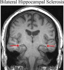
Imagen del cerebro de un paciente con esclerosis bilateral del hipocampo. El hipocampo está indicado por las flechas y es más pequeño que un hipocampo normal. Fuente: UCL.
Hasta ahora, se había pensado que el cerebro humano utiliza mecanismos distintos para formar recuerdos a largo plazo y recuerdos a corto plazo. Esta teoría, sin embargo, acaba de ser desafiada por los resultados de una investigación realizada por científicos de la University College de Londres (UCL).
Según un comunicado de la UCL, los neurocientíficos formularon la primera teoría a partir de observaciones realizadas con pacientes con amnesia, un trastorno que afecta a la capacidad de formar recuerdos a largo plazo.
Normalmente, la amnesia suele estar ocasionada por daños en una región del cerebro llamada hipocampo. Se sabe que esta región, que está situada en los lóbulos temporales, está involucrada en la memoria a largo plazo, la memoria espacial y los desplazamientos físicos. También es una de las primeras zonas afectadas por la enfermedad de Alzheimer, cuyos síntomas son las deficiencias de memoria y la desorientación.
A pesar de los daños sufridos en la memoria a largo plazo en aquellos pacientes con amnesia (y, en consecuencia, con trastornos en el hipocampo), éstos fueron capaces de recordar un número de teléfono durante periodos cortos de tiempo, siempre que no se distrajera su atención.
Este hecho condujo a la idea de que el hipocampo sería el responsable de la memoria a largo plazo, pero no de la memoria a corto plazo. Los hallazgos recientes realizados por los científicos de la UCL revelan que esta distinción entre ambos tipos de recuerdos debería ser revisada.
Redes neuronales distintas
Los investigadores de la UCL analizaron a pacientes que padecían epilepsia con origen en el lóbulo temporal, un tipo de epilepsia que provoca una marcada disfunción del hipocampo.
A los participantes se les pidió que observasen e intentaran memorizar imágenes fotográficas de escenas cotidianas, por ejemplo, de sillas y de una mesa situadas en una sala de estar. Mientras ellos recordaban las fotos, se midió su actividad cerebral en intervalos de tiempo cortos (de sólo cinco segundos) y largos (de 60 minutos).
Los registros cerebrales se realizaron con una técnica no invasiva denominada magnetoencefalografía (MEG), que registra la actividad funcional del cerebro mediante la captación de campos magnéticos, y que permite investigar las relaciones entre las estructuras cerebrales y sus funciones.
Con la MEG se constató que para la memoria a corto plazo acerca de los detalles de cada escena, por ejemplo, si la mesa estaba situada a la derecha o a la izquierda de las sillas, fue necesaria la actividad coordinada de una red de áreas cerebrales (región temporal y región visual), mientras que para la memoria a corto plazo general se puso en marcha una red neuronal muy diferente.
Consecuencias de la diferencia
Como consecuencia de sus trastornos, a los 60 minutos los participantes no fueron capaces ni de recordar detalles de las fotos ni de distinguir éstas de fotos nuevas.
Sin embargo, según uno de los autores del estudio, el profesor Emrah Duzel, tras cinco segundos, los pacientes sí pudieron distinguir las imágenes que ya habían memorizado de imágenes nuevas (recuerdo general), pero no de recordar la colocación detallada de los objetos en las escenas (recuerdo detallado).
Los científicos explican que esto se debe a que existirían dos redes distintas para la formación de recuerdos a corto plazo en el cerebro.
Una de estas redes funcionaría de forma independiente al hipocampo y se mantendría intacta en pacientes con daños en éste y, en consecuencia, con déficit de memoria a largo plazo.
La otra red sí que dependería del estado del hipocampo, y afectaría a la formación de los recuerdos a corto plazo, junto con la capacidad de formar recuerdos a largo plazo.
Primera evidencia anatómica y funcional
Otro autor de la investigación llamado Nathan Cashdollar, señala que a pesar de que otras observaciones recientes habían comenzado ya a desafiar la distinción clásica entre memoria a corto plazo y a largo plazo y su relación con el hipocampo, esta teoría se ha mantenido durante casi medio siglo.
La importancia de los resultados obtenidos en esta investigación es que suponen la primera evidencia anatómica y funcional de los mecanismos que se comparten en la formación de recuerdos a corto y largo plazo, y cuáles son independientes en dicha formación.
