Imagen: chrisharvey. Fuente: PhotoXpress.
Mientras los médicos de la Universidad de Iowa (Estados Unidos) preparaban a una paciente para que esta inhalase una dosis de dióxido de carbono inductora del pánico, ella no sentía ningún miedo. Sin embargo, pocos segundos después de la inhalación de la mezcla, la mujer gritó pidiendo ayuda, abrumada por la sensación de que se estaba asfixiando.
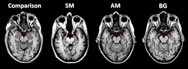
La paciente, una mujer de 40 años conocida como SM, presenta una condición extremadamente rara, denominada enfermedad Urbach-Wiethe, un trastorno que ocasiona grandes daños en la amígdala, un área cerebral con forma de almendra que está vinculada al temor. Desde que comenzara a sufrir esta enfermedad, cuando aún era una adolescente, la paciente no había vuelto a sentir miedo.
En un artículo publicado por la revista Nature Neuroscience, el equipo de la UI ha proporcionado sin embargo una prueba de que la amígdala no es la única ‘puerta al miedo’ de la mente humana. Otras regiones cerebrales, como el tronco cerebral, el diencéfalo o la corteza insular pueden registrar las señales orgánicas más primarias generadas por el peligro, cuando la supervivencia está amenazada, publica la Universidad de Iowa en un comunicado.
"Esta investigación indica que el pánico o miedo intenso se produce en algún lugar externo a la amígdala", afirma John Wemmie, profesor asociado de psiquiatría de la UI y autor principal del artículo. "Esto podría resultar clave para explicar por qué las personas sufren ataques de pánico ", que son períodos en los que el individuo padece de una manera súbita un miedo intenso con una duración variable: de minutos a horas.
Nuevas vías para curar el pánico
Estas vías del temor humano más radical recién descubiertas podrían convertirse en dianas para el tratamiento tanto de los ataques de pánico como del trastorno por estrés postraumático (TEPT) y otros episodios relacionados con la ansiedad o con afecciones causadas por desencadenantes emocionales.
"Nuestros hallazgos pueden arrojar luz sobre cómo una respuesta normal puede provocar un trastorno, y también sobre potenciales métodos de tratamiento", señala por su parte Daniel Tranel, profesor de neurología y psicología de la UI y co-autor del artículo de Nature Neuroscience.
Décadas de investigación han demostrado que la amígdala juega un papel central en la generación del miedo como respuesta a amenazas externas. De hecho, los investigadores de la IU han trabajado durante años con SM, y han comprobado que esta no ha sentido miedo ante serpientes, arañas, películas de terror, casas embrujadas y otros peligros, incluyendo un incidente en el que fue amenazada con un cuchillo. Pero la respuesta de esta paciente a las amenazas nunca había sido explorada como ahora.
El equipo de la UI decidió probar con SM y otras dos pacientes cuya amígdala estaba dañada, su respuesta a una amenaza bien conocida. En este caso, se pidió a las participantes, todas mujeres, que inhalasen una mezcla de gases que contenía un 35% de dióxido de carbono. Este tipo de prueba constituye uno de los experimentos más comúnmente utilizados en laboratorio para inducir ataques de pánico breves, de una duración de entre 30 segundos y un minuto.
Las pacientes tomaron una profunda bocanada del gas, y rápidamente tuvieron el ataque de pánico clásico como respuesta al dióxido de carbono, entre personas sin daño cerebral: abrieron la boca para tomar aire, su ritmo cardíaco se disparó, se preocuparon, y trataron de arrancarse la máscara de inhalación. Después, informaron de sensaciones que para ellas resultaban totalmente novedosas, y que describieron como ‘pánico’. "Temieron por sus vidas", afirma Feinstein.
La paciente, una mujer de 40 años conocida como SM, presenta una condición extremadamente rara, denominada enfermedad Urbach-Wiethe, un trastorno que ocasiona grandes daños en la amígdala, un área cerebral con forma de almendra que está vinculada al temor. Desde que comenzara a sufrir esta enfermedad, cuando aún era una adolescente, la paciente no había vuelto a sentir miedo.
