Un sorprendente y extraño caso detectado en China ha constatado que la plasticidad y la adaptabilidad del cerebro humano pueden llegar a ser casi increíbles.
Según publica la revista de neurología Brain, un equipo de médicos chinos ha diagnosticado a una mujer de 24 años de un raro trastorno conocido como como “agenesia cerebelosa”, que consiste en la ausencia total o parcial de una región del cerebro llamada cerebelo.
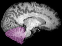
La función principal de esta área es la de integrar las vías sensitivas y las vías motoras, a través de una gran cantidad de haces nerviosos que la conectan con otras estructuras encefálicas y con la médula espinal.
En otras palabras, el cerebelo integra toda la información recibida a través de los sentidos, para emitir las órdenes que recibe nuestro aparato locomotor a través de la corteza cerebral primero, y de las vías motoras después.
Líquido cefalorraquídeo en lugar de cerebelo
Según explican los doctores en dicha publicación, la paciente en cuestión llegó a un hospital de la provincia de Shandong, aquejada de mareos y de náuseas.
La joven les explicó a los médicos que desde hacía 20 años había tenido problemas para caminar de manera constante. Su madre señaló además que no había logrado andar por sí sola hasta los siete años y que su habla resultó ininteligible hasta los seis.
A pesar de estas circunstancias, la mujer lleva una vida casi normal, pues está casada y tiene una hija. Su embarazo y el parto de esta última fueron descritos como “sin incidentes”.
Para averiguar lo que le ocurría realmente a la paciente, los médicos le hicieron un escáner de tomografía computarizada (CT), que usa tecnología de rayos-X para tomar múltiples perspectivas transversales del cerebro; y un escáner de imagen por resonancia magéntica (IRM), que utiliza el fenómeno de la resonancia magnética nuclear para obtener información sobre la estructura y composición cerebrales.
Las pruebas revelaron que a la joven le faltaba todo el cerebelo; y que en el espacio en el que este debía estar no había tejido alguno, sino líquido cefalorraquídeo, un líquido de color transparente que baña el encéfalo (región en la que se encuentra el cerebelo) y la médula espinal. Este líquido amortigua al cerebro y lo protege de enfermedades.
Según publica la revista de neurología Brain, un equipo de médicos chinos ha diagnosticado a una mujer de 24 años de un raro trastorno conocido como como “agenesia cerebelosa”, que consiste en la ausencia total o parcial de una región del cerebro llamada cerebelo.
La función principal de esta área es la de integrar las vías sensitivas y las vías motoras, a través de una gran cantidad de haces nerviosos que la conectan con otras estructuras encefálicas y con la médula espinal.
En otras palabras, el cerebelo integra toda la información recibida a través de los sentidos, para emitir las órdenes que recibe nuestro aparato locomotor a través de la corteza cerebral primero, y de las vías motoras después.
Líquido cefalorraquídeo en lugar de cerebelo
Según explican los doctores en dicha publicación, la paciente en cuestión llegó a un hospital de la provincia de Shandong, aquejada de mareos y de náuseas.
La joven les explicó a los médicos que desde hacía 20 años había tenido problemas para caminar de manera constante. Su madre señaló además que no había logrado andar por sí sola hasta los siete años y que su habla resultó ininteligible hasta los seis.
A pesar de estas circunstancias, la mujer lleva una vida casi normal, pues está casada y tiene una hija. Su embarazo y el parto de esta última fueron descritos como “sin incidentes”.
Para averiguar lo que le ocurría realmente a la paciente, los médicos le hicieron un escáner de tomografía computarizada (CT), que usa tecnología de rayos-X para tomar múltiples perspectivas transversales del cerebro; y un escáner de imagen por resonancia magéntica (IRM), que utiliza el fenómeno de la resonancia magnética nuclear para obtener información sobre la estructura y composición cerebrales.
Las pruebas revelaron que a la joven le faltaba todo el cerebelo; y que en el espacio en el que este debía estar no había tejido alguno, sino líquido cefalorraquídeo, un líquido de color transparente que baña el encéfalo (región en la que se encuentra el cerebelo) y la médula espinal. Este líquido amortigua al cerebro y lo protege de enfermedades.
Casos históricos
El cerebelo se encuentra debajo de los dos hemisferios cerebrales y está constituido por pliegues mucho más pequeños y compactos de tejido que el resto del cerebro. Representa alrededor del 10% del volumen total de este órgano, pero contiene el 50% de sus neuronas (unos 85.000 millones).
Una ausencia total de esta región del encéfalo, como la que muestra la paciente china, solo se había detectado en otras nueve personas vivas. En la mayoría de la gente que la padece, la afección supone una muerte temprana, tras la cual se suele detectar el problema, a través de autopsias.
Entre los casos vivos detectados, el primer ejemplo fue descrito en 1831. La revista Brain se hizo eco en 2010 de otros casos de la historia, que han demostrado que, aunque no existe una descripción clínica completa para este trastorno, siempre implica importantes déficits motores.
La excepción a esta constante podría ser la del “caso mítico” descrito en 1940 por J. D. Boyd: el de un paciente que llegó a vivir 76 años sin cerebelo; y que supuestamente tuvo una “vida normal”. La verdadera condición que había padecido este individuo se descubrió tras su muerte, gracias a que su cadáver fue dedicado a la investigación en el London Hospital.
