Los peces marinos de aguas profundas que viven en los taludes continentales a profundidades de entre 600 metros y 1,6 kilómetros tienen patologías hepáticas, tumores y otros problemas de salud que pueden estar vinculados a la contaminación causada por los humanos, según ha descubierto uno de los primeros estudios de este tipo.
La investigación, llevada a cabo en el Golfo de Vizcaya al oeste de Francia, también descubrió el primer caso de una especie de peces de aguas profundas con intersexualidad, una mezcla de órganos sexuales masculinos y femeninos. El muestreo se realizó en un área sin contaminación puntual aparente, y parece reflejar las condiciones generales del océano.
Los hallazgos han sido publicados en Marine Environmental Research, por científicos de la Universidad Estatal de Oregón (OSU, EE.UU.); el Centro para la Ciencia del Medio Ambiente, la Pesca y la Acuicultura del Reino Unido; y otras agencias de investigación. Ha sido apoyado por la Unión Europea.
La investigación es de particular interés, dicen los investigadores de la OSU, cuando se contrasta con otros estudios realizados hace varios años en los parques nacionales del oeste americano, que también encontraron efectos significativos en la salud de los peces de la contaminación humana, incluyendo peces machos que habían sido "feminizados" y desarrollado huevos.
"En áreas que van desde los lagos vírgenes de alta montaña de los Estados Unidos a las aguas del océano frente a las costas de Francia y España, hemos encontrado evidencia de posible contaminación de origen humano que es lo suficientemente mala para tener repercusiones patológicas en los peces", dice en la nota de prensa de OSU Michael Kent, profesor de microbiología, y co-autor de ambos proyectos de investigación, así como experto internacional en enfermedades de los peces.
"En lo profundo del océano se podría haber pensado que el nivel de contaminación y su impacto biológico sería menor", dice Kent. "Este puede no ser el caso. Los cambios patológicos que estamos viendo son claramente del tipo asociado con la exposición a toxinas y carcinógenos".
Aún es preliminar
Sin embargo, la vinculación de estos cambios en los peces de aguas profundas con la contaminación es preliminar en este momento, según los investigadores, debido a que estos mismos cambios también pueden ser causados por compuestos naturales. El seguimiento de los análisis químicos proporcionaría vínculos más concluyentes sobre los cambios patológicos y la actividad del hombre, dicen.
La mayoría de los estudios anteriores han examinado sólo la fauna de parásitos de los peces de los taludes, no problemas biológicos más internos, tales como daños en el hígado. El temas es importantes, sin embargo, puesto que hay un interés creciente en estas áreas como recurso pesquero, a medida que otras pesquerías en aguas menos profundas se agotan.
Se ha conocido que las profundidades marinas pueden actuar como sumidero de contaminantes de metales pesados como el mercurio, el cadmio y el plomo, y contaminantes orgánicos como los pesticidas. Algunos de los peces "intersexuales" que se han descubierto en otros lugares también se cree que tienen órganos sexuales mutados causados por "perturbadores endocrinos" que pueden imitar los estrógenos.
La investigación, llevada a cabo en el Golfo de Vizcaya al oeste de Francia, también descubrió el primer caso de una especie de peces de aguas profundas con intersexualidad, una mezcla de órganos sexuales masculinos y femeninos. El muestreo se realizó en un área sin contaminación puntual aparente, y parece reflejar las condiciones generales del océano.
Los hallazgos han sido publicados en Marine Environmental Research, por científicos de la Universidad Estatal de Oregón (OSU, EE.UU.); el Centro para la Ciencia del Medio Ambiente, la Pesca y la Acuicultura del Reino Unido; y otras agencias de investigación. Ha sido apoyado por la Unión Europea.
La investigación es de particular interés, dicen los investigadores de la OSU, cuando se contrasta con otros estudios realizados hace varios años en los parques nacionales del oeste americano, que también encontraron efectos significativos en la salud de los peces de la contaminación humana, incluyendo peces machos que habían sido "feminizados" y desarrollado huevos.
"En áreas que van desde los lagos vírgenes de alta montaña de los Estados Unidos a las aguas del océano frente a las costas de Francia y España, hemos encontrado evidencia de posible contaminación de origen humano que es lo suficientemente mala para tener repercusiones patológicas en los peces", dice en la nota de prensa de OSU Michael Kent, profesor de microbiología, y co-autor de ambos proyectos de investigación, así como experto internacional en enfermedades de los peces.
"En lo profundo del océano se podría haber pensado que el nivel de contaminación y su impacto biológico sería menor", dice Kent. "Este puede no ser el caso. Los cambios patológicos que estamos viendo son claramente del tipo asociado con la exposición a toxinas y carcinógenos".
Aún es preliminar
Sin embargo, la vinculación de estos cambios en los peces de aguas profundas con la contaminación es preliminar en este momento, según los investigadores, debido a que estos mismos cambios también pueden ser causados por compuestos naturales. El seguimiento de los análisis químicos proporcionaría vínculos más concluyentes sobre los cambios patológicos y la actividad del hombre, dicen.
