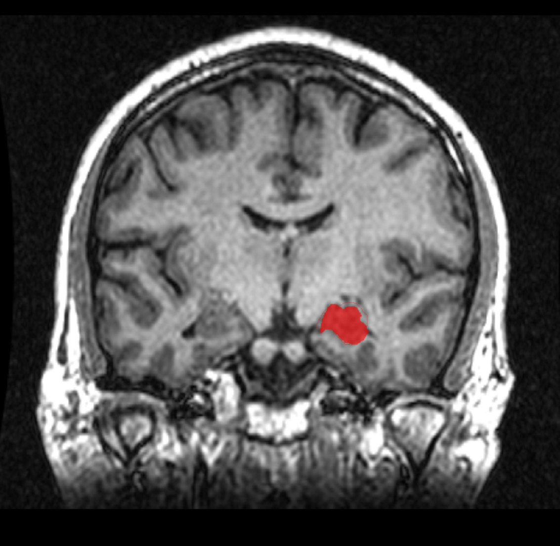
Imagen por resonancia magnética de un hipocampo (en rojo). Imagen: Amber Rieder/Jenna Traynor. Fuente: Wikipedia.
Una investigación de la Universidad Rosalind Franklin de Medicina y Ciencia (Illinois, EE.UU.) ha desmentido la creencia generalizada de que el hipocampo, una parte crucial del cerebro que consolida nuevos recuerdos y ayuda a conectar las emociones con los sentidos, es mayor en las mujeres que en los hombres.
Lise Eliot, profesora asociada de neurología en la Facultad de Medicina de la universidad, dirigió un equipo de estudiantes en un meta-análisis de volúmenes del hipocampo medidos con resonancia magnética, que no encontró ninguna diferencia significativa entre hombres y mujeres.
El meta-análisis es una técnica estadística que permite a los investigadores combinar los resultados de muchos estudios independientes en una revisión exhaustiva. El equipo examinó los resultados de 76 trabajos publicados, en los que participaron más de 6.000 personas sanas.
Los hipocampos se encuentran a ambos lados del cerebro, bajo la corteza cerebral. Los hallazgos del equipo desafían la afirmación habitual de que un hipocampo desproporcionadamente mayor explica la tendencia de las féminas hacia una mayor expresividad emocional, habilidades interpersonales más fuertes y una mejor memoria verbal.
Lise Eliot, profesora asociada de neurología en la Facultad de Medicina de la universidad, dirigió un equipo de estudiantes en un meta-análisis de volúmenes del hipocampo medidos con resonancia magnética, que no encontró ninguna diferencia significativa entre hombres y mujeres.
El meta-análisis es una técnica estadística que permite a los investigadores combinar los resultados de muchos estudios independientes en una revisión exhaustiva. El equipo examinó los resultados de 76 trabajos publicados, en los que participaron más de 6.000 personas sanas.
Los hipocampos se encuentran a ambos lados del cerebro, bajo la corteza cerebral. Los hallazgos del equipo desafían la afirmación habitual de que un hipocampo desproporcionadamente mayor explica la tendencia de las féminas hacia una mayor expresividad emocional, habilidades interpersonales más fuertes y una mejor memoria verbal.
Diferencias mínimas
"Muchas personas creen que hay tal cosa como un "cerebro masculino" y un "cerebro femenino", dice Eliot, en la nota de prensa de la universidad recogida por EurekAlert! "Pero cuando se mira más allá, a menudo se encuentra que las diferencias son mínimas." El estudio aparece en la revista NeuroImage.
Meta-análisis de otros investigadores también han desmentido otras supuestas diferencias en el cerebro, según Eliot. No hay diferencia en el tamaño del cuerpo calloso, la sustancia blanca que permite a los dos lados del cerebro comunicarse entre sí, y los hombres y las mujeres tampoco difieren en la forma en que sus hemisferios izquierdo y derecho procesan el lenguaje.
Otros estudios
Sin embargo, otros estudios sí que se han encontrado diferencias, no en el tamaño pero sí en la forma de funcionar del cerebro de hombres y mujeres. Por ejemplo, uno de EE.UU., que observó que mientras que los hombres tienen muchas conexiones dentro de cada uno de los dos hemisferios, las mujeres tienen muchas conexiones entre ambos.
O este otro de Suiza, que observó que hombres y mujeres procesan las emociones de manera distinta, y este de Canadá, que concluyó que los hombres son más analíticos ante imágenes negativas por diferencias en áreas cerebrales relacionadas con la testosterona. Además, un artículo reciente ha comprobado que el tamaño del cerebro influye muy poco en la inteligencia.
"Muchas personas creen que hay tal cosa como un "cerebro masculino" y un "cerebro femenino", dice Eliot, en la nota de prensa de la universidad recogida por EurekAlert! "Pero cuando se mira más allá, a menudo se encuentra que las diferencias son mínimas." El estudio aparece en la revista NeuroImage.
Meta-análisis de otros investigadores también han desmentido otras supuestas diferencias en el cerebro, según Eliot. No hay diferencia en el tamaño del cuerpo calloso, la sustancia blanca que permite a los dos lados del cerebro comunicarse entre sí, y los hombres y las mujeres tampoco difieren en la forma en que sus hemisferios izquierdo y derecho procesan el lenguaje.
Otros estudios
Sin embargo, otros estudios sí que se han encontrado diferencias, no en el tamaño pero sí en la forma de funcionar del cerebro de hombres y mujeres. Por ejemplo, uno de EE.UU., que observó que mientras que los hombres tienen muchas conexiones dentro de cada uno de los dos hemisferios, las mujeres tienen muchas conexiones entre ambos.
O este otro de Suiza, que observó que hombres y mujeres procesan las emociones de manera distinta, y este de Canadá, que concluyó que los hombres son más analíticos ante imágenes negativas por diferencias en áreas cerebrales relacionadas con la testosterona. Además, un artículo reciente ha comprobado que el tamaño del cerebro influye muy poco en la inteligencia.
Referencia bibliográfica:
Anh Tan, Wenli Ma, Amit Vira, Dhruv Marwha, Lise Eliot: The human hippocampus is not sexually-dimorphic: Meta-analysis of structural MRI volumes. NeuroImage (2016). DOI: 10.1016/j.neuroimage.2015.08.050.
Anh Tan, Wenli Ma, Amit Vira, Dhruv Marwha, Lise Eliot: The human hippocampus is not sexually-dimorphic: Meta-analysis of structural MRI volumes. NeuroImage (2016). DOI: 10.1016/j.neuroimage.2015.08.050.

Tendencias Científicas

Los electrones abren un nuevo mundo a la física cuántica
CIENCIA ON LINE