Sin embargo, hoy se considera que este caso no es más que "leyenda", y que la agenesia cerebelosa total o parcial provoca siempre síntomas como deterioro mental grave, trastornos del movimiento, epilepsia o una potencialmente fatal acumulación de líquido en el cerebro.
Una plasticidad cerebral fuera de lo común
Algunos de estos síntomas han sido detectados en la mujer china recientemente diagnosticada, pero los médicos están sorprendidos de cómo, en ella, la ausencia de cerebelo se ha traducido en una deficiencia motora entre leve y moderada; y en problemas del habla leves, como una pronunciación de las palabras ligeramente arrastrada.
Según ellos, estos efectos son "menores de lo que cabría esperar", lo que pone de relieve la notable plasticidad del cerebro. "Estos casos raros son interesantes para entender cómo funcionan los circuitos cerebrales y como el cerebro compensa las piezas que le faltan", explica Mario Manto, investigador de los trastornos del cerebelo de la Universidad Libre de Bruselas, en Bélgica, en declaraciones recogidas por la revista NewScientist.
Otras ventajas de la plasticidad cerebral es que permite, por ejemplo, que los cerebros de las personas ciegas se reestructuren para emplear la corteza visual para mejorar la audición o que la experiencia modifique continuamente nuestro cerebro. Gracias a ella, somos capaces de adaptarnos mejor a los cambios en el entorno o las circunstancias que nos rodean.
El cerebelo se encuentra debajo de los dos hemisferios cerebrales y está constituido por pliegues mucho más pequeños y compactos de tejido que el resto del cerebro. Representa alrededor del 10% del volumen total de este órgano, pero contiene el 50% de sus neuronas (unos 85.000 millones).
Una ausencia total de esta región del encéfalo, como la que muestra la paciente china, solo se había detectado en otras nueve personas vivas. En la mayoría de la gente que la padece, la afección supone una muerte temprana, tras la cual se suele detectar el problema, a través de autopsias.
Entre los casos vivos detectados, el primer ejemplo fue descrito en 1831. La revista Brain se hizo eco en 2010 de otros casos de la historia, que han demostrado que, aunque no existe una descripción clínica completa para este trastorno, siempre implica importantes déficits motores.
La excepción a esta constante podría ser la del “caso mítico” descrito en 1940 por J. D. Boyd: el de un paciente que llegó a vivir 76 años sin cerebelo; y que supuestamente tuvo una “vida normal”. La verdadera condición que había padecido este individuo se descubrió tras su muerte, gracias a que su cadáver fue dedicado a la investigación en el London Hospital.
Sin embargo, hoy se considera que este caso no es más que "leyenda", y que la agenesia cerebelosa total o parcial provoca siempre síntomas como deterioro mental grave, trastornos del movimiento, epilepsia o una potencialmente fatal acumulación de líquido en el cerebro.
Una plasticidad cerebral fuera de lo común
Algunos de estos síntomas han sido detectados en la mujer china recientemente diagnosticada, pero los médicos están sorprendidos de cómo, en ella, la ausencia de cerebelo se ha traducido en una deficiencia motora entre leve y moderada; y en problemas del habla leves, como una pronunciación de las palabras ligeramente arrastrada.
Según ellos, estos efectos son "menores de lo que cabría esperar", lo que pone de relieve la notable plasticidad del cerebro. "Estos casos raros son interesantes para entender cómo funcionan los circuitos cerebrales y como el cerebro compensa las piezas que le faltan", explica Mario Manto, investigador de los trastornos del cerebelo de la Universidad Libre de Bruselas, en Bélgica, en declaraciones recogidas por la revista NewScientist.
Otras ventajas de la plasticidad cerebral es que permite, por ejemplo, que los cerebros de las personas ciegas se reestructuren para emplear la corteza visual para mejorar la audición o que la experiencia modifique continuamente nuestro cerebro. Gracias a ella, somos capaces de adaptarnos mejor a los cambios en el entorno o las circunstancias que nos rodean.
Referencias bibliográficas:
C.A.R. Boyd. Cerebellar agenesis revisited. Brain (2009). DOI: 10.1093/brain/awp265.
R. N. Lemon y S. A. Edgley. Life without a cerebellum. Brain (2010). DOI: 10.1093/brain/awq030.
Feng Yu, Qing-jun Jiang, Xi-yan Sun y Rong-wei Zhang. A new case of complete primary cerebellar agenesis: clinical and imaging findings in a living patient. Brain (2014). DOI: 10.1093/brain/awu239.
C.A.R. Boyd. Cerebellar agenesis revisited. Brain (2009). DOI: 10.1093/brain/awp265.
R. N. Lemon y S. A. Edgley. Life without a cerebellum. Brain (2010). DOI: 10.1093/brain/awq030.
Feng Yu, Qing-jun Jiang, Xi-yan Sun y Rong-wei Zhang. A new case of complete primary cerebellar agenesis: clinical and imaging findings in a living patient. Brain (2014). DOI: 10.1093/brain/awu239.

Tendencias Científicas


Los electrones abren un nuevo mundo a la física cuántica
CIENCIA ON LINE