En un artículo publicado por la revista Nature Neuroscience, el equipo de la UI ha proporcionado sin embargo una prueba de que la amígdala no es la única ‘puerta al miedo’ de la mente humana. Otras regiones cerebrales, como el tronco cerebral, el diencéfalo o la corteza insular pueden registrar las señales orgánicas más primarias generadas por el peligro, cuando la supervivencia está amenazada, publica la Universidad de Iowa en un comunicado.
"Esta investigación indica que el pánico o miedo intenso se produce en algún lugar externo a la amígdala", afirma John Wemmie, profesor asociado de psiquiatría de la UI y autor principal del artículo. "Esto podría resultar clave para explicar por qué las personas sufren ataques de pánico ", que son períodos en los que el individuo padece de una manera súbita un miedo intenso con una duración variable: de minutos a horas.
Nuevas vías para curar el pánico
Estas vías del temor humano más radical recién descubiertas podrían convertirse en dianas para el tratamiento tanto de los ataques de pánico como del trastorno por estrés postraumático (TEPT) y otros episodios relacionados con la ansiedad o con afecciones causadas por desencadenantes emocionales.
"Nuestros hallazgos pueden arrojar luz sobre cómo una respuesta normal puede provocar un trastorno, y también sobre potenciales métodos de tratamiento", señala por su parte Daniel Tranel, profesor de neurología y psicología de la UI y co-autor del artículo de Nature Neuroscience.
Décadas de investigación han demostrado que la amígdala juega un papel central en la generación del miedo como respuesta a amenazas externas. De hecho, los investigadores de la IU han trabajado durante años con SM, y han comprobado que esta no ha sentido miedo ante serpientes, arañas, películas de terror, casas embrujadas y otros peligros, incluyendo un incidente en el que fue amenazada con un cuchillo. Pero la respuesta de esta paciente a las amenazas nunca había sido explorada como ahora.
El equipo de la UI decidió probar con SM y otras dos pacientes cuya amígdala estaba dañada, su respuesta a una amenaza bien conocida. En este caso, se pidió a las participantes, todas mujeres, que inhalasen una mezcla de gases que contenía un 35% de dióxido de carbono. Este tipo de prueba constituye uno de los experimentos más comúnmente utilizados en laboratorio para inducir ataques de pánico breves, de una duración de entre 30 segundos y un minuto.
Las pacientes tomaron una profunda bocanada del gas, y rápidamente tuvieron el ataque de pánico clásico como respuesta al dióxido de carbono, entre personas sin daño cerebral: abrieron la boca para tomar aire, su ritmo cardíaco se disparó, se preocuparon, y trataron de arrancarse la máscara de inhalación. Después, informaron de sensaciones que para ellas resultaban totalmente novedosas, y que describieron como ‘pánico’. "Temieron por sus vidas", afirma Feinstein.
Miedo exterior e interior
Anteriormente, Wemmie había estudiado la respuesta de ratones al miedo. Sus descubrimientos a este respecto fueron publicados en la revista Cell en 2009, en un artículo que demostraba que la amígdala puede detectar directamente el dióxido de carbono para producir temor. El científico esperaba encontrar el mismo patrón en humanos.
Sin embargo, "nos sorprendió por completo que las pacientes tuvieran un ataque de pánico" (al carecer de una amígdala funcional), afirma Wemmie. Antes, ninguna de estas tres pacientes había presentado un historial de ataques de pánico.
Como contraste, sólo tres de otros 12 participantes sanos (con una amígdala corriente) sometidos al mismo experimento sufrieron pánico, una tasa similar a la de adultos sin antecedentes de ataques de pánico. Este hallazgo sugiere que una amígdala intacta podría inhibir el pánico.
Curiosamente, las pacientes con la amígdala dañada no tuvieron un miedo previo a la prueba, a diferencia de los participantes sanos, muchos de los cuales comenzaron a sudar y a presentar una frecuencia cardiaca elevada, justo antes de la inhalación del dióxido de carbono. Eso, por supuesto, era coherente con la idea de que la amígdala detecta el peligro externo y, en consecuencia, el organismo fisiológicamente se prepara para hacer frente a la amenaza.
