Tendencias 21

   




TENDENCIAS CIENTÍFICAS

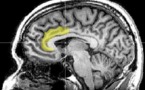
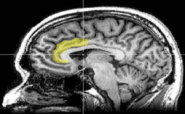
La neurociencia define los circuitos neuronales vinculados al racismo - 28/06/2012

Una síntesis de 18 investigaciones basadas en técnicas de neuroimagen, realizada por especialistas de la Universidad de Nueva York (NYU), en Estados Unidos, ha revelado que el cerebro humano utiliza los mismos circuitos neuronales tanto para juzgar a una persona por motivos étnicos como para procesar emociones o tomar decisiones.
(+)

Descubren por casualidad que los dinosaurios tenían la sangre caliente - 28/06/2012

Un estudio dirigido por una investigadora del Institut Català de Paleontologia Miquel Crusafont (ICP) de Cataluña ha revelado que los dinosaurios tenían la sangre caliente. El descubrimiento, realizado a partir del estudio óseo de un centenar de mamíferos rumiantes actuales y basado en la alta tasa metabólica de los dinosaurios, contradice la creencia previa de que estos reptiles eran animales de sangre fría.
(+)

Una nueva técnica desvela el secreto de la atmósfera de los exoplanetas - 28/06/2012

Una nueva técnica ha permitido a los astrónomos estudiar por primera vez, de forma fidedigna, la estructura de la atmósfera del exoplaneta Tau Boötis b y deducir su masa de un modo preciso. El equipo utilizó el instrumento CRIRES , instalado en el Observatorio Paranal de ESO, en Chile, y combinó observaciones infrarrojas de alta calidad con un nuevo e ingenioso truco para extraer la débil señal del planeta a partir de la luz mucho más potente emitida por la estrella anfitriona.
(+)

El misterio del bosón de Higgs se desvela el 4 de julio - 26/06/2012

El CERN ha anunciado que el 4 de julio desvelará la información obtenida durante este año sobre el bosón de Higgs, el último ingrediente que falta para completar el Modelo Estándar de Física de Partículas. Con más datos recogidos entre abril y junio de 2012 que en todo 2011, si se descubre una nueva partícula como el bosón de Higgs se necesitará tiempo para asegurar que no se trata de una forma más exótica de esta partícula que pudiera abrir la puerta a una nueva física.
(+)

El color desempeña un papel clave en la organización cerebral de conceptos - 25/06/2012

Un estudio realizado por una investigadora del Centro Vasco de Cognición, Cerebro y Lenguaje (BCBL) ha demostrado que el cerebro organiza objetos en función de su color, hasta el punto de que conceptos como "limón" y "canario" pueden llegar a solaparse. Por otra parte, la investigación ha demostrado que los conceptos de objetos en el cerebro varían en función del contexto y que las representaciones cerebrales de las cosas que nos rodean son moldeables. Estos hallazgos ayudarán a comprender mejor la gestión de la información por parte del cerebro y servirán para entender cómo se deteriora el conocimiento con la edad o la existencia daños cerebrales.
(+)

Cien años después, Turing continúa haciendo historia - 25/06/2012

Cien años después del nacimiento de Alan Turing, considerado el padre de la informática moderna, las TIC se han convertido en la columna vertebral de la economía y la tecnología. Turing, primer hacker de la historia al romper los códigos alemanes durante la segunda guerra mundial, no podía imaginar este alcance de su gran invento: un concepto de máquina y programa universal almacenado en un computador. Una serie de eventos en todo el mundo conmemoran el centenario de este científico con una vida novelesca, desde su implicación en el espionaje hasta su suicidio debido a su condena por homosexualidad.
(+)

Turing creó un nuevo mundo de ciencia y tecnología - 24/06/2012

Alan Turing creó un nuevo mundo de ciencia y tecnología y fue el precursor de la singularidad tecnológica, según la cual el progreso tecnológico y el cambio social se acelerarán debido al desarrollo de inteligencia sobrehumana. También anticipó el concepto de computación universal, según el cual una computadora puede hacer cualquier cosa que otra puede hacer. Así se pudo formular la hipótesis de que una mente humana puede ser transferida de un cerebro biológico a otro substrato computacional, sobre la que se investiga en la actualidad y que podría significar el último algoritmo recursivo del genio británico. Por Giulio Prisco.
(+)

El cannabis frena la esclerosis múltiple - 23/06/2012

Una investigación de la UCM ha determinado que el cannabis puede detener la progresión de la esclerosis múltiple, además de reducir sus síntomas, como ya se había comprobado. Una molécula sintética, que imita la acción del cannabis, provocó una disminución de la progresión de esta enfermedad en ratones, abriendo nuevas posibilidades para su tratamiento en personas hasta ahora consideradas incurables.
(+)

Descubren los dos planetas más cercanos entre sí del sistema solar - 22/06/2012

Astrónomos norteamericanos han descubierto dos planetas, situados a 1.200 años luz de nosotros, que están 20 veces más cerca entre sí que cualquiera de los planetas del sistema solar. El primero es algo mayor que la Tierra y el segundo del tamaño de Neptuno. Ambos ocupan casi el mismo plano orbital y en su máximo acercamiento solo quedan separados por unos 1,2 millones de kilómetros uno del otro, si bien nunca chocan entre sí.
(+)

Marte posee casi tanta agua como la Tierra - 22/06/2012

Una nueva investigación realizada sobre meteoritos marcianos que llegaron a la Tierra hace 2,5 millones de años ha determinado que la cantidad de agua presente en el manto del Planeta Rojo es muy superior a lo que se pensaba y que es parecida a la que posee la Tierra. Estos datos plantean la posibilidad de que Marte podría tener vida sostenible.
(+)
1 ... « 255 256 257 258 259 260 261 » ... 328