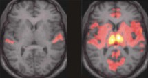
Momento tónico y fásico del cerebro en el sueño. Max-Planck-Institut für Psychiatrie
Científicos del Instituto Max-Planck de investigación en psiquiatría, con sede en Munich, han observado, por vez primera, cómo se comporta el cerebro durante el sueño.
Lo han conseguido registrando la actividad cerebral de voluntarios mientras dormían, a través de imágenes de resonancia magnética funcional o RMF, que permiten mostrar las regiones cerebrales mientras ejecutan una tarea determinada.
El sueño es un estado de reposo uniforme de un organismo, en el que se alcanzan niveles bajos de actividad fisiológica (presión sanguínea, respiración o latidos del corazón), así como una menor respuesta a estímulos externos.
El acto de dormir no es uniforme, sino que pasa por diversas etapas en las que soñamos de manera más o menos elaborada o profunda. Los sueños son más elaborados durante una fase del sueño denominada REM, que tiene lugar en el último tramo del sueño.
Durante la fase REM (de Rapid Eye Movement o movimiento ocular rápido), los ojos se mueven rápidamente y la actividad de las neuronas del cerebro se asemeja a la de la vigilia, al igual que la actividad fisiológica. Por esta razón, también se la denomina fase del sueño paradójico. También existe una fase de sueño sin movimientos oculares rápidos conocida como NREM. Esta fase se subclasifica a su vez en 4 estadios diferentes de evolución durante la noche.
Dos fases REM
La fase REM es completamente diferente del resto de las fases del sueño, caracterizadas por ondas cerebrales lentas, según lecturas del encefalograma. Durante una noche, una persona normalmente tiene cuatro o cinco períodos de sueño REM, muy cortos al principio de la noche y más largos al final.
Según explica en Instituto Max-Planck en un comunicado, los investigadores, liderados por el profesor Michael Czisch, descubrieron que la fase REM del sueño podría estar a su vez dividida en otras dos fases distintas.
Cuando los movimientos oculares son especialmente rápidos, la actividad en algunas partes del cerebro es muy intensa. Entonces, los ruidos que oímos en ese momento (en el caso del experimento ruidos repetitivos o la melodía de un piano) son completamente ocultados por el cerebro. Esta “subfase” REM ha sido denominada “fásica” y se ha descubierto que no es continua, sino que va a “saltos”.
Entre dos subfases fásicas, el durmiente pasa por otra subfase muy breve, bautizada como “tónica”, en la que los estímulos sensoriales sí son registrados por el cerebro y los movimientos oculares rápidos no aparecen.
Este descubrimiento, publicado en la revista European Journal of Neuroscience, explica por qué en algunos momentos del sueño profundo somos insensibles a los ruidos, mientras que en otros nos despierta cualquier alteración del entorno: es la actividad cerebral la que regula la intensidad del sueño, estableciendo fases aleatorias que abren o cierran el acceso a los estímulos sensoriales.
Años de investigación
El descubrimiento arroja nueva luz sobre un campo de investigación, el de los sueños, que está todavía en sus inicios. Y, aunque todavía no se comprende del todo la función de la fase del sueño REM, se han propuesto varias teorías.
Una teoría considera que la memoria se consolida durante esta etapa. Sin embargo, las evidencias apuntan lo contrario; en personas que no tienen sueño REM, a causa de daños cerebrales o consumo de drogas, las funciones de la memoria no se ven afectadas.
Otra teoría es que la inhibición de las monoaminas, grupo principal de neurotransmisores del sistema nervioso, es necesaria para que los receptores de monoaminas del cerebro puedan recuperar completamente la sensibilidad.
Ciertamente, si se interrumpe repetidamente el sueño REM, el individuo responde con un sueño REM más largo en la siguiente oportunidad. Interrumpir el sueño REM puede mejorar determinados tipos de depresión. La depresión parece estar relacionada con un desequilibrio de ciertos neurotransmisores, como la serotonina.
Según una tercera teoría, el sueño REM de los recién nacidos ofrece la estimulación neural necesaria para que maduren las conexiones neurales. De ahí, que los animales que nacen maduros no lo necesitan. Apoya esta teoría el hecho de que la cantidad de sueño REM decrece con la edad.
Durante el último siglo, se ha avanzado en el estudio científico de los sueños, ya que la tecnología ha facilitado en gran medida el acercamiento a lo que podríamos llamar "energía del sueño".
Sistemas avanzados de scanners han detectado que en numerosas ocasiones los sueños son bucles de actividad cerebral que se repiten noche tras noche, y que se repiten en cada paciente, lo que indica que cada sujeto tiene una forma única e irrepetible de soñar, pues la actividad cerebral representada por ondas electromagnéticas en las pantallas de esos scanners presentan gráficas muy similares en cada paciente, y distintas entre dos de ellos.
