Tendencias 21

   




TENDENCIAS CIENTÍFICAS

Una rápida evolución del cerebelo podría cambiar la historia del cerebro humano - 06/10/2014

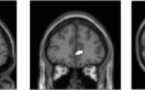
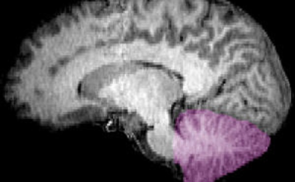
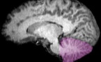
Hasta ahora, se pensaba que el neocórtex o "corteza nueva" era la región del cerebro más vinculada a las capacidades cognitivas avanzadas de nuestra especie. Sin embargo, se ha descubierto que la evolución del cerebelo, una región del encéfalo relacionada con la motricidad, evolucionó seis veces más rápido de lo previsto, posiblemente potenciando nuestra inteligencia técnica.
(+)

Las alas de las aves se formaron a partir de un cambio en las muñecas de los dinosaurios - 01/10/2014

Han tenido que trabajar juntos biólogos del desarrollo y paleontólogos para explicar por fin cómo se formaron las alas de las aves. Su origen está en la reducción de los huesos de las muñecas de los dinosaurios, que les permitió plegar las alas cuando no estaban en vuelo. Analizando fósiles y embriones, los científicos han conseguido resolver por fin un misterio de hace décadas.
(+)

La luz láser y las neuronas se comportan de forma parecida - 30/09/2014

Investigadores de la Universidad Politécnica de Cataluña han utilizado un modelo matemático para modelizar el comportamiento de la luz láser sometida a perturbaciones, que es el mismo con el que otros científicos han descrito el comportamiento de algunas neuronas. Esta similitud permitirá estudiar mejor cómo responde el sistema neuronal humano a estímulos externos.
(+)

Las plantas tienen un sensor que las ayuda a adaptarse - 30/09/2014

El fósforo es un nutriente fundamental para todos los organismos; y las plantas lo toman del suelo en forma de fosfato. Científicos del CNB han descubierto ahora que una proteína sirve a los vegetales como sensor natural para detectar la disponibilidad del fosfato en su entorno, y como promotora de una respuesta adecuada a dicha disponibilidad. El conocimiento de esta proteína podría ayudar a desarrollar una agricultura más sostenible.
(+)

Plancton vivo en el exterior de la ISS y bacterias que resisten viajes interestelares - 30/09/2014

El pasado mes de agosto, oficiales espaciales rusos a bordo de la Estación Espacial Internacional (ISS) afirmaron haber encontrado trazas de plancton marino y otros microorganismos vivos en el exterior de dicha estación, un descubrimiento que la NASA no ha confirmado. Sea este punto cierto o no, resultados de diversos experimentos previos ya habían sugerido que algunos microbios sí podrían aguantar los viajes interestelares.
(+)

Una rara molécula hallada en el espacio apunta al origen interestelar de la vida - 29/09/2014

Rastreando el cosmos a una distancia de 27.000 años luz, un equipo de astrónomos ha descubierto una molécula orgánica inusual, pues tiene una estructura ramificada, en lugar de lineal como suele encontrarse en el cosmos. El hallazgo –como otros descubrimientos de investigaciones previas- sugiere que las moléculas complejas necesarias para la vida se habrían originado en el espacio interestelar.
(+)

La Estación Espacial Internacional recibe a los tres astronautas de la Expedición 41 - 26/09/2014

El astronauta de la NASA Butch Wilmore y los cosmonautas rusos Alexander Samokutyaev y Yelena Serova han llegado a la Estación Espacial Internacional (ISS) este viernes. Lo han hecho en una nave Soyuz, un modelo de nave espacial tripulable que forma parte del programa espacial Soyuz ruso. Entre las curiosidades de esta expedición, el hecho de que en ella haya una mujer; la primera astronauta rusa que viaja a la ISS.
(+)

El agua del Sistema Solar procede del espacio interestelar y es más antigua que el Sol - 26/09/2014

El agua se encuentra por todo el Sistema Solar pero, ¿de dónde procede? Simulaciones de un disco protoplanetario como el que dio origen a los planetas de dicho Sistema han señalado que, al menos una parte del agua de este, tiene un origen en el espacio interestelar y es anterior al nacimiento del Sol. Eso presupone que abundante materia orgánica helada interestelar debería encontrarse en todos los sistemas planetarios jóvenes.
(+)

Los dispositivos multimedia podrían estar reduciendo nuestra materia gris - 25/09/2014

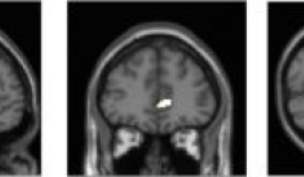
Las personas más expuestas a situaciones de multitarea con dispositivos multimedia (teléfonos, ordenadores) tienen menos densidad de materia gris en una zona del cerebro relacionada con el control emocional y cognitivo. Los científicos matizan que no está claro cuál es la causa y cuál el efecto, por lo que habrá que investigar más profundamente.
(+)

Hallan fósiles de 600 millones de años con una complejidad inesperada - 25/09/2014

Geobiólogos del Virginia Tech de EEUU y de la Academia de Ciencias de China han encontrado evidencias fósiles de que la compleja pluricelularidad de los seres vivos apareció hace unos 600 millones años, esto es, casi 60 millones de años antes de que aparecieran los animales con esqueleto, surgidos en el periodo de Explosión Cámbrica. El descubrimiento contradice diversas y duraderas interpretaciones sobre los fósiles multicelulares de al menos 600 millones de años de antigüedad.
(+)
1 ... « 167 168 169 170 171 172 173 » ... 328