Tendencias 21

   




TENDENCIAS CIENTÍFICAS

Los bebés aprenden con pitidos si se les enseña que son para comunicarse - 03/11/2015

Un estudio con bebés de 6 meses ha demostrado que si se les enseña que los pitidos son una forma de comunicarse, pueden aprender categorías de objetos con un lenguaje hecho de pitidos. Es decir, si ven a una persona hablar normal, y a otra responderle con pitidos, asocian éstos con el lenguaje, y a partir de ahí los utilizan para aprender. El hallazgo demuestra que son flexibles a la hora de entender el lenguaje, como los adultos.
(+)

Un algoritmo podría automatizar la interpretación de textos mayas - 03/11/2015

Un algoritmo desarrollado en Suiza podría automatizar la interpretación de textos mayas, de los que aún se desconoce el 15% de los símbolos. El objetivo es crear una base de datos en línea para arquéologos y epigrafistas. Además, investigadores de EE.UU. han descubierto nuevas costumbres de los mayas a partir de huesos de animales.
(+)

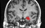
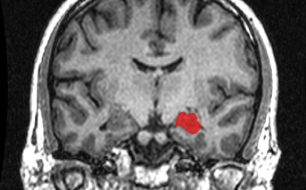
El hipocampo de hombres y mujeres es igual de grande - 02/11/2015

Una investigación realizada en EE.UU. mediante resonancia magnética desmiente la creencia generalizada de que el hipocampo, una parte crucial del cerebro que consolida nuevos recuerdos y ayuda a conectar las emociones con los sentidos, es mayor en las mujeres que en los hombres.
(+)

Describen un nuevo género y especie a partir de un esqueleto encontrado en Cataluña - 30/10/2015

Investigadores del Instituto Catalán de Paleontología Miquel Crusafont han descrito el nuevo género y especie 'Pliobates cataloniae', a partir de un esqueleto procedente del vertedero de Can Mata (Barcelona). Los restos corresponden a una hembra adulta a la que han llamado Laia. Tiene 11,6 millones de años y e importantes implicaciones para reconstruir el último ancestro común de homínidos e hilobátidos (gibones).
(+)

Los movimientos de cabeza bastan para comunicar emociones - 29/10/2015

Los movimientos de la cabeza tienen un papel importante en la transmisión de emociones, según un estudio realizado en Canadá. De hecho, son suficientes en la mayoría de los casos, sin necesidad de oír a la persona ni ver sus expresiones faciales.
(+)

Resuelto el rompecabezas neuronal del aprendizaje - 29/10/2015

Hace más de un siglo, Pavlov descubrió que los perros alimentados después de oír una campana con el tiempo comenzaban a salivar al oír ese mismo sonido. Un equipo de investigación ha descubierto ahora un aspecto clave de por qué ocurre esto a nivel neuronal. El año pasado, otras dos investigaciones revelaron también información sobre los procesos cerebrales que nos permiten aprender.
(+)

Aprender a navegar espacialmente produce cambios en el cerebro - 28/10/2015

Científicos de Estados Unidos han demostrado que el aprendizaje para navegar espacialmente produce cambios en el cerebro, en especial en el hipocampo. Ya se sabía, por ejemplo, que los taxistas de Londres, tenían un alargamiento en esta región, pero no se sabía cuál era la causa y cuál la consecuencia.
(+)

Crean un rayo tractor sónico que levanta pequeños objetos - 28/10/2015

Un equipo de investigadores de la Universidad Pública de Navarra y de Gran Bretaña ha construido el primer rayo tractor sónico del mundo que puede levantar y mover objetos mediante ondas sonoras de gran amplitud, que generan campos acústicos con forma de pinzas, tornados o botellas.
(+)

Los entornos viscosos aumentan el 'ruido' de los procesos celulares - 27/10/2015

Científicos de Países Bajos han descubierto que a más viscosidad en el entorno de una célula, mayor es el 'ruido', las variaciones aleatorias de los procesos celulares. En entornos viscosos, de los cuales son un ejemplo las células vivas, la movilidad de las macromoléculas desciende, por lo que se producen más rápido de lo que pueden difundirse, lo cual crea puntos conflictivos que aumentan el ruido.
(+)

Identifican miles de productos químicos en la ropa, algunos tóxicos - 27/10/2015

Una tesis de la Universidad de Estocolmo (Suecia) ha comprobado que la ropa recién comprada contiene miles de productos químicos, algunos de ellos tóxicos, y que permanecen en ella después de lavarla. Además, los que se eliminan con el lavado, pueden contaminar el agua.
(+)
1 ... « 122 123 124 125 126 127 128 » ... 328