Tendencias 21

   




TENDENCIAS DE LA MÚSICA

Un tratamiento pisquiátrico alternativo para niños con ansiedad: tocar un instrumento - 30/12/2014

Según un estudio de la Escuela Médica de la Universidad de Vermont (EEUU), el entrenamiento musical ayuda a los pequeños a centrar su atención, controlar sus emociones y a disminuir su ansiedad. Los científicos concluyen que la práctica musical puede ayudar psicológicamente más a algunos niños que un tratamiento médico y que, por tanto, debería generalizarse desde la infancia.
(+)

La capacidad de seguir el ritmo es una forma de interacción humana - 18/12/2014

Los científicos sospechan que, en el caso de nuestra especie, las habilidades musicales y rítmicas evolucionaron para fortalecer lazos sociales, como un medio de coordinación e interacción. Diversos estudios con animales sugieren que, con la gran mayoría de estos, no sucedió lo mismo. Aunque hay sorprendentes excepciones, como han demostrado diversos estudios con bonobos.
(+)

Encuentran por casualidad la pieza de música polifónica más antigua conocida - 17/12/2014

El ejemplo más antiguo conocido de música polifónica ha sido encontrado por casualidad en la Biblioteca Británica de Londres. La pieza sitúa el origen de este tipo de música, que definió la mayoría de la música europea hasta el siglo XX, en el año 900, es decir, un siglo antes de lo que se creía hasta ahora.
(+)

Nuestros gustos musicales están basados en percepciones compartidas - 21/11/2014

¿Qué es lo que realmente oímos cuando escuchamos música? Científicos del Real Instituto de Tecnología de Suecia (KTH) han hallado una respuesta reduciendo nuestra percepción de la música a nueve elementos básicos: las "características perceptivas". Estas constituyen un "nivel de análisis musical intermedio" común a todas las personas.
(+)

Escuchar música jazz mejora la puntería - 13/11/2014

Escuchar música jazz puede aumentar la puntería, ha revelado un estudio de la Clarkson University de Estados Unidos, realizado con jugadores de golf. Estudios previos habían señalado otros efectos positivos de la música sobre el rendimiento deportivo.
(+)

Los ordenadores compositores democratizarán la música - 22/07/2014

Ayer se celebró en el Museo Interactivo de la Música de Málaga (MIMMA) un simposio sobre música creada por ordenadores. En él, entre otras cosas, se presentaron los últimos avances de la tecnología Melomics, desarrollada por expertos de la Universidad de Málaga. Con ella se ha logrado crear dos álbumes de música artificial y desarrollar aplicaciones musicales para smartphones, destinadas a aliviar el dolor y la angustia.
(+)

Nueva técnica 'convierte' en música características morfológicas de las neuronas - 26/06/2014

Investigadores de la UPM, la Universidad Rey Juan Carlos y el CSIC han desarrollado una herramienta informática que transforma características morfológicas de las espinas dendríticas de las neuronas en notas musicales. Con ella se podrá comprender mejor el funcionamiento del cerebro y se buscarán nuevas soluciones para lucar contra enfermedades como el Alzhéimer, la epilepsia o el párkinson.
(+)

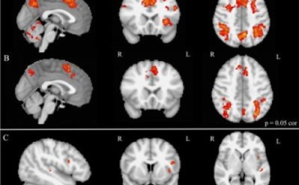
Entrenamiento musical para mejorar el rendimiento académico - 19/06/2014

Las funciones ejecutivas son aquellos procesos cognitivos de alto nivel que permiten a las personas procesar y retener información o regular sus conductas. Un estudio realizado con la técnica de imágenes de resonancia magnética funcional (fMRI) ha revelado que los cerebros de los niños musicalmente entrenados tienen una actividad mayor en las regiones cerebrales vinculadas a dichas funciones, a su vez relacionadas con un buen rendimiento académico.
(+)

Algunas personas no sienten emoción alguna al escuchar música - 07/03/2014

Los circuitos cerebrales relacionados con el placer de escuchar música son específicos, y distintos por ejemplo a los del placer relacionado con obtener dinero. Así lo ha observado un estudio de científicos catalanes, que demuestra además que personas capaces de estimularse ante la posibilidad de ganar dinero, y de distinguir racionalmente si una música es triste o alegre, no muestran sin embargo alteraciones emocionales al escuchar esa música.
(+)

Los músicos de 'jazz' improvisan sus composiciones como quien construye frases - 20/02/2014

Los músicos de jazz que improvisan están utilizando las áreas del cerebro relacionadas con la sintaxis del lenguaje, pero no las vinculadas con la semántica. Así lo han determinado científicos de la Universidad Johns Hopkins, de Maryland (EE.UU.), mediante resonancias magnéticas realizadas a los músicos mientras tocaban.
(+)
1 2 3 4 5 » ... 6