De todos estos resultados, los científicos concluyen que "la información del mundo exterior se filtra a través de la amígdala y genera miedo", señala Feinstein. "Por otra parte, las señales de peligro que llegan desde el interior del cuerpo pueden provocar una forma muy primaria de miedo, incluso cuando la amígdala está deteriorada y no funciona correctamente”.
Anteriormente, Wemmie había estudiado la respuesta de ratones al miedo. Sus descubrimientos a este respecto fueron publicados en la revista Cell en 2009, en un artículo que demostraba que la amígdala puede detectar directamente el dióxido de carbono para producir temor. El científico esperaba encontrar el mismo patrón en humanos.
Sin embargo, "nos sorprendió por completo que las pacientes tuvieran un ataque de pánico" (al carecer de una amígdala funcional), afirma Wemmie. Antes, ninguna de estas tres pacientes había presentado un historial de ataques de pánico.
Como contraste, sólo tres de otros 12 participantes sanos (con una amígdala corriente) sometidos al mismo experimento sufrieron pánico, una tasa similar a la de adultos sin antecedentes de ataques de pánico. Este hallazgo sugiere que una amígdala intacta podría inhibir el pánico.
Curiosamente, las pacientes con la amígdala dañada no tuvieron un miedo previo a la prueba, a diferencia de los participantes sanos, muchos de los cuales comenzaron a sudar y a presentar una frecuencia cardiaca elevada, justo antes de la inhalación del dióxido de carbono. Eso, por supuesto, era coherente con la idea de que la amígdala detecta el peligro externo y, en consecuencia, el organismo fisiológicamente se prepara para hacer frente a la amenaza.
De todos estos resultados, los científicos concluyen que "la información del mundo exterior se filtra a través de la amígdala y genera miedo", señala Feinstein. "Por otra parte, las señales de peligro que llegan desde el interior del cuerpo pueden provocar una forma muy primaria de miedo, incluso cuando la amígdala está deteriorada y no funciona correctamente”.
Referencias bibliográficas:
Adam E. Ziemann, Jason E. Allen, Nader S. Dahdaleh, Iuliia I. Drebot, Matthew W. Coryell, Amanda M. Wunsch, Cynthia M. Lynch, Frank M. Faraci, Matthew A. Howard, Michael J. Welsh, John A. Wemmie. The Amygdala Is a Chemosensor that Detects Carbon Dioxide and Acidosis to Elicit Fear Behavior. Cell (2009). DOI: 10.1016/j.cell.2009.10.029.
Justin S Feinstein, Colin Buzza, Rene Hurlemann, Robin L Follmer, Nader S Dahdaleh, William H Coryell, Michael J Welsh, Daniel Tranel, John A Wemmie. Fear and panic in humans with bilateral amygdala damage. Nature Neuroscience (2013). DOI: 10.1038/nn.3323.
Adam E. Ziemann, Jason E. Allen, Nader S. Dahdaleh, Iuliia I. Drebot, Matthew W. Coryell, Amanda M. Wunsch, Cynthia M. Lynch, Frank M. Faraci, Matthew A. Howard, Michael J. Welsh, John A. Wemmie. The Amygdala Is a Chemosensor that Detects Carbon Dioxide and Acidosis to Elicit Fear Behavior. Cell (2009). DOI: 10.1016/j.cell.2009.10.029.
Justin S Feinstein, Colin Buzza, Rene Hurlemann, Robin L Follmer, Nader S Dahdaleh, William H Coryell, Michael J Welsh, Daniel Tranel, John A Wemmie. Fear and panic in humans with bilateral amygdala damage. Nature Neuroscience (2013). DOI: 10.1038/nn.3323.

Tendencias Científicas

Los electrones abren un nuevo mundo a la física cuántica
CIENCIA ON LINE