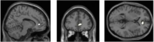
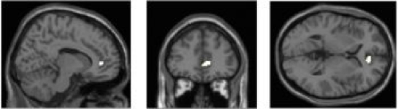
La densidad de materia gris en el córtex del cíngulo anterior está relacionada con la exposición a múltiples dispositivos multimedia. Fuente: Universidad de Sussex.
Usar al mismo tiempo teléfonos móviles, ordenadores portátiles y otros dispositivos multimedia podría estar cambiando la estructura de nuestro cerebro, según una nueva investigación de la Universidad de Sussex (Inglaterra).
Un estudio publicado ayer en PLoS ONE revela que las personas que utilizan con frecuencia varios dispositivos de este tipo al mismo tiempo tienen una menor densidad de materia gris en una región concreta del cerebro, en comparación con aquellos que utilizan un solo dispositivo de vez en cuando.
La investigación apoya estudios anteriores que muestran la relación entre la multitarea con estos aparatos y la tendencia a distraerse, junto con problemas emocionales como depresión y ansiedad.
Pero los neurocientíficos Kep Kee Loh y Ryota Kanai señalan que su estudio revela un vínculo y no causalidad y que es necesario un estudio a largo plazo para saber si un alto uso de dispositivos multimedia conduce a cambios en la estructura del cerebro, o si es que son las personas con menos densidad de materia gris las que se sienten más atraídas por ellos.
Los investigadores del Centro Sackler para la Ciencia de la Conciencia, de la Universidad de Sussex, utilizaron imágenes de resonancia magnética funcional (fMRI) para observar las estructuras cerebrales de 75 adultos, todos los cuales habían respondido un cuestionario sobre su uso y consumo de dispositivos multimedia, incluyendo teléfonos móviles y ordenadores, así como prensa de papel y televisión.
Observaron que, independientemente de los rasgos de personalidad individuales, las personas que utilizan un mayor número de dispositivos de este tipo al mismo tiempo tenían también menor densidad de materia gris en la parte del cerebro conocida como córtex del cíngulo anterior (CCA), región especialmente responsable de las funciones de control cognitivo y emocional.
Kep Kee Loh explica en la nota de prensa de la universidad: "La multitarea con aparatos multimedia es cada vez más frecuente en nuestras vidas hoy en día y cada vez hay más preocupación por su impacto en nuestra cognición y en nuestro bienestar socio-emocional. Nuestro estudio es el primero en revelar sus vínculos con la estructura del cerebro".
Un estudio publicado ayer en PLoS ONE revela que las personas que utilizan con frecuencia varios dispositivos de este tipo al mismo tiempo tienen una menor densidad de materia gris en una región concreta del cerebro, en comparación con aquellos que utilizan un solo dispositivo de vez en cuando.
La investigación apoya estudios anteriores que muestran la relación entre la multitarea con estos aparatos y la tendencia a distraerse, junto con problemas emocionales como depresión y ansiedad.
Pero los neurocientíficos Kep Kee Loh y Ryota Kanai señalan que su estudio revela un vínculo y no causalidad y que es necesario un estudio a largo plazo para saber si un alto uso de dispositivos multimedia conduce a cambios en la estructura del cerebro, o si es que son las personas con menos densidad de materia gris las que se sienten más atraídas por ellos.
Los investigadores del Centro Sackler para la Ciencia de la Conciencia, de la Universidad de Sussex, utilizaron imágenes de resonancia magnética funcional (fMRI) para observar las estructuras cerebrales de 75 adultos, todos los cuales habían respondido un cuestionario sobre su uso y consumo de dispositivos multimedia, incluyendo teléfonos móviles y ordenadores, así como prensa de papel y televisión.
Observaron que, independientemente de los rasgos de personalidad individuales, las personas que utilizan un mayor número de dispositivos de este tipo al mismo tiempo tenían también menor densidad de materia gris en la parte del cerebro conocida como córtex del cíngulo anterior (CCA), región especialmente responsable de las funciones de control cognitivo y emocional.
Kep Kee Loh explica en la nota de prensa de la universidad: "La multitarea con aparatos multimedia es cada vez más frecuente en nuestras vidas hoy en día y cada vez hay más preocupación por su impacto en nuestra cognición y en nuestro bienestar socio-emocional. Nuestro estudio es el primero en revelar sus vínculos con la estructura del cerebro".
Cambios en el cerebro
Los científicos han demostrado anteriormente que la estructura del cerebro puede alterarse después de la exposición prolongada a entornos y experiencias nuevas. Las vías neuronales y las sinapsis pueden cambiar según nuestros comportamientos, el medio ambiente, las emociones, y eso puede ocurrir a nivel celular (en el caso del aprendizaje y la memoria) o mediante la reorganización cortical, que consiste en reasignar funciones específicas de una región del cerebro dañada a otra región intacta.
Otros estudios han demostrado que el entrenamiento (por ejemplo, aprender a hacer malabares, o taxistas que se aprenden el mapa de Londres) puede aumentar la densidad de materia gris en ciertas partes del cerebro.
"Los mecanismos exactos de estos cambios aún no están claros", reconoce Kee Kep Loh. "Aunque es concebible que los individuos con pequeño CCA sean más susceptibles a situaciones multitarea debido a su menor capacidad de control cognitivo o de regulación socio-emocional, es igualmente plausible que los niveles más altos de exposición a situaciones multitarea conduzcan a cambios estructurales en el CCA. Se requiere un estudio más amplio para determinar inequívocamente la dirección de la causalidad."
Los científicos han demostrado anteriormente que la estructura del cerebro puede alterarse después de la exposición prolongada a entornos y experiencias nuevas. Las vías neuronales y las sinapsis pueden cambiar según nuestros comportamientos, el medio ambiente, las emociones, y eso puede ocurrir a nivel celular (en el caso del aprendizaje y la memoria) o mediante la reorganización cortical, que consiste en reasignar funciones específicas de una región del cerebro dañada a otra región intacta.
Otros estudios han demostrado que el entrenamiento (por ejemplo, aprender a hacer malabares, o taxistas que se aprenden el mapa de Londres) puede aumentar la densidad de materia gris en ciertas partes del cerebro.
"Los mecanismos exactos de estos cambios aún no están claros", reconoce Kee Kep Loh. "Aunque es concebible que los individuos con pequeño CCA sean más susceptibles a situaciones multitarea debido a su menor capacidad de control cognitivo o de regulación socio-emocional, es igualmente plausible que los niveles más altos de exposición a situaciones multitarea conduzcan a cambios estructurales en el CCA. Se requiere un estudio más amplio para determinar inequívocamente la dirección de la causalidad."
Referencia bibliográfica:
Kep Kee Loh, Ryota Kanai: Higher Media Multi-Tasking Activity Is Associated with Smaller Gray-Matter Density in the Anterior Cingulate Cortex. PLoS ONE (2014). DOI: 10.1371/journal.pone.0106698.
Kep Kee Loh, Ryota Kanai: Higher Media Multi-Tasking Activity Is Associated with Smaller Gray-Matter Density in the Anterior Cingulate Cortex. PLoS ONE (2014). DOI: 10.1371/journal.pone.0106698.

Tendencias Científicas

Los electrones abren un nuevo mundo a la física cuántica
CIENCIA ON LINE