Las experiencias religiosas y espirituales activan los circuitos de recompensa del cerebro de la misma manera que lo hacen el amor, el sexo, el juego, las drogas y la música, según una investigación de la Escuela de Medicina de la Universidad de Utah que han sido publicada en la revista Social Neuroscience.
"Estamos empezando a entender cómo el cerebro participa en experiencias que los creyentes interpretan como espiritual, divina o trascendente," dice el autor de esta investigación Jeff Anderson en un comunicado de la citada universidad. "En los últimos años, las tecnologías de imágenes cerebrales han madurado de manera que nos permiten abordar las preguntas que han existido durante milenios", añade.
El método de análisis cerebral aplicado por los investigadores es la técnica de imagen por resonancia magnética funcional (IRMf), un procedimiento clínico y de investigación que permite visualizar las regiones cerebrales que ejecutan una determinada tarea.
Específicamente, los investigadores se propusieron determinar qué circuitos cerebrales están involucrados en representar los sentimientos espirituales de un grupo de personas, en este caso la colectividad religiosa de los mormones, creando un ambiente que llevaba a los participantes a "sentir el Espíritu".
Identificar este sentimiento de paz y cercanía con Dios en uno mismo y en los otros es una parte muy importante de la vida de los mormones, ya que toman decisiones basadas en estos sentimientos; los tratan como confirmación de principios doctrinales y los ven como un medio primario de comunicación con lo divino.
¿Estás sintiendo al espíritu?
Durante las exploraciones de fMRI, 19 miembros de la iglesia, jóvenes adultos (7 mujeres y 12 hombres) realizaron cuatro tareas en respuesta a contenidos destinados a evocar sentimientos espirituales. El examen de una hora incluyó seis minutos de descanso; seis minutos de control audiovisual (un video que detalla las estadísticas de membresía de su iglesia); ocho minutos de citas de de mormones y de líderes religiosos del mundo; ocho minutos de lectura de pasajes conocidos de "la biblia" de los mormones; 12 minutos de estímulos audiovisuales (video producido por la iglesia de escenas familiares y bíblicas, y otros contenidos religiosos evocadores); y otros ocho minutos de citas textuales relacionadas con su cultura religiosa.
Durante la parte inicial del examen, a los participantes - cada uno de los cuales había sido un antiguo miembro a tiempo completo de su comunidad - se les mostró una serie de citas textuales, cada una seguida por la pregunta "¿Estás sintiendo el espíritu?" Los participantes respondieron con respuestas que van desde "no sentir" hasta "sentimiento muy fuerte".
Los investigadores recopilaron evaluaciones detalladas de los sentimientos de los participantes, quienes, casi universalmente, señalaron haber experimentado los tipos de sentimientos típicos de un intenso servicio religioso.
Describían sentimientos de paz y sensaciones físicas de calor. Muchos lloraron. Durante el experimento, los participantes pulsaron un botón cuando sentían un sentimiento espiritual mientras miraban los estímulos producidos por la cultura de su iglesia.
"Cuando nuestros participantes del estudio fueron inducidos a pensar en un salvador, en estar con sus familias para toda la eternidad, en recompensas celestiales, sus cerebros y cuerpos respondieron físicamente", dice el autor Michael Ferguson, quien llevó a cabo el estudio como estudiante de posgrado en bioingeniería en la Universidad de Utah.
"Estamos empezando a entender cómo el cerebro participa en experiencias que los creyentes interpretan como espiritual, divina o trascendente," dice el autor de esta investigación Jeff Anderson en un comunicado de la citada universidad. "En los últimos años, las tecnologías de imágenes cerebrales han madurado de manera que nos permiten abordar las preguntas que han existido durante milenios", añade.
El método de análisis cerebral aplicado por los investigadores es la técnica de imagen por resonancia magnética funcional (IRMf), un procedimiento clínico y de investigación que permite visualizar las regiones cerebrales que ejecutan una determinada tarea.
Específicamente, los investigadores se propusieron determinar qué circuitos cerebrales están involucrados en representar los sentimientos espirituales de un grupo de personas, en este caso la colectividad religiosa de los mormones, creando un ambiente que llevaba a los participantes a "sentir el Espíritu".
Identificar este sentimiento de paz y cercanía con Dios en uno mismo y en los otros es una parte muy importante de la vida de los mormones, ya que toman decisiones basadas en estos sentimientos; los tratan como confirmación de principios doctrinales y los ven como un medio primario de comunicación con lo divino.
¿Estás sintiendo al espíritu?
Durante las exploraciones de fMRI, 19 miembros de la iglesia, jóvenes adultos (7 mujeres y 12 hombres) realizaron cuatro tareas en respuesta a contenidos destinados a evocar sentimientos espirituales. El examen de una hora incluyó seis minutos de descanso; seis minutos de control audiovisual (un video que detalla las estadísticas de membresía de su iglesia); ocho minutos de citas de de mormones y de líderes religiosos del mundo; ocho minutos de lectura de pasajes conocidos de "la biblia" de los mormones; 12 minutos de estímulos audiovisuales (video producido por la iglesia de escenas familiares y bíblicas, y otros contenidos religiosos evocadores); y otros ocho minutos de citas textuales relacionadas con su cultura religiosa.
Durante la parte inicial del examen, a los participantes - cada uno de los cuales había sido un antiguo miembro a tiempo completo de su comunidad - se les mostró una serie de citas textuales, cada una seguida por la pregunta "¿Estás sintiendo el espíritu?" Los participantes respondieron con respuestas que van desde "no sentir" hasta "sentimiento muy fuerte".
Los investigadores recopilaron evaluaciones detalladas de los sentimientos de los participantes, quienes, casi universalmente, señalaron haber experimentado los tipos de sentimientos típicos de un intenso servicio religioso.
