Tendencias 21

   




TENDENCIAS CIENTÍFICAS

Neurocientíficos identifican el papel de un gen en la aparición del lenguaje humano - 16/09/2014

¿Por qué el ser humano tiene la capacidad de hablar? Esta pregunta sigue sin respuesta. Sin embargo, la genética comienza a arrojar algunas claves. Un nuevo estudio sobre el conocido como el ‘gen del lenguaje’ –el gen FoxP2-, ha revelado que este impulsa la capacidad cerebral de conceptualizar y, por tanto, pudo resultar esencial en la aparición de nuestra exclusiva forma de comunicarnos.
(+)

Un mapa muestra las emisiones de CO2 país por país durante los últimos 15 años - 15/09/2014

Investigadores de Estados Unidos y Australia han diseñado un método de recopilación de datos que permite crear un mapa de emisiones de gases de efecto invernadero, entre ellos el CO2, país a país y durante los últimos 15 años. En él se pueden ver los cambios producidos en distintas regiones mundiales durante la crisis financiera.
(+)

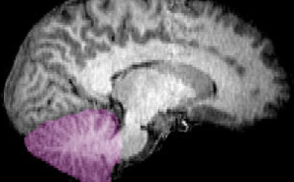
El extraño caso de la mujer de 24 años que vive sin cerebelo - 15/09/2014

Un equipo de médicos chinos ha diagnosticado a una mujer de 24 años de un raro trastorno conocido como como “agenesia cerebelosa”, que consiste en la ausencia total o parcial del cerebelo. A pesar de que esta área cerebral contiene la mitad de las neuronas del cerebro, la paciente muestra solo síntomas moderados (en forma de deficiencia motora y del habla), lo que, según los expertos, demuestra la enorme plasticidad de nuestra materia gris.
(+)

Completan la secuenciación genómica de todos los simios - 11/09/2014

Un equipo internacional, en el que participan investigadores españoles, ha secuenciado el genoma del gibón, un pequeño primate en peligro de extinción que habita en los bosques tropicales del sudeste asiático, y que era el último simio cuyo genoma quedaba por secuenciar. El resultado ha sido publicado en 'Nature', y permitirá conocer mejor el genoma del hombre y las mutaciones que se producen en él.
(+)

Tecnologías futuristas desvelan los secretos ocultos bajo Stonehenge - 11/09/2014

El icónico monumento megalítico de Stonehenge, de finales del neolítico, ha desvelado secretos jamás vistos, gracias a un análisis exhaustivo realizado con tecnologías punteras por científicos de la Universidad británica de Birmingham. Entre los hallazgos, 17 monumentos rituales y un monumento subterráneo de madera de una longitud de 33 metros y de cerca de 6.000 años, probablemente utilizado para entierros rituales y prácticas relacionadas.
(+)

La pérdida de masa forestal ha enfriado la Tierra, según un estudio - 11/09/2014

Según un intrigante estudio de la Universidad de Yale (EEUU), la conversión de los bosques en tierras de cultivo en todo el mundo ha provocado un cambio atmosférico (una reducción de compuestos volátiles orgánicos) que, a su vez, ha reducido las temperaturas globales de nuestro planeta. Este efecto revela la complejidad del clima y la necesidad de tener en cuenta factores hasta ahora no atendidos para ayudar a proteger su equilibrio.
(+)

La capa de ozono se recupera y podría restaurarse totalmente en unas décadas - 11/09/2014

La capa de ozono se encamina hacia su restauración total en las próximas décadas como resultado de la acción internacional contra las sustancias que provocan su agotamiento, afirma un informe del PNUMA y de la OMM. El logro es debido, por tanto, a un acuerdo conjunto, el Protocolo de Montreal, alcanzado en 1989, y que debería servir de ejemplo para próximas actuaciones.
(+)

Consiguen solidificar la luz usando un átomo artificial como 'modelo' - 10/09/2014

Investigadores de la Universidad de Princeton (EEUU) han conseguido solidificar la luz reuniendo fotones, las partículas lumínicas básicas, y fijándolos en un espacio. Un avance "nunca visto" y que podría ayudar a comprender el comportamiento de la materia a nivel cuántico y a crear nuevos materiales. El año pasado, científicos del MIT ya consiguieron hacer que los fotones se comportasen como si tuvieran masa.
(+)

Retrasan por "control remoto" el envejecimiento de la mosca de la fruta - 09/09/2014

Científicos de UCLA (Universidad de California en Los Ángeles, EE.UU.) han identificado un gen de la mosca de la fruta que ralentiza el proceso de envejecimiento en todo el cuerpo, si se activa sólo en algunos órganos (intestino o sistema nervioso). Es decir, que afecta a todos los órganos del cuerpo, incluidos algunos difíciles de acceder, como el cerebro. El gen también está presente en los humanos, aunque no suele estar activado a un alto nivel.
(+)

La cantidad de gases de efecto invernadero en la atmósfera alcanza un nuevo máximo - 09/09/2014

La cantidad de gases de efecto invernadero presentes en la atmósfera alcanzó un nuevo máximo sin precedentes en 2013, debido a la subida acelerada de los niveles de dióxido de carbono, indica la Organización Meteorológica Mundial (OMM). Ello hace que la necesidad de una acción internacional concertada frente a la aceleración del cambio climático sea más apremiante que nunca.
(+)
1 ... « 169 170 171 172 173 174 175 » ... 328