Tendencias 21

   




TENDENCIAS INFORMÁTICAS

Un software descifra palabras incompletas de textos históricos - 07/01/2016

Estudiantes de Ingeniería y Artes de Estados Unidos se han valido del conocimiento digital para solucionar los problemas de transcripción de textos históricos digitalizados. Utilizando el modelado del lenguaje, técnica utilizada en programas de autocorrección y de reconocimiento de voz, han creado un software que ofrece posibilidades para corregir las palabras que faltan o los errores ortográficos en función del contexto.
(+)

Un software detecta mentiras en los juicios con una precisión del 75% - 16/12/2015

Investigadores de la Universidad de Michigan (EEUU) han creado un sistema de detección de engaño que permite discriminar entre declaraciones veraces e inciertas de los acusados y testigos en un juicio, basándose en el lenguaje verbal y gestual. El software alcanza una precisión del 75 por ciento.
(+)

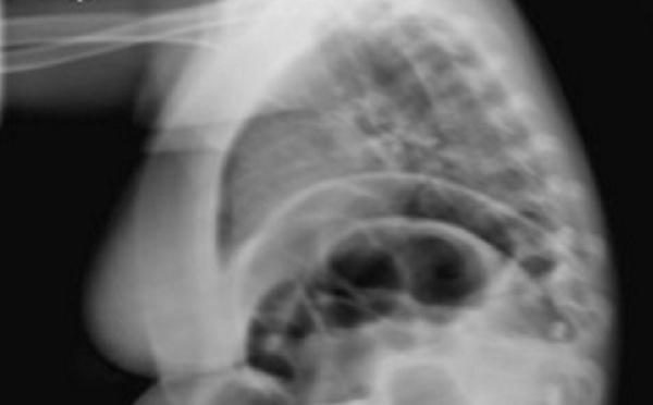
El software de la Xbox mejora las radiografías - 09/12/2015

Científicos, informáticos y otros investigadores tratan de aprovechar el potencial de la tecnología Kinect de Microsoft para aplicaciones ajenas al videojuego. Es el caso de un equipo de la Universidad de Washington en St. Louis (EEUU), que ha adaptado el software y la tecnología de la Xbox para conseguir radiografías de mayor precisión y calidad reduciendo al mínimo la exposición a radiación.
(+)

Computación afectiva para la vida cotidiana - 02/12/2015

La publicidad ha encontrado una valiosa herramienta en el reconocimiento de expresiones faciales desde un ordenador, lo que se conoce como computación afectiva. Sin embargo, los desarrolladores de esta herramienta quieren dar un paso más e integrarla en las rutinas de la vida diaria. Las aplicaciones serían incalculables.
(+)

Un algoritmo determina cómo les va a las parejas ‘escuchando’ sus conversaciones - 25/11/2015

Las palabras pueden engañar, pero el tono de voz no. Esa ha sido la premisa de una investigación de la Universidad del Sur de California y la Universidad de Utah (EEUU). En ella se ha desarrollado un algoritmo que predice si una relación de pareja irá a mejor o a peor, a partir del tono de voz con que sus miembros se hablan.
(+)

Microsoft lanza herramientas que simulan al ordenador cuántico - 18/11/2015

La computación cuántica es una de las ambiciones de la industria tecnológica para las próximas décadas. Mientras llega, los investigadores quieren preparar el terreno para poder darle uso en cuanto esté disponible. En ello trabaja el Grupo de Investigación Cuántica de Microsoft, para lo que ha lanzado públicamente un conjunto de herramientas que permitirá simular capacidades de un ordenador cuántico.
(+)

Fabrican unas smartglasses tan delgadas y ligeras como las gafas ordinarias - 13/11/2015

Científicos del Centro de Investigación Técnica de Finlandia han desarrollado una tecnología de visualización que pronto puede acabar con el aspecto rudo e incómodo de las smartglasses actuales. Basándose en guías de luz ópticas han conseguido unas pantallas delgadas, ligeras y mucho más discretas para integrar en las lentes dentro del campo de visión del usuario.
(+)

Un software convierte automáticamente las retransmisiones de fútbol de 2D a 3D - 11/11/2015

Investigadores del Instituto Tecnológico de Massachusetts y el Instituto de Investigación Informática de Qatar han desarrollado un sistema que convierte automáticamente vídeos 2D de partidos de fútbol en 3D. Para ello aprovechan la tecnología de los videojuegos deportivos, realizando capturas de pantalla de la acción para extraer la tridimensionalidad.
(+)

Nueva tecnología de Fujitsu convierte datos biométricos en claves criptográficas - 04/11/2015

La empresa japonesa Fujitsu ha desarrollado un software que utiliza datos biométricos directamente como base para el cifrado y descifrado de información confidencial, simplificación y fortaleciendo al mismo tiempo los sistemas de seguridad que se basan en la biometría. De momento, la herramienta se puede utilizar con exploraciones de las venas de las palmas de las mano.
(+)
1 ... « 4 5 6 7 8 9 10 » ... 63