Tendencias 21

   




TENDENCIAS CIENTÍFICAS

Crean el primer indicador científico de la distracción - 01/06/2007

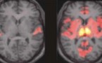
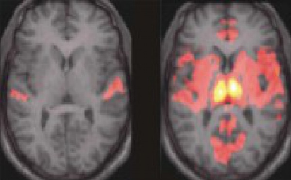
Psicólogos del University College de Londres han creado el primer indicador científico de la distracción, una distorsión de la atención poco conocida que frecuentemente origina problemas como accidentes graves o escaso rendimiento en el trabajo y los estudios. El indicador permite conocer el grado de distracción de los individuos al realizar ciertas tareas y servirá para “filtrar” con razones objetivas a aquellos aspirantes a trabajos que, por seguridad, requieren una alta capacidad de concentración. El indicador ha puesto de manifiesto asimismo que se puede reducir la tendencia a distraerse con ciertas actividades que reclamen toda nuestra atención, un hecho que tendría aplicaciones también en la educación.
(+)

Filmada por primera vez la vida y muerte de un fotón - 19/05/2007

Tras quince años de esfuerzos, un equipo de físicos franceses ha medido el estado de un fotón, o partícula cuántica de la luz, sin destruirlo. Gracias a una elaborada técnica, un único fotón ha podido ser atrapado dentro de una cavidad superconductora para observar, en tiempo real, su nacimiento, vida y muerte durante un intervalo de tiempo de segundos. Este experimento abre la posibilidad a extraer repetidamente información del mismo fotón, que de esta forma podría compartir su información con un conjunto de átomos y conformar un “entrelazamiento cuántico” de luz o materia que es la base de los ordenadores cuánticos.
(+)

Descubren cómo se comporta la luz para conseguir la invisibilidad - 10/05/2007

Matemáticos de las universidades de Liverpool y Marsella han utilizado un modelo computacional gratuito llamado GETDP para simular por primera vez cómo se comporta la luz cuando interacciona con los metamateriales y consigue el efecto óptico de la invisibilidad. Observaron que la luz toma la forma de estos metamateriales, sin ser fragmentada por el objeto, manteniendo las zonas de luz y sombra necesarias para que el objeto parezca invisible. Los metamateriales están siendo aplicados ya para recubrir objetos y que aparezcan como invisibles cuando la luz incide sobre ellos, pero gracias a la informática esta propiedad de los metamateriales es ahora mejor conocida y posibilitará mayores aplicaciones industriales y militares.
(+)

Un interruptor puede conseguirnos sueños felices - 04/05/2007

Utilizando la estimulación magnética transcraneal (TMS), neurólogos norteamericanos han conseguido con un solo impulso inducir ondas eléctricas idénticas a las que produce el cerebro de manera natural durante el sueño. Los investigadores aprendieron a ubicar el dispositivo TMS sobre una parte específica del cerebro en la que se originan estas ondas, para después viajar a través de todo el órgano. Aunque todavía harán falta nuevas investigaciones, con este “interruptor” se podría estimular magnéticamente una siesta artificial, que en pocas horas produciría los mismos beneficios que ocho horas de sueño.
(+)

La audición es tan importante como la visión para formar ilusiones ópticas - 27/04/2007

Una investigación neurológica ha descubierto que ciertas ilusiones visuales dependen de una rápida secuencia de interacciones entre las áreas de la corteza cerebral relacionadas con la audición y la visión. También observó que la fuerza de conexión entre las distintas cortezas cerebrales difiere de un individuo a otro, lo que sugiere que la conectividad neuronal posiblemente se forme durante el desarrollo de cada persona, de manera distinta. Finalmente, comprobó que la atención juega un importante papel en el proceso de formación de las ilusiones ópticas.
(+)

Confirman que la fotosíntesis es un proceso cuántico - 20/04/2007

El secreto de la eficiencia del proceso de la fotosíntesis, clave para muchas formas de vida, podría hallarse en un mecanismo cuántico que, por primera vez en la historia, ha podido observarse en laboratorio gracias a una técnica denominada de espectroscopia electrónica de dos dimensiones. Investigadores norteamericanos consideran que el descubrimiento de un notable tiempo de vida de la llamada coherencia cuántica proporciona una extrema eficacia a la fotosíntesis, y que capacita al sistema para probar simultáneamente todas las posibilidades de conducción de energía potencial. De esta forma, el sistema elige la más eficiente de ellas en el proceso de convertir la energía solar en energía vital.
(+)

Descubren por qué algunos ruidos nos despiertan mientras dormimos - 06/04/2007

Científicos alemanes han conseguido explicar por qué algunos ruidos nos despiertan, y otros no, en diferentes momentos del sueño profundo o REM. Observando imágenes cerebrales de resonancia magnética de voluntarios durmientes, descubrieron que el cerebro tiene diferentes momentos durante el sueño profundo, que se alternan a saltos. Uno de esos momentos, conocido como fásico, de actividad neurológica y ocular intensa, bloquea los ruidos del entorno. La segunda fase, llamada tónica, registra los estímulos sensoriales y adolece de los movimientos oculares rápidos. Un paso más hacia la comprensión del proceso del sueño.
(+)

Una mutación genética provocada permite a ratones ver en colores - 30/03/2007

Científicos estadounidenses han conseguido, introduciendo un único gen humano en un cromosoma de ratón, que aumente la gama de colores que perciben estos roedores. Los ratones fueron capaces de superar así una limitación genética propia de los mamíferos (exceptuando los primates), que es ver sólo en blanco y negro. La investigación ha demostrado que la llamada tricromacia, propia del ser humano y que nos permite percibir un espectro más amplio de ondas de luz, procede de un gen receptor concreto. Estos cambios genéticos simples implican que el sistema nervioso tiene una plasticidad que le permite adaptarse a nuevos estímulos.
(+)

Nuevos indicios sugieren que el Universo podría ser fractal - 23/03/2007

Las últimas observaciones del Universo sugieren que la materia oscura no se extiende de manera homogénea por el vacío, sino que forma estructuras fractales. Aunque esta teoría tiene ya diez años, las nuevas evidencias ponen de manifiesto su consistencia y plantean que quizá un mecanismo alternativo no descrito por la teoría de la relatividad general posibilitó el desarrollo del Universo desde sus orígenes. Un principio emergente, denominado “relatividad de escala”, sostiene que dicha fractalidad, también atribuida al espacio-tiempo, origina leyes del movimiento que son auto-organizadoras por naturaleza, capaces de producir la evolución de las estructuras de manera también fractal.
(+)

La mecánica cuántica desentraña los misterios del agua - 16/03/2007

La ecuación de Schrödinger, uno de los fundamentos de la teoría de la mecánica cuántica, ha desvelado el funcionamiento de las moléculas del agua gracias al uso de un conjunto de ordenadores superpotentes. Formada por dos átomos de hidrógeno y por uno de oxígeno, se cree que el secreto de las propiedades de este líquido tan común como misterioso radica en la capacidad de sus moléculas para formar determinados enlaces entre los átomos de hidrógeno. El desarrollo de este nuevo modelo informático podría tener múltiples aplicaciones, y quizá resuelva determinadas cuestiones como la razón por la que el agua, en estado sólido (hielo), no se hunde dentro de sí misma.
(+)
1 ... « 305 306 307 308 309 310 311 » ... 328