Tendencias 21

   




TENDENCIAS CIENTÍFICAS

Desarrollan un sistema que busca mejor las interacciones entre fármacos - 30/11/2009

Investigadores de la Universidad Carlos III de Madrid (UC3M) han creado un sistema que detecta los nombres de fármacos en textos biomédicos para integrarlo en un prototipo que desarrollan para reconocer y clasificar las interacciones entre medicamentos, que pueden afectar a la seguridad del paciente.
(+)

Las ondas gravitacionales impiden que estemos en dos sitios a la vez - 29/11/2009

Las partículas subatómicas pueden estar en dos sitios a la vez, gracias a su doble naturaleza onda-partícula. Sin embargo, los objetos macroscópicos no disfrutan de esa ventaja, concentrados como están en uno solo de los estados posibles. Un equipo de físicos franceses afirma ahora que el paso de esa superposición de estados podría estar provocado por las ondas gravitacionales.
(+)

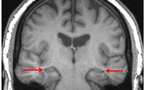
El cerebro de los invidentes es diferente al de las personas que ven - 20/11/2009

Científicos de la Universidad de California en Los Ángeles han realizado un estudio, con una tecnología de registro de imágenes cerebrales altamente sensible, cuyos resultados han confirmado que el cerebro de los invidentes es distinto al de las personas que ven. El cerebro de los ciegos se transforma anatómicamente y cambia su volumen en ciertas regiones, para que éstos compensen la pérdida de visión con nuevas capacidades.
(+)

Un laboratorio submarino en el Golfo de Cádiz alerta de posibles tsunamis - 16/11/2009

Un equipo del Consejo Superior de Investigaciones Científicas (CSIC) ha instalado un laboratorio submarino para la alerta temprana de tsunamis. GEOSTSAR, el primer laboratorio de estas características que se instala en Europa, ha sido ubicado en el Golfo de Cádiz, a 60 millas del Cabo de San Vicente y a una profundidad de 3.300 metros.
(+)

La memoria a corto plazo depende de dos redes neuronales diferenciadas - 13/11/2009

Hasta ahora, se había pensado que el cerebro humano utilizaba dos mecanismos distintos para formar recuerdos a largo plazo o recuerdos a corto plazo. Esta teoría, sin embargo, acaba de ser desafiada por los resultados de una investigación de científicos de la University College de Londres, en la que se ha puesto de manifiesto que la distinción no es tan sencilla.
(+)

Los primeros mapas del Sistema Solar revelan que está rodeado por una misteriosa franja - 06/11/2009

Los primeros mapas del Sistema Solar registrados por el satélite IBEX han revelado que nuestro sistema planetario se encuentra rodeado de una extraña franja formada por átomos densamente unidos. Esta franja estaría situada en el borde exterior de la llamada heliosfera, una burbuja magnética que hasta ahora no había podido ser vista.
(+)

El satélite SMOS ya surca los cielos - 02/11/2009

Tras más de una década de investigaciones y desarrollos tecnológicos liderados por primera vez desde España, hoy por fin el satélite SMOS se ha puesto en órbita. Esta madrugada la nave ha despegado con éxito desde el cosmódromo de Plesetsk, en el norte de Rusia, y pronto comenzará a enviar datos sobre la salinidad de los...
(+)

La selección natural sigue operando en el ser humano - 31/10/2009

Aunque los avances en la medicina han mejorado el nivel de vida de los seres humanos, nuestra especie sigue sometida a los cambios de la selección natural, es decir, sigue evolucionando. Un estudio realizado con 2.000 mujeres ha revelado que es posible no sólo constatar estos cambios, sino además predecirlos a corto plazo en generaciones venideras.
(+)

El cerebro humano no puede conocer todos los universos posibles - 23/10/2009

La teoría del multiverso propone la existencia de un conjunto de universos posibles, más allá del cosmos que conocemos. Ahora, dos físicos de la Universidad de Stanford, en California, han calculado cuántos universos habría, teniendo en cuenta la situación inicial del cosmos tras el Big Bang. Según los científicos, el número de universos posibles es tan grande, que escapa a la capacidad del cerebro humano de almacenar información.
(+)

Descubren los secretos del procesamiento cerebral del lenguaje - 16/10/2009

La aplicación de una técnica de registro de imágenes cerebrales ha revelado importantes secretos sobre la actividad neuronal que posibilita la capacidad del lenguaje en los humanos. Gracias a ella, se han podido registrar los procesos de la llamada área de Broca, mientras un grupo de pacientes hablaba y leía. Los registros han establecido que dicha área resulta clave para el lenguaje, puesto que es capaz de procesar la gramática, el léxico y la fonética en tan sólo unos milisegundos.
(+)
1 ... « 292 293 294 295 296 297 298 » ... 328