Gracias a ellos, ahora se sabe que existen dos redes diferenciadas en las que se basa la memoria a corto plazo. Una funciona con independencia del hipocampo, y por ello no se ve afectada por los trastornos que afectan a esta región del cerebro, mientras que la otra depende de él. Los resultados de esta investigación han sido publicados en Proceedings of the National Academy of Sciences (PNAS).
Según un comunicado de la UCL, los neurocientíficos formularon la primera teoría a partir de observaciones realizadas con pacientes con amnesia, un trastorno que afecta a la capacidad de formar recuerdos a largo plazo.
Normalmente, la amnesia suele estar ocasionada por daños en una región del cerebro llamada hipocampo. Se sabe que esta región, que está situada en los lóbulos temporales, está involucrada en la memoria a largo plazo, la memoria espacial y los desplazamientos físicos. También es una de las primeras zonas afectadas por la enfermedad de Alzheimer, cuyos síntomas son las deficiencias de memoria y la desorientación.
A pesar de los daños sufridos en la memoria a largo plazo en aquellos pacientes con amnesia (y, en consecuencia, con trastornos en el hipocampo), éstos fueron capaces de recordar un número de teléfono durante periodos cortos de tiempo, siempre que no se distrajera su atención.
Este hecho condujo a la idea de que el hipocampo sería el responsable de la memoria a largo plazo, pero no de la memoria a corto plazo. Los hallazgos recientes realizados por los científicos de la UCL revelan que esta distinción entre ambos tipos de recuerdos debería ser revisada.
Redes neuronales distintas
Los investigadores de la UCL analizaron a pacientes que padecían epilepsia con origen en el lóbulo temporal, un tipo de epilepsia que provoca una marcada disfunción del hipocampo.
A los participantes se les pidió que observasen e intentaran memorizar imágenes fotográficas de escenas cotidianas, por ejemplo, de sillas y de una mesa situadas en una sala de estar. Mientras ellos recordaban las fotos, se midió su actividad cerebral en intervalos de tiempo cortos (de sólo cinco segundos) y largos (de 60 minutos).
Los registros cerebrales se realizaron con una técnica no invasiva denominada magnetoencefalografía (MEG), que registra la actividad funcional del cerebro mediante la captación de campos magnéticos, y que permite investigar las relaciones entre las estructuras cerebrales y sus funciones.
Con la MEG se constató que para la memoria a corto plazo acerca de los detalles de cada escena, por ejemplo, si la mesa estaba situada a la derecha o a la izquierda de las sillas, fue necesaria la actividad coordinada de una red de áreas cerebrales (región temporal y región visual), mientras que para la memoria a corto plazo general se puso en marcha una red neuronal muy diferente.
Consecuencias de la diferencia
Como consecuencia de sus trastornos, a los 60 minutos los participantes no fueron capaces ni de recordar detalles de las fotos ni de distinguir éstas de fotos nuevas.
Sin embargo, según uno de los autores del estudio, el profesor Emrah Duzel, tras cinco segundos, los pacientes sí pudieron distinguir las imágenes que ya habían memorizado de imágenes nuevas (recuerdo general), pero no de recordar la colocación detallada de los objetos en las escenas (recuerdo detallado).
Los científicos explican que esto se debe a que existirían dos redes distintas para la formación de recuerdos a corto plazo en el cerebro.
Una de estas redes funcionaría de forma independiente al hipocampo y se mantendría intacta en pacientes con daños en éste y, en consecuencia, con déficit de memoria a largo plazo.
La otra red sí que dependería del estado del hipocampo, y afectaría a la formación de los recuerdos a corto plazo, junto con la capacidad de formar recuerdos a largo plazo.
Primera evidencia anatómica y funcional
Otro autor de la investigación llamado Nathan Cashdollar, señala que a pesar de que otras observaciones recientes habían comenzado ya a desafiar la distinción clásica entre memoria a corto plazo y a largo plazo y su relación con el hipocampo, esta teoría se ha mantenido durante casi medio siglo.
La importancia de los resultados obtenidos en esta investigación es que suponen la primera evidencia anatómica y funcional de los mecanismos que se comparten en la formación de recuerdos a corto y largo plazo, y cuáles son independientes en dicha formación.
Gracias a ellos, ahora se sabe que existen dos redes diferenciadas en las que se basa la memoria a corto plazo. Una funciona con independencia del hipocampo, y por ello no se ve afectada por los trastornos que afectan a esta región del cerebro, mientras que la otra depende de él. Los resultados de esta investigación han sido publicados en Proceedings of the National Academy of Sciences (PNAS).

Tendencias Científicas

Los electrones abren un nuevo mundo a la física cuántica
CIENCIA ON LINE