pero cuando consideran que es una meta que tenían antes de sentirse orgullosos -una meta como comer sano, hacer ejercicio o ahorrar dinero- son más propensos a pensar que han hecho un buen progreso hacia su meta, y por lo tanto a disfrutar de una recompensa que se sale de la disciplina. Como explica el investigador Anthony Salerno, "cuando el orgullo nos centra en lo que somos, somos más disciplinados. Cuando el orgullo nos centra en lo que hemos hecho, nos damos más margen para darnos un gusto". Los hallazgos, dicen los investigadores, pueden ayudar a investigar la epidemia de obesidad o la creciente deuda de tarjetas de crédito de los estadounidenses. Más información Universidad de Cincinnati/T21
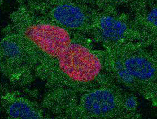
Descubren un mecanismo del sistema inmune que protege de tumores asociados a inflamación crónica 10/09/2015Investigadores del Centro Nacional de Investigaciones Cardiovasculares (CNIC) han descubierto un mecanismo de protección contra el desarrollo de cánceres asociados a procesos inflamatorios crónicos, según un estudio publicado en la revista EMBO Molecular Medicine. El equipo dirigido por Almudena R. Ramiro ha identificado un mecanismo por el cual el sistema inmune es capaz de reconocer células epiteliales que acumulan mutaciones y daño en el ADN, impidiendo la aparición de tumores. La proteína AID es fundamental para el desarrollo de una respuesta inmune adecuada, ya que su función permite la producción de anticuerpos, capaces de reconocer, virtualmente, cualquier patógeno con el que el cuerpo entre en contacto. La actividad de esta proteína se basa en la introducción de mutaciones en los genes de las inmunoglobulinas en linfocitos B, que codifican para las moléculas de anticuerpos. Aunque existen numerosos sistemas que controlan que la actividad de AID se lleve a cabo de forma correcta, se sabe que si fallan pueden aparecer linfomas. Además, algunas evidencias apuntan a que un mal funcionamiento de esta proteína podría estar implicada en el desarrollo de tumores epiteliales como consecuencia de procesos inflamatorios crónicos. Estos indicios llevaron a los autores de este estudio a investigar a fondo la contribución de esta proteína al desarrollo de carcinomas en modelos generados en el laboratorio. Los autores revelan que la presencia de AID en células epiteliales da lugar a la aparición de células pre-tumorales, con una alta tasa proliferativa y que acumulan mutaciones, pero esto lo que produce es una activación de una respuesta inmune del organismo contra el daño en el ADN, principalmente a través de otro tipo de linfocitos, los linfocitos T citotóxicos, que destruyen las células pre-tumorales. De esta manera, el sistema inmune es capaz de detectar e impedir que las células que presentan alteraciones en su ADN se expandan, evitando así que puedan generar un tumor. Más información CNIC
|
|
||||||
|
|||||||

Tendencias Científicas













CIENCIA ON LINE