Describían sentimientos de paz y sensaciones físicas de calor. Muchos lloraron. Durante el experimento, los participantes pulsaron un botón cuando sentían un sentimiento espiritual mientras miraban los estímulos producidos por la cultura de su iglesia.
"Cuando nuestros participantes del estudio fueron inducidos a pensar en un salvador, en estar con sus familias para toda la eternidad, en recompensas celestiales, sus cerebros y cuerpos respondieron físicamente", dice el autor Michael Ferguson, quien llevó a cabo el estudio como estudiante de posgrado en bioingeniería en la Universidad de Utah.
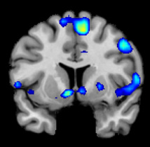
Lo que dicen las imágenes cerebrales
La exploración de fMRI de los sujetos participantes en el estudio muestra regiones del cerebro que se vuelven activas cuando los participantes tienen una experiencia espiritual, incluyendo un centro de recompensa en el cerebro, el núcleo accumbens, un grupo de neuronas del encéfalo a las que se atribuye una función importante en el placer y el sistema de recompensa.
Basados en las exploraciones de fMRI, los investigadores descubrieron que los sentimientos espirituales activan el núcleo accumbens, una región crítica del cerebro para procesar la recompensa. El circuito de recompensa es un grupo de estructuras neuronales del cerebro relacionado con el deseo, el placer y el refuerzo positivo.
La actividad de pico ocurrió aproximadamente 1-3 segundos antes de que los participantes pulsaran el botón y se repitió en cada una de las cuatro tareas. Cuando los participantes experimentaban picos de intensidad en sus sentimientos, sus corazones latían más rápido y su respiración se había más profunda.
Además de los circuitos de recompensa del cerebro, los investigadores descubrieron que los sentimientos espirituales estaban asociados con la corteza prefrontal media, una región cerebral compleja que se activa mediante tareas que incluyen valoración, juicio y razonamiento moral. Los sentimientos espirituales también activaron las regiones cerebrales asociadas con la atención focalizada.
"La experiencia religiosa es quizás la parte más influyente cuando las personas toman decisiones que nos afectan a todos, para bien y para mal. Entender lo que sucede en el cerebro para contribuir a esas decisiones es realmente importante ", dice Anderson, añadiendo que aún no sabemos si los creyentes de otras religiones responderían de la misma manera.
Otros trabajos realizados con anterioridad sugieren que el cerebro responde de manera muy diferente a las prácticas meditativas y contemplativas características de algunas religiones orientales, pero hasta el momento se sabe poco sobre la neurociencia de las prácticas espirituales occidentales.
El estudio es la primera iniciativa del Proyecto Cerebro Religioso, lanzado por un grupo de investigadores de la Universidad de Utah en 2014, que tiene como objetivo comprender cómo funciona el cerebro en personas con profundas creencias espirituales y religiosas.
La exploración de fMRI de los sujetos participantes en el estudio muestra regiones del cerebro que se vuelven activas cuando los participantes tienen una experiencia espiritual, incluyendo un centro de recompensa en el cerebro, el núcleo accumbens, un grupo de neuronas del encéfalo a las que se atribuye una función importante en el placer y el sistema de recompensa.
Basados en las exploraciones de fMRI, los investigadores descubrieron que los sentimientos espirituales activan el núcleo accumbens, una región crítica del cerebro para procesar la recompensa. El circuito de recompensa es un grupo de estructuras neuronales del cerebro relacionado con el deseo, el placer y el refuerzo positivo.
La actividad de pico ocurrió aproximadamente 1-3 segundos antes de que los participantes pulsaran el botón y se repitió en cada una de las cuatro tareas. Cuando los participantes experimentaban picos de intensidad en sus sentimientos, sus corazones latían más rápido y su respiración se había más profunda.
Además de los circuitos de recompensa del cerebro, los investigadores descubrieron que los sentimientos espirituales estaban asociados con la corteza prefrontal media, una región cerebral compleja que se activa mediante tareas que incluyen valoración, juicio y razonamiento moral. Los sentimientos espirituales también activaron las regiones cerebrales asociadas con la atención focalizada.
"La experiencia religiosa es quizás la parte más influyente cuando las personas toman decisiones que nos afectan a todos, para bien y para mal. Entender lo que sucede en el cerebro para contribuir a esas decisiones es realmente importante ", dice Anderson, añadiendo que aún no sabemos si los creyentes de otras religiones responderían de la misma manera.
Otros trabajos realizados con anterioridad sugieren que el cerebro responde de manera muy diferente a las prácticas meditativas y contemplativas características de algunas religiones orientales, pero hasta el momento se sabe poco sobre la neurociencia de las prácticas espirituales occidentales.
El estudio es la primera iniciativa del Proyecto Cerebro Religioso, lanzado por un grupo de investigadores de la Universidad de Utah en 2014, que tiene como objetivo comprender cómo funciona el cerebro en personas con profundas creencias espirituales y religiosas.
Referencia
Reward, salience, and attentional networks are activated by religious experience in devout Mormons. Michael A. Ferguson, Jared A. Nielsen, Jace B. King, Li Dai, Danielle M. Giangrasso, Rachel Holman, Julie R. Korenberg, and Jeffrey S. Anderson. Social Neuroscience,29 de noviembre de 2016.
Reward, salience, and attentional networks are activated by religious experience in devout Mormons. Michael A. Ferguson, Jared A. Nielsen, Jace B. King, Li Dai, Danielle M. Giangrasso, Rachel Holman, Julie R. Korenberg, and Jeffrey S. Anderson. Social Neuroscience,29 de noviembre de 2016.

Tendencias Científicas


Los electrones abren un nuevo mundo a la física cuántica
CIENCIA ON LINE