Lo han conseguido registrando la actividad cerebral de voluntarios mientras dormían, a través de imágenes de resonancia magnética funcional o RMF, que permiten mostrar las regiones cerebrales mientras ejecutan una tarea determinada.
El sueño es un estado de reposo uniforme de un organismo, en el que se alcanzan niveles bajos de actividad fisiológica (presión sanguínea, respiración o latidos del corazón), así como una menor respuesta a estímulos externos.
El acto de dormir no es uniforme, sino que pasa por diversas etapas en las que soñamos de manera más o menos elaborada o profunda. Los sueños son más elaborados durante una fase del sueño denominada REM, que tiene lugar en el último tramo del sueño.
Durante la fase REM (de Rapid Eye Movement o movimiento ocular rápido), los ojos se mueven rápidamente y la actividad de las neuronas del cerebro se asemeja a la de la vigilia, al igual que la actividad fisiológica. Por esta razón, también se la denomina fase del sueño paradójico. También existe una fase de sueño sin movimientos oculares rápidos conocida como NREM. Esta fase se subclasifica a su vez en 4 estadios diferentes de evolución durante la noche.
Dos fases REM
La fase REM es completamente diferente del resto de las fases del sueño, caracterizadas por ondas cerebrales lentas, según lecturas del encefalograma. Durante una noche, una persona normalmente tiene cuatro o cinco períodos de sueño REM, muy cortos al principio de la noche y más largos al final.
Según explica en Instituto Max-Planck en un comunicado, los investigadores, liderados por el profesor Michael Czisch, descubrieron que la fase REM del sueño podría estar a su vez dividida en otras dos fases distintas.
Cuando los movimientos oculares son especialmente rápidos, la actividad en algunas partes del cerebro es muy intensa. Entonces, los ruidos que oímos en ese momento (en el caso del experimento ruidos repetitivos o la melodía de un piano) son completamente ocultados por el cerebro. Esta “subfase” REM ha sido denominada “fásica” y se ha descubierto que no es continua, sino que va a “saltos”.
Entre dos subfases fásicas, el durmiente pasa por otra subfase muy breve, bautizada como “tónica”, en la que los estímulos sensoriales sí son registrados por el cerebro y los movimientos oculares rápidos no aparecen.
Este descubrimiento, publicado en la revista European Journal of Neuroscience, explica por qué en algunos momentos del sueño profundo somos insensibles a los ruidos, mientras que en otros nos despierta cualquier alteración del entorno: es la actividad cerebral la que regula la intensidad del sueño, estableciendo fases aleatorias que abren o cierran el acceso a los estímulos sensoriales.
Años de investigación
El descubrimiento arroja nueva luz sobre un campo de investigación, el de los sueños, que está todavía en sus inicios. Y, aunque todavía no se comprende del todo la función de la fase del sueño REM, se han propuesto varias teorías.
Una teoría considera que la memoria se consolida durante esta etapa. Sin embargo, las evidencias apuntan lo contrario; en personas que no tienen sueño REM, a causa de daños cerebrales o consumo de drogas, las funciones de la memoria no se ven afectadas.
Otra teoría es que la inhibición de las monoaminas, grupo principal de neurotransmisores del sistema nervioso, es necesaria para que los receptores de monoaminas del cerebro puedan recuperar completamente la sensibilidad.
Ciertamente, si se interrumpe repetidamente el sueño REM, el individuo responde con un sueño REM más largo en la siguiente oportunidad. Interrumpir el sueño REM puede mejorar determinados tipos de depresión. La depresión parece estar relacionada con un desequilibrio de ciertos neurotransmisores, como la serotonina.
Según una tercera teoría, el sueño REM de los recién nacidos ofrece la estimulación neural necesaria para que maduren las conexiones neurales. De ahí, que los animales que nacen maduros no lo necesitan. Apoya esta teoría el hecho de que la cantidad de sueño REM decrece con la edad.
Durante el último siglo, se ha avanzado en el estudio científico de los sueños, ya que la tecnología ha facilitado en gran medida el acercamiento a lo que podríamos llamar "energía del sueño".
Sistemas avanzados de scanners han detectado que en numerosas ocasiones los sueños son bucles de actividad cerebral que se repiten noche tras noche, y que se repiten en cada paciente, lo que indica que cada sujeto tiene una forma única e irrepetible de soñar, pues la actividad cerebral representada por ondas electromagnéticas en las pantallas de esos scanners presentan gráficas muy similares en cada paciente, y distintas entre dos de ellos.

Tendencias Científicas

Los electrones abren un nuevo mundo a la física cuántica
CIENCIA ON LINE