La mayoría de los estudios anteriores han examinado sólo la fauna de parásitos de los peces de los taludes, no problemas biológicos más internos, tales como daños en el hígado. El temas es importantes, sin embargo, puesto que hay un interés creciente en estas áreas como recurso pesquero, a medida que otras pesquerías en aguas menos profundas se agotan.
Se ha conocido que las profundidades marinas pueden actuar como sumidero de contaminantes de metales pesados como el mercurio, el cadmio y el plomo, y contaminantes orgánicos como los pesticidas. Algunos de los peces "intersexuales" que se han descubierto en otros lugares también se cree que tienen órganos sexuales mutados causados por "perturbadores endocrinos" que pueden imitar los estrógenos.
Especies
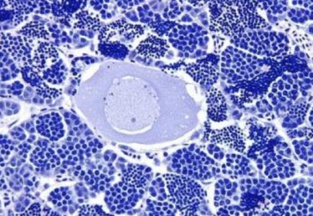
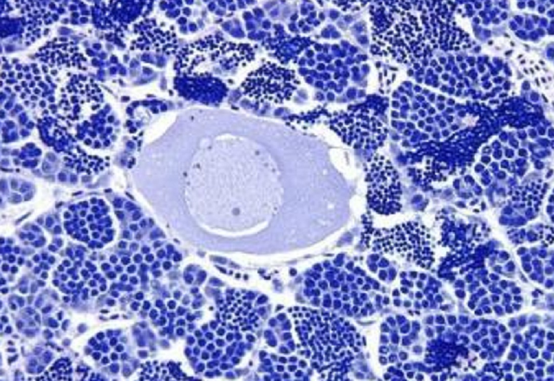
En este estudio, los problemas de salud identificados se encontraron en especies poco conocidas, e incluyen una amplia gama de lesiones degenerativas e inflamatorias que indican una respuesta del huésped a los patógenos. Los peces que viven en estas aguas profundas por lo general crecen lentamente, y maduran a una edad relativamente grande. Algunos pueden vivir hasta los 100 años de edad.
En parte debido a su longevidad, los peces tienen la capacidad de bioacumular sustancias tóxicas, lo que "puede ser un problema importante de salud humana si las especies están destinadas al consumo humano", dicen los investigadores. Los contaminantes orgánicos en estas especies pueden ser 10-17 veces mayores que las que se encuentran en el pescado de la plataforma continental, señala el estudio.
Sin embargo, la mayoría de esos contaminantes migran al hígado y gónadas de estos peces, lo que haría que su tejido muscular fura comparativamente menos tóxico, y "por lo general no lo suficiente como para preocuparse por la salud humana", escriben los investigadores.
En la investigación previa realizada en el oeste de Estados Unidos, los científicos encontraron contaminación tóxica de los pesticidas, la quema de combustibles fósiles, la agricultura, instalaciones industriales y otras fuentes, que se transmite principalmente a los lagos de alta montaña a través de la contaminación del aire. La contaminación por plaguicidas, en particular, se ha generalizado.
Juntos, los dos estudios sugieren que el pescado de algunas de las partes más remotas del planeta, desde las altas montañas a lo profundo del océano, puede estar afectado por los tóxicos, dice Kent.
En este estudio, los problemas de salud identificados se encontraron en especies poco conocidas, e incluyen una amplia gama de lesiones degenerativas e inflamatorias que indican una respuesta del huésped a los patógenos. Los peces que viven en estas aguas profundas por lo general crecen lentamente, y maduran a una edad relativamente grande. Algunos pueden vivir hasta los 100 años de edad.
En parte debido a su longevidad, los peces tienen la capacidad de bioacumular sustancias tóxicas, lo que "puede ser un problema importante de salud humana si las especies están destinadas al consumo humano", dicen los investigadores. Los contaminantes orgánicos en estas especies pueden ser 10-17 veces mayores que las que se encuentran en el pescado de la plataforma continental, señala el estudio.
Sin embargo, la mayoría de esos contaminantes migran al hígado y gónadas de estos peces, lo que haría que su tejido muscular fura comparativamente menos tóxico, y "por lo general no lo suficiente como para preocuparse por la salud humana", escriben los investigadores.
En la investigación previa realizada en el oeste de Estados Unidos, los científicos encontraron contaminación tóxica de los pesticidas, la quema de combustibles fósiles, la agricultura, instalaciones industriales y otras fuentes, que se transmite principalmente a los lagos de alta montaña a través de la contaminación del aire. La contaminación por plaguicidas, en particular, se ha generalizado.
Juntos, los dos estudios sugieren que el pescado de algunas de las partes más remotas del planeta, desde las altas montañas a lo profundo del océano, puede estar afectado por los tóxicos, dice Kent.
Referencia bibliográfica:
S.W. Feist , G.D. Stentiford, M.L. Kent, A. Ribeiro Santos, P. Lorance: Histopathological assessment of liver and gonad pathology in continental slope fish from the northeast Atlantic Ocean. Marine Environmental Research (2015).
S.W. Feist , G.D. Stentiford, M.L. Kent, A. Ribeiro Santos, P. Lorance: Histopathological assessment of liver and gonad pathology in continental slope fish from the northeast Atlantic Ocean. Marine Environmental Research (2015).

Tendencias Científicas


Los electrones abren un nuevo mundo a la física cuántica
CIENCIA ON LINE